Liver abscess
| Liver abscess | |
|---|---|
![]() | |
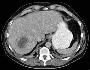
| Liver abscess on axial CT image: a hypodense lesion in the liver with peripherally enhancement. | |
| Classification and external resources | |
| Specialty | gastroenterology |
| ICD-10 | K75.0 |
| ICD-9-CM | 572.0 |
| DiseasesDB | 22094 |
| MedlinePlus | 000261 |
| eMedicine | med/1316 |
| MeSH | D008100 |
A liver abscess is a pus-filled mass inside the liver.[1] Common causes are abdominal infections such as appendicitis or diverticulitis due to haematogenous spread through the portal vein.[2]
Types

A large pyogenic liver abscess presumed to be the result of appendicitis
There are three major forms of liver abscess, classified by etiology:
- Pyogenic liver abscess, which is most often polymicrobial, accounts for 80% of hepatic abscess cases in the United States.
- Amoebic liver abscess due to Entamoeba histolytica accounts for 10% of cases.
- Fungal abscess, most often due to Candida species, accounts for less than 10% of cases.
Causes
Major bacterial causes of liver abscess include the following:[3]
- Streptococcus species (including Enterococcus)
- Escherichia species
- Staphylococcus species
- Klebsiella species (Higher rates in the Far East)
- Anaerobes (including Bacteroides species)
- Pseudomonas species
- Proteus species
However, as noted above, many cases are polymicrobial.
References
External links
- Liver Abscess CT Images CTCases Liver Abscess CT Scan.
This article is issued from Wikipedia - version of the 9/28/2016. The text is available under the Creative Commons Attribution/Share Alike but additional terms may apply for the media files.
