Fatty liver

Not to be confused with foie gras.
Fatty liver
Synonyms fatty liver disease (FLD), hepatic steatosis
Micrograph showing a fatty liver (macrovesicular steatosis), as seen in non-alcoholic fatty liver disease. Trichrome stain.
Classification and external resources
Specialty Gastroenterology
ICD-10 K70, K76.0
ICD-9-CM 571.0, 571.8
DiseasesDB 18844
eMedicine med/775 article/170409
MeSH C06.552.241

Fatty liver is a reversible condition wherein large vacuoles of triglyceride fat accumulate in liver cells via the process of steatosis (i.e., abnormal retention of lipids within a cell). Despite having multiple causes, fatty liver can be considered a single disease that occurs worldwide in those with excessive alcohol intake and the obese (with or without effects of insulin resistance). The condition is also associated with other diseases that influence fat metabolism.[1] When this process of fat metabolism is disrupted, the fat can accumulate in the liver in excessive amounts, thus resulting in a fatty liver.[2] It is difficult to distinguish alcoholic FLD from nonalcoholic FLD, and both show microvesicular and macrovesicular fatty changes at different stages.

Accumulation of fat may also be accompanied by a progressive inflammation of the liver (hepatitis), called steatohepatitis. By considering the contribution by alcohol, fatty liver may be termed alcoholic steatosis or nonalcoholic fatty liver disease (NAFLD), and the more severe forms as alcoholic steatohepatitis (part of alcoholic liver disease) and non-alcoholic steatohepatitis (NASH).

Causes

Different stages of liver damage

Fatty liver (FL) is commonly associated with alcohol or metabolic syndrome (diabetes, hypertension, obesity, and dyslipidemia), but can also be due to any one of many causes:[3][4]

Metabolic
abetalipoproteinemia, glycogen storage diseases, Weber-Christian disease, acute fatty liver of pregnancy, lipodystrophy
Nutritional
malnutrition, total parenteral nutrition, severe weight loss, refeeding syndrome, jejunoileal bypass, gastric bypass, jejunal diverticulosis with bacterial overgrowth
Drugs and toxins
amiodarone, methotrexate, diltiazem, expired tetracycline, highly active antiretroviral therapy, glucocorticoids, tamoxifen, environmental hepatotoxins (e.g., phosphorus, mushroom poisoning)
Alcoholic
Alcoholism is one of the major cause of fatty liver due to production of toxic metabolites like aldehydes during metabolism of alcohol in the liver. This phenomenon most commonly occurs with chronic alcoholism.
Other
inflammatory bowel disease, HIV, hepatitis C (especially genotype 3), and alpha 1-antitrypsin deficiency[5]

Pathology

Micrograph of periportal hepatic steatosis, as may be seen due to steroid use, trichrome stain

Fatty change represents the intracytoplasmatic accumulation of triglycerides (neutral fats). At the beginning, the hepatocytes present small fat vacuoles (liposomes) around the nucleus (microvesicular fatty change). In this stage, liver cells are filled with multiple fat droplets that do not displace the centrally located nucleus. In the late stages, the size of the vacuoles increases, pushing the nucleus to the periphery of the cell, giving characteristic signet ring appearance (macrovesicular fatty change). These vesicles are well-delineated and optically "empty" because fats dissolve during tissue processing. Large vacuoles may coalesce and produce fatty cysts, which are irreversible lesions. Macrovesicular steatosis is the most common form and is typically associated with alcohol, diabetes, obesity, and corticosteroids. Acute fatty liver of pregnancy and Reye's syndrome are examples of severe liver disease caused by microvesicular fatty change.[6] The diagnosis of steatosis is made when fat in the liver exceeds 5–10% by weight.[1][7][8]

Mechanism leading to hepatic steatosis

Defects in fatty acid metabolism are responsible for pathogenesis of FLD, which may be due to imbalance in energy consumption and its combustion, resulting in lipid storage, or can be a consequence of peripheral resistance to insulin, whereby the transport of fatty acids from adipose tissue to the liver is increased.[1][9] Impairment or inhibition of receptor molecules (PPAR-α, PPAR-γ and SREBP1) that control the enzymes responsible for the oxidation and synthesis of fatty acids appears to contribute to fat accumulation. In addition, alcoholism is known to damage mitochondria and other cellular structures, further impairing cellular energy mechanism. On the other hand, non-alcoholic FLD may begin as excess of unmetabolised energy in liver cells. Hepatic steatosis is considered reversible and to some extent nonprogressive if the underlying cause is reduced or removed.

