Progressive supranuclear palsy

Main anatomical planes and axes applied to the sections of the brain.
Classification and external resources
Specialty neurology
ICD-10 G23.1
ICD-9-CM 333.0
OMIM 601104
DiseasesDB 10723
MedlinePlus 000767
eMedicine neuro/328
Patient UK
MeSH D013494

Progressive supranuclear palsy (PSP; or the Steele-Richardson-Olszewski syndrome, after the physicians who described it in 1963) is a degenerative disease involving the gradual deterioration and death of specific volumes of the brain.[1][2]

Males and females are affected approximately equally and there is no racial, geographical or occupational predilection. Approximately 6 people per 100,000 population have PSP.

It has been described as a tauopathy.[3]

Symptoms and signs

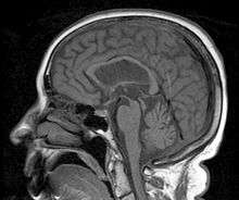
This patient presented with progressive dementia, ataxia and incontinence. A clinical diagnosis of normal pressure hydrocephalus was entertained. Imaging did not support this, however, and on formal testing abnormal nystagmus and eye movements were detected. A sagittal view of the CT/MRI scan shows atrophy of the midbrain, with preservation of the volume of the pons. This appearance has been called the "Hummingbird sign" or "Penguin sign". There is also atrophy of the tectum, particularly the superior colliculi. These findings suggest the diagnosis of progressive supranuclear palsy.[4]

The initial symptoms in two-thirds of cases are loss of balance, lunging forward when mobilizing, fast walking, bumping into objects or people, and falls.

Other common early symptoms are changes in personality, general slowing of movement, and visual symptoms.

Later symptoms and signs are dementia (typically including loss of inhibition and ability to organize information), slurring of speech, difficulty swallowing, and difficulty moving the eyes, particularly in the vertical direction. The latter accounts for some of the falls experienced by these patients as they are unable to look up or down.

Some of the other signs are poor eyelid function, contracture of the facial muscles, a backward tilt of the head with stiffening of the neck muscles, sleep disruption, urinary incontinence and constipation.

The visual symptoms are of particular importance in the diagnosis of this disorder. Patients typically complain of difficulty reading due to the inability to look down well. Notably, the ophthalmoparesis experienced by these patients mainly concerns voluntary eye movement and the inability to make vertical saccades which is often worse with downward saccades. Patients tend to have difficulty looking down (a downgaze palsy) followed by the addition of an upgaze palsy. This vertical gaze paresis will correct when the examiner passively rolls the patient's head up and down in what is known as an oculocephalic maneuver. Involuntary eye movement, as elicited by Bell's phenomenon, for instance, may be closer to normal. On close inspection, eye movements called "square-wave jerks" may be visible when the patient fixes at distance. These are fine movements, that can be mistaken for nystagmus, except that they are saccadic in nature, with no smooth phase. Difficulties with convergence (convergence insufficiency), where the eyes come closer together while focusing on something near, like the pages of a book, is typical. Because the eyes have trouble coming together to focus at short distances, the patient may complain of diplopia (double vision) when reading.

Cardinal manifestations:

Differential diagnosis

PSP is frequently misdiagnosed as Parkinson's disease because of the slowed movements and gait difficulty, or as Alzheimer's disease because of the behavioral changes. It is one of a number of diseases collectively referred to as Parkinson plus syndromes. A poor response to levodopa along with symmetrical onset can help differentiate this disease from PD.[5] Also, patients with the Richardson variant tend to have an upright or arched-back posture as opposed to the stooped-forward posture of other Parkinsonian disorders, although PSP-Parkinsonism (see below) may show the stooped posture.[6] Early falls are characteristic, especially with Richardson-syndrome.[7]

Cause

The cause of PSP is unknown. Fewer than 1 percent of those with PSP have a family member with the same disorder. A variant in the gene for tau protein called the H1 haplotype, located on chromosome 17, has been linked to PSP.[8] Nearly all people with PSP received a copy of that variant from each parent, but this is true of about two-thirds of the general population. Therefore, the H1 haplotype appears to be necessary but not sufficient to cause PSP. Other genes, as well as environmental toxins, are being investigated as other possible contributors to the cause of PSP.

