Eosinophilic esophagitis
| Eosinophilic esophagitis | |
|---|---|
|
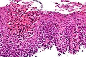
Micrograph showing eosinophilic esophagitis. H&E stain. | |
| Classification and external resources | |
| Specialty | Gastroenterology |
| ICD-10 | K20 |
| ICD-9-CM | 530.13 |
| eMedicine | article/1610470 |
| MeSH | D057765 |
Eosinophilic esophagitis (eosinophilic oesophagitis), also known as allergic oesophagitis, is an allergic inflammatory condition of the esophagus that involves eosinophils, a type of white blood cell. Symptoms are swallowing difficulty, food impaction, and heartburn.[1]
Eosinophilic esophagitis (EoE) was first described in children but also occurs in adults. The condition is not well understood, but food allergy may play a significant role.[2] The treatment may consist of removal of known or suspected triggers and medication to suppress the immune response. In severe cases, it may be necessary to stretch the esophagus with an endoscopy procedure.
Signs and symptoms
EoE often presents with difficulty swallowing, food impaction, regurgitation or vomiting, and decreased appetite. In addition, young children with EoE may present with feeding difficulties and poor weight gain. It is more common in males, and affects both adults and children.[1]
Many people with EoE have other autoimmune and allergic disease. This includes asthma[1] and celiac disease.[3]
Pathophysiology
EoE is a relatively poorly understood disease of which awareness is rising.[1][4]
At a tissue level, EoE is characterized by a dense infiltrate with white blood cells of the eosinophil type into the epithelial lining of the esophagus. This is thought to be an allergic reaction against ingested food, based on the important role eosinophils play in allergic reactions. Eosinophils are inflammatory cells that release a variety of chemical signals which inflame the surrounding esophageal tissue. This results in the signs and symptoms of pain, visible redness on endoscopy, and a natural history that may include stricturing.[1]
Diagnosis


The diagnosis of EoE is typically made on the combination of symptoms and findings on diagnostic testing.[1]
Prior to the development of the EE Diagnostic Panel, EoE could only be diagnosed if gastroesophageal reflux did not respond to a six-week trial of twice-a-day high-dose proton-pump inhibitors (PPIs) or if a negative ambulatory pH study ruled out gastroesophageal reflux disease (GERD).[4][5]
Endoscopically, ridges, furrows, or rings may be seen in the esophageal wall. Sometimes, multiple rings may occur in the esophagus, leading to the term "corrugated esophagus" or "feline esophagus" due to similarity of the rings to the cat esophagus. Presence of white exudates in esophagus is also suggestive of the diagnosis.[6] On biopsy taken at the time of endoscopy, numerous eosinophils can be seen in the superficial epithelium. A minimum of 15 eosinophils per high-power field are required to make the diagnosis. Eosinophilic inflammation is not limited to the esophagus alone, and does extend through the whole gastrointestinal tract. Profoundly degranulated eosinophils may also be present, as may microabcesses and an expansion of the basal layer.[1][4]
Radiologically, the term "ringed esophagus" has been used for the appearance of eosinophilic esophagitis on barium swallow studies to contrast with the appearance of transient transverse folds sometimes seen with esophageal reflux (termed "feline esophagus").[7]
Treatment
Treatment strategies include dietary modification to exclude food allergens, medical therapy, and mechanical dilatation of the esophagus.
The current recommendation for first line treatment is PPI in lieu of diet as a significant portion of EOE cases respond to this, and it is a low risk, low cost treatment.[8]
The second and third line therapies are an elimination diet of either the 6 or 4 most common triggers, or topical corticosteroids, including both fluticasone, and topical viscous budesonide.
Elimination diets would be followed by re-introduction of foods under supervision if the first diet is successful. Allergy evaluation has been found to not be an effective means to determine what foods to eliminate.
See also
References
- 1 2 3 4 5 6 7 Nurko, Samuel; Furuta, G T (2006). "Eosinophilic esophagitis". GI Motility online. doi:10.1038/gimo49.
- ↑ Blanchard C, Rothenberg ME (January 2008). "Basic pathogenesis of eosinophilic esophagitis". Gastrointestinal Endoscopy Clinics of North America. 18 (1): 133–43; x. doi:10.1016/j.giec.2007.09.016. PMC 2194642
. PMID 18061107. - ↑ Stewart MJ, Shaffer E, Urbanski SJ, Beck PL, Storr MA (1 January 2013). "The association between celiac disease and eosinophilic esophagitis in children and adults". BMC Gastroenterology. 13 (1): 96. doi:10.1186/1471-230X-13-96. PMID 23721294.
- 1 2 3 Noel RJ, Putnam PE, Rothenberg ME (August 2004). "Eosinophilic esophagitis". The New England Journal of Medicine. 351 (9): 940–1. doi:10.1056/NEJM200408263510924. PMID 15329438.
- ↑ Furuta GT, Liacouras CA, Collins MH, Gupta SK, Justinich C, Putnam PE, Bonis P, Hassall E, Straumann A, Rothenberg ME, First International Gastrointestinal Eosinophil Research Symposium Subcommittees (October 2007). "Eosinophilic esophagitis in children and adults: a systematic review and consensus recommendations for diagnosis and treatment". Gastroenterology. 133 (4): 1342–63. doi:10.1053/j.gastro.2007.08.017. PMID 17919504.
- ↑ Samadi F, Levine MS, Rubesin SE, Katzka DA, Laufer I (April 2010). "Feline esophagus and gastroesophageal reflux". AJR. American Journal of Roentgenology. 194 (4): 972–6. doi:10.2214/AJR.09.3352. PMID 20308499.
- ↑ Zimmerman SL, Levine MS, Rubesin SE, Mitre MC, Furth EE, Laufer I, Katzka DA (July 2005). "Idiopathic eosinophilic esophagitis in adults: the ringed esophagus". Radiology. 236 (1): 159–65. doi:10.1148/radiol.2361041100. PMID 15983073.
- ↑ González-Cervera J, Lucendo AJ (2016-01-01). "Eosinophilic Esophagitis: An Evidence-Based Approach to Therapy". Journal of Investigational Allergology & Clinical Immunology. 26 (1): 8–18; quiz 2p following 18. doi:10.18176/jiaci.0002. PMID 27012011.
External links
- CURED Foundation - Non-Profit for EGID Research
- American Partnership for Eosinophilic Disorders
- Families Affected By Eosinophilic Disorders
- Canadian Council of Eosinophilic Disorders
- Cincinnati Center for Eosinophilic Disorders
- Australian Support for Eosinophilic Disorders
- AEDESEO Asociación Espanola de Esofagitis Eosinofílica
- A Six Food Family Avoidance Diet for Eosinophilic Esophagitis