Micrograph of inflamed fatty liver (steatohepatitis)

Severe fatty liver is sometimes accompanied by inflammation, a situation referred to as steatohepatitis. Progression to alcoholic steatohepatitis (ASH) or non-alcoholic steatohepatitis (NASH) depends on the persistence or severity of the inciting cause. Pathological lesions in both conditions are similar. However, the extent of inflammatory response varies widely and does not always correlate with degree of fat accumulation. Steatosis (retention of lipid) and onset of steatohepatitis may represent successive stages in FLD progression.[10]

Liver disease with extensive inflammation and a high degree of steatosis often progresses to more severe forms of the disease.[11] Hepatocyte ballooning and necrosis of varying degrees are often present at this stage. Liver cell death and inflammatory responses lead to the activation of hepatic stellate cells, which play a pivotal role in hepatic fibrosis. The extent of fibrosis varies widely. Perisinusoidal fibrosis is most common, especially in adults, and predominates in zone 3 around the terminal hepatic veins.[12]

The progression to cirrhosis may be influenced by the amount of fat and degree of steatohepatitis and by a variety of other sensitizing factors. In alcoholic FLD, the transition to cirrhosis related to continued alcohol consumption is well-documented, but the process involved in non-alcoholic FLD is less clear.

Diagnosis

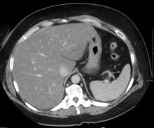
Liver steatosis (fatty liver disease) as seen on CT
Ultrasound showing diffuse increased echogenicity of the liver.
Flow chart for diagnosis, modified from[4]
 
 
 
Elevated liver enzyme
 
 
 
 
 
 
 
 
 
 
 
 
 
 
 
 
Serology to exclude viral hepatitis
 
 
 
 
 
 
 
 
 
 
 
 
 
 
 
 
Imaging study showing
fatty infiltrate
 
 
 
 
 
 
 
 
 
 
 
 
 
 
 
 
Alcohol intake
 
 
 
 
 
 
 
 
 
 
 
 
 
 
 
 
 
 
 
 
 
 
Less than two drinks per day‡
 
More than two drinks per day‡
 
 
 
 
 
 
 
 
 
 
 
 
 
 
Nonalcoholic fatty liver disease likely
 
Alcoholic liver disease likely
 
 
Criteria for nonalcoholic fatty liver disease:
consumption of ethanol less than 20 g/day for women and 30 g/day for men[13]

Most individuals are asymptomatic and are usually discovered incidentally because of abnormal liver function tests or hepatomegaly noted in unrelated medical conditions. Elevated liver biochemistry is found in 50% of patients with simple steatosis.[14] The serum alanine transaminase level usually is greater than the aspartate transaminase level in the nonalcoholic variant and the opposite in alcoholic FLD (AST:ALT more than 2:1).

Imaging studies are often obtained during the evaluation process. Ultrasonography reveals a "bright" liver with increased echogenicity. Medical imaging can aid in diagnosis of fatty liver; fatty livers have lower density than spleens on computed tomography (CT), and fat appears bright in T1-weighted magnetic resonance images (MRIs). No medical imagery, however, is able to distinguish simple steatosis from advanced NASH. Histological diagnosis by liver biopsy is sought when assessment of severity is indicated.

Treatment

The treatment of fatty liver depends on its cause, and, in general, treating the underlying cause will reverse the process of steatosis if implemented at an early stage. Two known causes of fatty liver disease are an excess consumption of alcohol and a prolonged diet containing foods with a high proportion of calories coming from lipids.[15] For the patients with non-alcoholic fatty liver disease with pure steatosis and no evidence of inflammation, a gradual weight loss is often the only recommendation.[3] In more serious cases, medications that decrease insulin resistance, hyperlipidemia, and those that induce weight loss have been shown to improve liver function.[4]

For advanced patients with non-alcoholic steatohepatitis (NASH), there are no currently available therapies.

Up to 10% of people with cirrhotic alcoholic FLD will develop hepatocellular carcinoma. The overall incidence of liver cancer in nonalcoholic FLD has not yet been quantified, but the association is well-established.[16]

Epidemiology

The prevalence of FLD in the general population ranges from 10% to 24% in various countries.[3] However, the condition is observed in up to 75% of obese people, 35% of whom progress to NAFLD,[17] despite no evidence of excessive alcohol consumption. FLD is the most common cause of abnormal liver function tests in the United States.[3] "Fatty livers occur in 33% of European-Americans, 45% of Hispanic-Americans, and 24% of African-Americans."[18]