Pathophysiology

The affected brain cells are both neurons and glial cells. The neurons display neurofibrillary tangles, which are clumps of tau protein, a normal part of a brain cell's internal structural skeleton. These tangles are often different from those seen in Alzheimer's disease, but may be structurally similar when they occur in the cerebral cortex.[9] Their chemical composition is usually different, however, and is similar to that of tangles seen in corticobasal degeneration.[10] Tufts of tau protein in astrocytes, or tufted astrocytes, are also considered diagnostic. Unlike globose NFTs, they may be more widespread in the cortex.[11] Lewy bodies are seen in some cases, but it is not clear whether this is a variant or an independent co-existing process, and in some cases PSP can coexist with corticobasal degeneration, Parkinson's and/or Alzheimer's Disease, particularly with older patients.[12][13][14][15][16]

The principal areas of the brain affected are:

Some consider PSP, corticobasal degeneration, and frontotemporal dementia to be variations of the same disease.[17][18] Others consider them separate diseases.[19][20][21] PSP has been shown occasionally to co-exist with Pick's disease.[22]

Classification and treatment

There is no known cure for PSP and management is primarily supportive. PSP cases are often split into two subgroups, PSP-Richardson, the classic type, and PSP-Parkinsonism, where a short-term response to levodopa can be obtained.[23] Amantadine is also sometimes helpful.[24] After a few years the Parkinsonian variant tends to take on Richardson features.[25] Other variants have been described.[26][27][28][29] Botox can be used to treat neck dystonia and blephrospasm, but this can aggravate dysphagia.[30]

Two studies have suggested that rivastigmine may help with cognitive aspects, but the authors of both studies have suggested a larger sampling be used.,[31][32] There is some evidence that the hypnotic zolpidem may improve motor function and eye movements, but only from small-scale studies.[33][34]

Rehabilitation

Patients with PSP usually seek or are referred to occupational therapy, speech-language pathology for motor speech changes typically a spastic-ataxic dysarthria, and physical therapy for balance and gait problems with reports of frequent falls.[35] Evidence-based approaches to rehabilitation in PSP are lacking, and currently the majority of research on the subject consists of case reports involving only a small number of patients.

Case reports of rehabilitation programs for patients with PSP generally include limb-coordination activities, tilt-board balancing, gait training, strength training with progressive resistive exercises and isokinetic exercises and stretching of the neck muscles.[35] While some case reports suggest that physiotherapy can offer improvements in balance and gait of patients with PSP, the results cannot be generalized across all patients with PSP as each case report only followed one or two patients.[35] The observations made from these case studies can be useful, however, in helping to guide future research concerning the effectiveness of balance and gait training programs in the management of PSP.

Individuals with PSP are often referred to occupational therapists to help manage their condition and to help enhance their independence. This may include being taught to use mobility aids.[36][37] Due to their tendency to fall backwards, the use of a walker, particularly one that can be weighted in the front, is recommended over a cane.[36] The use of an appropriate mobility aid will help to decrease the individual’s risk of falls and make them safer to ambulate independently in the community.[37] Due to their balance problems and irregular movements individuals will need to spend time learning how to safely transfer in their homes as well as in the community.[36] This may include arising from and sitting in chairs safely.[37]

Due to the progressive nature of this disease, all individuals eventually lose their ability to walk and will need to progress to using a wheelchair.[36] Severe dysphagia often follows, and at this point death is often a matter of months.[38]

Prognosis

There is currently no effective treatment or cure for PSP, although some of the symptoms can respond to nonspecific measures. The average age at symptoms onset is 63 and survival from onset averages 7 years with a wide variance. Pneumonia is a frequent cause of death.[39]

Notable cases

Support groups

Several international organizations serve the needs of patients with PSP and their families and support research. The Foundation for PSP, CBD and Related Brain Diseases is based in the US and the PSP Association (PSP-Europe Association) is based in the UK. The PSP-France association is based in Paris. With the help of the PSP Association based in the United States, in 2014/15 Canada will have its own CUREPSP organization.

