Pancreatic pseudocyst

Pancreatic pseudocyst
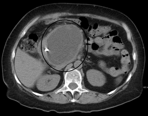
A pancreatic pseudocyst as seen on CT
Classification and external resources
Specialty gastroenterology
ICD-10 K86.3
ICD-9-CM 577.2
DiseasesDB 9530
MedlinePlus 000272
eMedicine med/2674 radio/576
MeSH D010192

A pancreatic pseudocyst is a circumscribed collection of fluid rich in pancreatic enzymes, blood, and necrotic tissue, typically located in the lesser sac of the abdomen. Pancreatic pseudocysts are usually complications of pancreatitis,[1] although in children they frequently occur following abdominal trauma. Pancreatic pseudocysts account for approximately 75% of all pancreatic masses.[2]

Signs

Signs and symptoms of pancreatic pseudocyst include abdominal discomfort, indigestion and abdominal discomfort.[3]

Causes

Pancreatic pseudocyst can occur due to a variety of reasons, among them pancreatitis (chronic), pancreatic neoplasm and/or pancreatic trauma.[4]

Pathophysiology

Pancreatic pseudocysts are sometimes called false cysts because they do not have an epithelial lining.The wall of the pseudocyst is vascular and fibrotic, encapsulated in the area around the pancreas.Pancreatitis or abdominal trauma can cause its formation.[5] Treatment usually depends on the mechanism that brought about the pseudocyst. Pseudocysts take up to 6 weeks to completely form.[6]

Diagnosis

CTscan

Diagnosis of Pancreatic pseudocyst can be based on cyst fluid analysis:[7]

The most useful imaging tools are:

Treatment

Pancreatic pseudocyst treatment should be aimed at avoiding any complication (1 in 10 cases become infected). They also tend to rupture, and have shown that larger cysts have a higher likelihood to become more symptomatic, even needing surgery.[11]

In the event of surgery:

Complications

Complication of pancreatic pseudocyst include infection, hemorrhage, obstruction and rupture. For obstruction, it can cause compression in the GI tract from the stomach to colon, compression in urinary system, biliary system, and arteriovenous system.

References

  1. Habashi S, Draganov PV (January 2009). "Pancreatic pseudocyst". World J. Gastroenterol. 15 (1): 38–47. doi:10.3748/wjg.15.38. PMC 2653285Freely accessible. PMID 19115466.
  2. Beger, Hans G.; Buchler, Markus; Kozarek, Richard; Lerch, Markus; Neoptolemos, John P.; Warshaw, Andrew; Whitcomb, David; Shiratori, Keiko (2009-01-26). The Pancreas: An Integrated Textbook of Basic Science, Medicine, and Surgery. John Wiley & Sons. ISBN 9781444300130.
  3. "Pancreatic pseudocyst: MedlinePlus Medical Encyclopedia". www.nlm.nih.gov. Retrieved 2015-08-10.
  4. Atluri, Pavan (2005-01-01). The Surgical Review: An Integrated Basic and Clinical Science Study Guide. Lippincott Williams & Wilkins. ISBN 9780781756419.
  5. Ignatavicius, Donna (2016). Medical surgical nursing. Elsevier. p. 1226. ISBN 978-1-4557-7255-1.
  6. LIllenoe, Keith (2013). Master techniques in Surgery. Lippincott Williams and Wilkins. p. 147. ISBN 978-1-60831-172-9.
  7. "Pancreatic Pseudocysts: Practice Essentials, Background, Pathophysiology".
  8. Aghdassi AA, Mayerle J, Kraft M, Sielenkämper AW, Heidecke CD, Lerch MM (2006). "Pancreatic pseudocysts - when and how to treat?". HPB (Oxford). 8 (6): 432–41. doi:10.1080/13651820600748012. PMC 2020756Freely accessible. PMID 18333098.
  9. Aghdassi A, Mayerle J, Kraft M, Sielenkämper AW, Heidecke CD, Lerch MM (March 2008). "Diagnosis and treatment of pancreatic pseudocysts in chronic pancreatitis". Pancreas. 36 (2): 105–12. doi:10.1097/MPA.0b013e31815a8887. PMID 18376299.
  10. "Pancreatic Pseudocyst: Therapeutic Dilemma". www.hindawi.com. Retrieved 2015-08-10.
  11. "Pancreatic pseudocyst Treatment". Medscape.com. eMedicine. Retrieved August 11, 2015.
  12. "cystogastrostomy | creation of a surgical opening between the stomach and a nearby cyst for drainage". www.merriam-webster.com. Retrieved 2015-08-10.
  13. Hughes, Steven (2015-03-26). Operative Techniques in Hepato-Pancreato-Biliary Surgery. Lippincott Williams & Wilkins. ISBN 9781496319067.
  14. Skandalakis, Lee J.; Skandalakis, John E. (2013-11-08). Surgical Anatomy and Technique: A Pocket Manual. Springer Science & Business Media. ISBN 9781461485636.
  15. Scott-Conner, Carol (2009). Scott-Conner & Dawson: Essential Operative Techniques and Anatomy. Lippincott Williams and Wilkins. p. 455. ISBN 978-1-4511-5172-5.

Further reading

This article is issued from Wikipedia - version of the 11/5/2016. The text is available under the Creative Commons Attribution/Share Alike but additional terms may apply for the media files.