See also

References

  1. 1 2 3 Reddy JK, Rao MS (2006). "Lipid metabolism and liver inflammation. II. Fatty liver disease and fatty acid oxidation". Am. J. Physiol. Gastrointest. Liver Physiol. 290 (5): G852–8. doi:10.1152/ajpgi.00521.2005. PMID 16603729.
  2. Cutler, Nicole. "Symptoms of Fatty Liver". Retrieved 18 November 2014.
  3. 1 2 3 4 Angulo P (2002). "Nonalcoholic fatty liver disease". N. Engl. J. Med. 346 (16): 1221–31. doi:10.1056/NEJMra011775. PMID 11961152.
  4. 1 2 3 Bayard M, Holt J, Boroughs E (2006). "Nonalcoholic fatty liver disease". American Family Physician. 73 (11): 1961–8. PMID 16770927.
  5. Valenti L, Dongiovanni P, Piperno A, et al. (October 2006). "Alpha 1-antitrypsin mutations in NAFLD: high prevalence and association with altered iron metabolism but not with liver damage". Hepatology. 44 (4): 857–64. doi:10.1002/hep.21329. PMID 17006922.
  6. Goldman, Lee (2003). Cecil Textbook of Medicine – 2-Volume Set, Text with Continually Updated Online Reference. Philadelphia: W.B. Saunders Company. ISBN 0-7216-4563-1.
  7. Adams LA, Lymp JF, St Sauver J, Sanderson SO, Lindor KD, Feldstein A, Angulo P (2005). "The natural history of nonalcoholic fatty liver disease: a population-based cohort study". Gastroenterology. 129 (1): 113–21. doi:10.1053/j.gastro.2005.04.014. PMID 16012941.
  8. Crabb DW, Galli A, Fischer M, You M (2004). "Molecular mechanisms of alcoholic fatty liver: role of peroxisome proliferator-activated receptor alpha". Alcohol. 34 (1): 35–8. doi:10.1016/j.alcohol.2004.07.005. PMID 15670663.
  9. Medina J, Fernández-Salazar LI, García-Buey L, Moreno-Otero R (2004). "Approach to the pathogenesis and treatment of non-alcoholic steatohepatitis". Diabetes Care. 27 (8): 2057–66. doi:10.2337/diacare.27.8.2057. PMID 15277442.
  10. Day CP, James OF (1998). "Steatohepatitis: a tale of two "hits"?". Gastroenterology. 114 (4): 842–5. doi:10.1016/S0016-5085(98)70599-2. PMID 9547102.
  11. Gramlich T, Kleiner DE, McCullough AJ, Matteoni CA, Boparai N, Younossi ZM (2004). "Pathologic features associated with fibrosis in nonalcoholic fatty liver disease". Hum. Pathol. 35 (2): 196–9. doi:10.1016/j.humpath.2003.09.018. PMID 14991537.
  12. Zafrani ES (2004). "Non-alcoholic fatty liver disease: an emerging pathological spectrum". Virchows Arch. 444 (1): 3–12. doi:10.1007/s00428-003-0943-7. PMID 14685853.
  13. Adams LA, Angulo P, Lindor KD (2005). "Nonalcoholic fatty liver disease". Canadian Medical Association Journal. 172 (7): 899–905. doi:10.1503/cmaj.045232. PMC 554876Freely accessible. PMID 15795412.
  14. Sleisenger, Marvin (2006). Sleisenger and Fordtran's Gastrointestinal and Liver Disease. Philadelphia: W.B. Saunders Company. ISBN 1-4160-0245-6.
  15. Carreño, Vicente (2015). "Fatty Liver". Foundation for the Estudy of Viral Hepatitis. Retrieved 15 April 2015.
  16. Qian Y, Fan JG (2005). "Obesity, fatty liver and liver cancer". Hbpd Int. 4 (2): 173–7. PMID 15908310.
  17. Hamaguchi M, Kojima T, Takeda N, Nakagawa T, Taniguchi H, Fujii K, Omatsu T, Nakajima T, Sarui H, Shimazaki M, Kato T, Okuda J, Ida K (2005). "The metabolic syndrome as a predictor of nonalcoholic fatty liver disease". Ann. Intern. Med. 143 (10): 722–8. doi:10.7326/0003-4819-143-10-200511150-00009. PMID 16287793.
  18. Daniel J. DeNoon (September 26, 2008). "Fatty Liver Disease: Genes Affect Risk". WebMD. Retrieved April 6, 2013.
This article is issued from Wikipedia - version of the 11/10/2016. The text is available under the Creative Commons Attribution/Share Alike but additional terms may apply for the media files.