References

  1. Richardson JC, Steele J, Olszewski J (1963). "Supranuclear ophthalmoplegia, pseudobulbar palsy, nuchal dystonia and dementia. A clinical report on eight cases of 'heterogeneous system degeneration'". Transactions of the American Neurological Association. 88: 25–9. PMID 14272249.
  2. Steele JC, Richardson JC, Olszewski J (April 1964). "Progressive supranuclear palsy: a heterogeneous degeneration involving brain stem, basal ganglia and cerebellum with vertical gaze and pseudobulbar palsy, nuchal dystonia and dementia". Archives of Neurology. 10: 333–59. doi:10.1001/archneur.1964.00460160003001. PMID 14107684.
  3. Rizzo G, Martinelli P, Manners D, et al. (October 2008). "Diffusion-weighted brain imaging study of patients with clinical diagnosis of corticobasal degeneration, progressive supranuclear palsy and Parkinson's disease". Brain. 131 (Pt 10): 2690–700. doi:10.1093/brain/awn195. PMID 18819991.
  4. Shukla R, Sinha M, Kumar R, Singh D (2009). "'Hummingbird' sign in progressive supranuclear palsy". Ann Indian Acad Neurol. 12: 133. doi:10.4103/0972-2327.53087. PMC 2812742Freely accessible. PMID 20142864.
  5. Litvan I, Campbell G, Mangone CA, Verny M, McKee A, Chaudhuri KR, Jellinger K, Pearce RK, D'Olhaberriague L (Jan 1997). "Which clinical features differentiate progressive supranuclear palsy (Steele-Richardson-Olszewski syndrome) from related disorders? A clinicopathological study". Brain. 120 (1): 65–74. doi:10.1093/brain/120.1.65. PMID 9055798.
  6. David P. Moore, Basant K. Puri. Textbook of Clinical Neuropsychiatry and Behavioral Neuroscience. pp. 400–401. ISBN 9781444164947.
  7. Williams DR1, Watt HC, Lees AJ. (April 2006). "Predictors of falls and fractures in bradykinetic rigid syndromes: a retrospective study". J Neurol Neurosurg Psychiatry. 77 (4): 468–73. doi:10.1136/jnnp.2005.074070. PMID 16543524.
  8. Online Mendelian Inheritance in Man (OMIM) 601104
  9. Amano N, Iwabuchi K, Yokoi S (January 1989). "[The reappraisal study of the ultrastructure of Alzheimer's neurofibrillary tangles in three cases of progressive supranuclear palsy]". Nō to Shinkei (in Japanese). 41 (1): 35–44. PMID 2655673.
  10. Luc Buée; André Delacourte (1999). "Comparative biochemistry of tau in progressive supranuclear palsy, corticobasal degeneration, FTDP-17 and Pick's disease" (PDF). Brain Pathology. 9 (4): 681–93. doi:10.1111/j.1750-3639.1999.tb00550.x. PMID 10517507.
  11. Feany MB, Mattiace LA, Dickson DW. (January 1996). "Neuropathologic overlap of progressive supranuclear palsy, Pick's disease and corticobasal degeneration.". J Neuropathol Exp Neurol. 55 (1): 53–67. doi:10.1097/00005072-199601000-00006. PMID 8558172.
  12. Uchikado H, DelleDonne A, Ahmed Z, Dickson DW (April 2006). "Lewy bodies in progressive supranuclear palsy represent an independent disease process". Journal of Neuropathology and Experimental Neurology. 65 (4): 387–95. doi:10.1097/01.jnen.0000218449.17073.43. PMID 16691119.
  13. Keith-Rokosh J, Ang LC (November 2008). "Progressive supranuclear palsy: a review of co-existing neurodegeneration". The Canadian Journal of Neurological Sciences. 35 (5): 602–8. PMID 19235444.
