Sebaceous carcinoma
| Sebaceous carcinoma | |
|---|---|
![]() | |
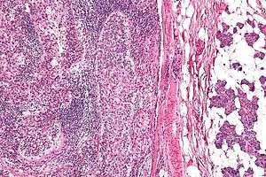
| Micrograph of a sebaceous carcinoma (left of image) metastatic to the parotid gland (right of image). H&E stain. | |
| Classification and external resources | |
| Specialty | oncology, dermatology |
| ICD-10 | C44 (ILDS C44.L46) |
| eMedicine | article/1101433 |
Sebaceous carcinoma is an uncommon and aggressive malignant cutaneous tumor.[1] Most are typically about 10 mm in size at presentation.[2] This neoplasm is thought to arise from sebaceous glands in the skin and, therefore, may originate anywhere in the body where these glands are found. Because the periocular region is rich in this type of gland, this region is a common site of origin.[3][4] The etiology of these lesions are, in the vast majority of cases, unknown. Occasional cases may be associated with Muir-Torre syndrome.[5][6]
This type of cancer usually has a poor prognosis because of a high rate of metastasis.[2]
Pathophysiology
The cell of origin is usually unknown. Sebaceous gland carcinoma clearly resembles normal sebaceous glands and is thought to arise from them.[1][2]
Morphology
Well-differentiated and moderately differentiated sebaceous carcinoma tend to exhibit vacuolization within the cytoplasm of the tumor cells.[7] Histology may mimic basal cell carcinoma.
Treatment
This type of carcinoma is commonly managed by local resection, cryotherapy, topical chemotherapy, and radiotherapy. Multimodal therapy has been shown to improve both visual prognosis and survival.[3]
Mohs micrographic surgery has become the treatment of choice for this form of cancer. When used as the primary treatment modality for sebaceous carcinoma of the eyelid, Mohs surgery is associated with significantly lower local and distant recurrence rates.[4][8]
See also
- Sebaceous hyperplasia
- Sebaceous adenoma
- Sebaceoma
- List of cutaneous neoplasms associated with systemic syndromes
References
- 1 2 Nelson BR, Hamlet KR, Gillard M, Railan D, Johnson TM (July 1995). "Sebaceous carcinoma". J. Am. Acad. Dermatol. 33 (1): 1–15; quiz 16–8. doi:10.1016/0190-9622(95)90001-2. PMID 7601925.
- 1 2 3 Rao NA, Hidayat AA, McLean IW, Zimmerman LE (February 1982). "Sebaceous carcinomas of the ocular adnexa: A clinicopathologic study of 104 cases, with five-year follow-up data". Hum. Pathol. 13 (2): 113–22. doi:10.1016/S0046-8177(82)80115-9. PMID 7076199.
- 1 2 Shields JA, Demirci H, Marr BP, Eagle RC, Shields CL (2005). "Sebaceous carcinoma of the ocular region: a review". Surv Ophthalmol. 50 (2): 103–22. doi:10.1016/j.survophthal.2004.12.008. PMID 15749305.
- 1 2 Callahan EF, Appert DL, Roenigk RK, Bartley GB (August 2004). "Sebaceous carcinoma of the eyelid: a review of 14 cases". Dermatol Surg. 30 (8): 1164–8. doi:10.1111/j.1524-4725.2004.30348.x. PMID 15274713.
- ↑ Cohen PR (August 1992). "Sebaceous carcinomas of the ocular adnexa and the Muir-Torre syndrome". J. Am. Acad. Dermatol. 27 (2 Pt 1): 279–80. doi:10.1016/S0190-9622(08)80752-9. PMID 1430382.
- ↑ Rishi K, Font RL (January 2004). "Sebaceous gland tumors of the eyelids and conjunctiva in the Muir-Torre syndrome: a clinicopathologic study of five cases and literature review". Ophthal Plast Reconstr Surg. 20 (1): 31–6. doi:10.1097/01.IOP.0000103009.79852.BD. PMID 14752307.
- ↑ Kumar V, Abbas AK, Fausto N. Robbins and Cotran Pathologic Basis of Disease. Seventh Edition. Philadelphia: Elsevier Saunders, 2005, p. 1425.
- ↑ Spencer JM, Nossa R, Tse DT, Sequeira M (June 2001). "Sebaceous carcinoma of the eyelid treated with Mohs micrographic surgery". J. Am. Acad. Dermatol. 44 (6): 1004–9. doi:10.1067/mjd.2001.113692. PMID 11369914.
