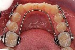
Lingual arch

A lingual arch is an orthodontic device which connects two molars in the upper or lower dental arch. The lower lingual arch (LLA) has an archwire adapted to the lingual side of the lower teeth. In the upper arch the archwire is usually connecting the two molars passing through the palatal vault, and is commonly referred as "Transpalatal Arch" (TPA). TPA was originally described by Robert Goshgarian in 1972. TPA could possibly be used for maintaining transverse arch widths, anchorage in extraction case, prevent buccal tipping of molars during Burstonian segmented arch mechanics, transverse anchorage and space maintenance.
LLA and TPA are fabricated by placing bands on the molars. These are connected to the archwire. The wire can be soldered to the bands or inserted into lingual sheaths welded to the molar band (removable LLA and TPA).
Passive Use
LLA is frequently used as a space maintainer for the lower teeth. In such a case a LLA maintains the molar position. LLA and TPA can also be used to stabilize molar position in the attempt to avoid side effects that can take place during orthodontic therapy. As a space maintainer LLA is frequentely used in cases where an early loss of the second deciduous molar takes place. In such a case LLA prevents the permanent molars from migrating mesially (forward) thus blocking off the eruption space for the premolar teeth. LLA is also used in order to maintain the so-called "Leeway space", which is the extra space available in the arch when the deciduous molars are exfoliated and replaced by smaller permanent premolars.[1]
TPA may also be used as an adjunct in keeping Anchorage (Orthodontics) in an extraction treatment in Orthodontics. A paper by Zablocki et al. showed negligible statistically significant difference between patients who received TPA vs patients who don't receive TPA.[2] However, many other papers have showed that TPA cannot provider absolute anchorage to prevent any mesial movement of the posterior molar.s Baccetti et al. in 2011 showed additional used of TPA where this appliance could be used in absence of Rapid Maxillary Expander in cases where patient's have Palatally displaced Canine teeth which don't require expansion.[3] In these cases, the TPA maintain the width of the arch as the palatally displaced canines are brought into occlusion.
TPA is also used to prevent buccal tipping of the molars when a Burstone-type Segmental Arch mechanics are being used.[4] In a case of open bite, TPA can be used to maintain the molar position when TADs are being used to intrude the upper molars to close the open bite.[5]
Active Use
LLA and TPA, if removable, can also be activated in order to obtain molar movements in all planes of space.[6] LLA and TPA are more frequently activated to expand or reduce the intermolar distance and to rotate the molars. In this way it is possible to reshape the whole dental arch if molars are connected to the other teeth by means of a buccal archwire.

LLA and TPA archwires are usually made out of stainless steel with a 0.032" cross section for a passive use. A beta-titanium wire is more effective if LLA or TPA must be activated to displace molars (Active Use).
References
- ↑ The use of the lingual arch in the mixed dentition to resolve incisor crowding. PMID 10629524
- ↑ Zablocki, Heather L.; McNamara, James A.; Franchi, Lorenzo; Baccetti, Tiziano (2008-06-01). "Effect of the transpalatal arch during extraction treatment". American Journal of Orthodontics and Dentofacial Orthopedics: Official Publication of the American Association of Orthodontists, Its Constituent Societies, and the American Board of Orthodontics. 133 (6): 852–860. doi:10.1016/j.ajodo.2006.07.031. ISSN 1097-6752. PMID 18538249.
- ↑ Baccetti, Tiziano; Sigler, Lauren M.; McNamara, James A. (2011-12-01). "An RCT on treatment of palatally displaced canines with RME and/or a transpalatal arch". European Journal of Orthodontics. 33 (6): 601–607. doi:10.1093/ejo/cjq139. ISSN 1460-2210. PMID 21059877.
- ↑ Tsetsilas, Michaela; Konermann, Anna-Christin; Keilig, Ludger; Reimann, Susanne; Jäger, Andreas; Bourauel, Christoph (2015-09-01). "Symmetric and asymmetric expansion of molars using a Burstone-type transpalatal arch. Biomechanical and clinical analysis". Journal of Orofacial Orthopedics = Fortschritte Der Kieferorthopädie: Organ/Official Journal Deutsche Gesellschaft Für Kieferorthopädie. 76 (5): 377–390. doi:10.1007/s00056-015-0298-0. ISSN 1615-6714. PMID 26250453.
- ↑ Cousley, Richard R. J. (2014-09-01). "Molar intrusion in the management of anterior openbite and 'high angle' Class II malocclusions". Journal of Orthodontics. 41 Suppl 1: S39–46. doi:10.1179/1465313314Y.0000000108. ISSN 1465-3133. PMID 25138365.
- ↑ Biomechanical fundamentals in the use of the transpalatal arch and the ligual arch. PMID 2074877