  14. Heather B. Rigby MD, Brittany N. Dugger PhD, Joseph G. Hentz MS, Charles H. Adler MD, PhD1, Thomas G. Beach MD, PhD, Holly A. Shill MD, Erika Driver-Dunckley MD, Marwan N. Sabbagh MD, Lucia I. Sue2 andJohn N. Caviness MD (March 2015). "Clinical Features of Patients with Concomitant Parkinson's Disease and Progressive Supranuclear Palsy Pathology". Movement Disorders Clinical Practice. 2 (1): 33–38. doi:10.1002/mdc3.12104.
  15. Gearing M1, Olson DA, Watts RL, Mirra SS. (June 1994). "Progressive supranuclear palsy: neuropathologic and clinical heterogeneity". Neurology. 44 (6): 1015–24. doi:10.1212/wnl.44.6.1015. PMID 8208392.
  16. Brittany N. Dugger,* Charles H. Adler, Holly A. Shill, John Caviness, Sandra Jacobson, Erika Driver-Dunckley, Thomas G. Beach, and the Arizona Parkinson’s Disease Consortium (May 2014). "Concomitant pathologies among a spectrum of parkinsonian disorders.". Parkinsonism Relat Disord. 20 (5): 525–9. doi:10.1016/j.parkreldis.2014.02.012. PMC 4028418Freely accessible. PMID 24637124.
  17. Kertesz A, Munoz D (2004). "Relationship between frontotemporal dementia and corticobasal degeneration/progressive supranuclear palsy". Dementia and Geriatric Cognitive Disorders. 17 (4): 282–6. doi:10.1159/000077155. PMID 15178937.
  18. Katsuse, O; Iseki, E; Arai, T; Akiyama, H; Togo, T; Uchikado, H; Kato, M; Andrew Lees; et al. (September 2003). "4-repeat tauopathy sharing pathological and biochemical features of corticobasal degeneration and progressive supranuclear palsy". Acta Neuropathologica. 106 (3): 251–60. doi:10.1007/s00401-003-0728-8. PMID 12802605.
  19. Hattori M, Hashizume Y, Yoshida M (August 2003). "Distribution of astrocytic plaques in the corticobasal degeneration brain and comparison with tuft-shaped astrocytes in the progressive supranuclear palsy brain". Acta Neuropathologica. 106 (2): 143–9. doi:10.1007/s00401-003-0711-4. PMID 12732936.
  20. Komori, T; Arai, N; Oda, M; Nakayama, H; Mori, H; Yagishita, S; Takahashi, T; Komori T, Arai N, Oda M, Nakayama H, Mori H, Yagishita S, Takahashi T, Amano N, Murayama S, Murakami S, Shibata N, Kobayashi M, Sasaki S, Iwata M.; et al. (Oct 1998). "Astrocytic plaques and tufts of abnormal fibers do not coexist in corticobasal degeneration and progressive supranuclear palsy". Acta Neuropathologica. 96 (4): 401–8. doi:10.1007/s004010050911. PMID 9797005.
  21. "[Glial abnormalities in progressive supranuclear palsy and corticobasal degeneration].". Zhonghua Bing Li Xue Za Zhi. 33: 125–9. Apr 2004. PMID 15132848.
  22. Wang, LN; Zhu, MW; Feng, YQ; Wang, JH (2006). "Pick's disease with Pick bodies combined with progressive supranuclear palsy without tuft-shaped astrocytes: a clinical, neuroradiologic and pathological study of an autopsied case". Neuropathology : official journal of the Japanese Society of Neuropathology. 26 (3): 222–30. doi:10.1111/j.1440-1789.2006.00671.x. PMID 16771179.
