Dermal cylindroma
| Dermal cylindroma | |
|---|---|
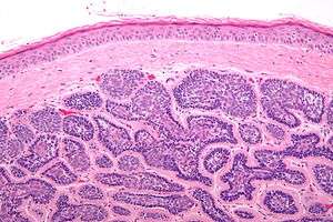
![]() | |
| Micrograph of a dermal cylindroma. H&E stain. | |
| Classification and external resources | |
| ICD-O | M8200/3 |
| eMedicine | derm/94 |
| MeSH | D003528 |
In dermatologic pathology, a dermal cylindroma, also dermal eccrine cylindroma[1]:666) and (less specifically) cylindroma, is a benign adnexal tumor,[2] which occurs on the scalp and forehead.
Multiple cylindromas may grow together in a "hat-like" configuration, sometimes referred to as a turban tumor.[3] Cylindromas are uncommon dysplasias of skin appendages.[4]
Histology
Dermal cylindromas are:
- dermal lesions consisting of nests of cells that are surrounded by hyaline (i.e. glassy, eosinophilic, acellular) material and have:
- hyperchromatic nuclei that may palisade (columnar nuclei arranged around the periphery of the cells nests - with their short axis tangential to the nest periphery), and
- cells with lighter staining ovoid nuclei at their centre.
They lack of a significant number of lymphocytes; this differentiates them from spiradenomas.
Additional images
Micrograph of dermal cylindroma in H&E stain.- Dermal cylindroma. Puzzle-like distribution of tumour foci.
- Dermal cylindroma. Hyaline droplets visible in lobules.
- Dermal cylindroma, micronodular type.
See also
References
- ↑ James, William D.; Berger, Timothy G.; et al. (2006). Andrews' Diseases of the Skin: clinical Dermatology. Saunders Elsevier. ISBN 0-7216-2921-0.
- ↑ "Cylindroma" at Dorland's Medical Dictionary
- ↑ "Cylindroma: Background, Pathophysiology, Epidemiology".
- ↑ Cylindroma at eMedicine
This article is issued from Wikipedia - version of the 7/17/2016. The text is available under the Creative Commons Attribution/Share Alike but additional terms may apply for the media files.
