Schaumann body

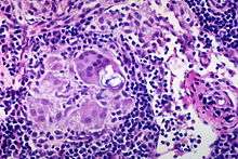
Crystalline inclusion with developing Schaumann body, polarized, in sarcoidosis
In pathology, Schaumann bodies are calcium and protein inclusions inside of Langhans giant cells as part of a granuloma.
Many conditions can cause Schaumann bodies, including:
- Sarcoidosis,
- Hypersensitivity pneumonitis, and
- Berylliosis.
- uncommonly, Crohn's disease and tuberculosis.[1]
Etymology
These inclusions were named after Swedish dermatologist Jörgen Nilsen Schaumann.[2]
See also
References
- ↑ Williams WJ (1964). "HISTOLOGY OF CROHN'S SYNDROME". Gut. 5: 510–6. doi:10.1136/gut.5.6.510. PMC 1552174
. PMID 14244024. - ↑ doctor/564 at Who Named It?
This article is issued from Wikipedia - version of the 5/11/2016. The text is available under the Creative Commons Attribution/Share Alike but additional terms may apply for the media files.