Apicoectomy

Apicoectomy
Intervention

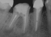
X-Ray of a tooth after root end surgery
ICD-9-CM 23.7
MeSH D001047

A root end surgery, also known as apicoectomy (apico- + -ectomy), root resection, retrograde root canal treatment (c.f. orthograde root canal treatment) or root-end filling, is an endodontic surgical procedure whereby a tooth's root tip is removed and a root end cavity is prepared and filled with a biocompatible material.

Microsurgical endodontics - dental surgery using a microscope - may be performed.

This is usually necessitated when a conventional root canal therapy had failed and a re-treatment was already unsuccessful or is not advised.[1] State-of-the-art procedures make use of microsurgical techniques, such as a dental operating microscope, micro instruments, ultrasonic preparation tips and calcium-silicate based filling materials.

Removal of the root tip is indicated to remove the entire apical delta ensuring no uncleaned missed anatomy.

Extraction may be the only alternative. Where necessary prosthetic replacement with a denture, dental bridge or dental implant may be considered.[2]

References

  1. "Endodontic Microsurgery". Compendium of Continuing Education in Dentistry. Aegis Communications. June 2007. ISSN 1548-8578.
  2. Dental Implant Cost Guide | What you absolutely must know

External links


This article is issued from Wikipedia - version of the 8/30/2016. The text is available under the Creative Commons Attribution/Share Alike but additional terms may apply for the media files.