  23. Williams, DR; De Silva, R; Paviour, DC; Pittman, A; Watt, HC; Kilford, L; Holton, JL; Williams DR, de Silva R, Paviour DC, Pittman A, Watt HC, Kilford L, Holton JL, Revesz T, Lees AJ.; Lees, AJ (Jun 2005). "Characteristics of two distinct clinical phenotypes in pathologically proven progressive supranuclear palsy: Richardson's syndrome and PSP-parkinsonism". Brain. 128 (6): 1247–58. doi:10.1093/brain/awh488. PMID 15788542.
  24. Brooks DJ. (March 2002). "Diagnosis and management of atypical parkinsonian syndromes.". J Neurol Neurosurg Psychiatry. 72 (Suppl): 1:I10–I16. PMC 1765580Freely accessible. PMID 11870198.
  25. What is Progressive Supranuclear Palsy?
  26. Orphanet article on Progressive Supranuclear Palsy
  27. What's New in Progressive Supranuclear Palsy?
  28. NORD article on PSP
  29. Progressive supranuclear palsy: clinicopathological concepts and diagnostic challenges
  30. Barsottini OG1, Felício AC, Aquino CC, Pedroso JL. (December 2010). "Progressive supranuclear palsy: new concepts.". Arq Neuropsiquiatr. 68 (6): 938–46. doi:10.1590/s0004-282x2010000600020. PMID 21243256.
  31. Nijboer H, Dautzenberg PL (Jun 2009). "[Progressive supranucleair palsy: acetylcholineeserase-inhibitor a possible therapy?]". Tijdschr Gerontol Geriatr. 40 (3): 133–7. PMID 19731749.
  32. Liepelt I, Gaenslen A, Godau J, Di Santo A, Schweitzer KJ, Gasser T, Berg D (Jan 2010). "Rivastigmine for the treatment of dementia in patients with progressive supranuclear palsy: Clinical observations as a basis for power calculations and safety analysis". Alzheimers Dement. 6 (1): 70–4. doi:10.1016/j.jalz.2009.04.1231. PMID 20129321.
  33. Abe, K (January 2008). "Zolpidem therapy for movement disorders.". Recent patents on CNS drug discovery. 3 (1): 55–60. doi:10.2174/157488908783421519. PMID 18221242.
  34. Barsottini, OG; Felício, AC; Aquino, CC; Pedroso, JL (December 2010). "Progressive supranuclear palsy: new concepts.". Arquivos de Neuro-Psiquiatria. 68 (6): 938–46. doi:10.1590/S0004-282X2010000600020. PMID 21243256.
  35. 1 2 3 Zampieri, Cris; Di Fabio, Richard (June 2006). "Progressive Supranuclear Palsy: Disease Profile and Rehabilitation Strategies". Physical Therapy. 86 (6): 870–80. PMID 16737412.
  36. 1 2 3 4 van Balken, Irene; Litvan, Irene (May 2006). "Current and Future Treatments in Progressive Supranuclear Palsy". Current Treatment Options in Neurology. 8 (3): 211–23. doi:10.1007/s11940-006-0012-z. PMID 16569380.
  37. 1 2 3 Golbe, Lawrence (November 2001). "Progressive Supranuclear Palsy". Current Treatment Options in Neurology. 3 (6): 473–477. doi:10.1007/s11940-001-0010-0. PMID 11581524.
  38. O'Sullivan SS1, Massey LA, Williams DR, Silveira-Moriyama L, Kempster PA, Holton JL, Revesz T, Lees AJ. (May 2008). "Clinical outcomes of progressive supranuclear palsy and multiple system atrophy.". Brain. 131 (5): 1362–72. doi:10.1093/brain/awn065. PMID 18385183.
  39. Satoshi Tomita,1,2 Tomoko Oeda,1,2 Atsushi Umemura,1,2 Masayuki Kohsaka,1,2 Kwiyoung Park,1,2 Kenji Yamamoto,1,2 Hiroshi Sugiyama,2 Chiaki Mori,3 Kimiko Inoue,3 Harutoshi Fujimura,3 and Hideyuki Sawada1,2,* Oscar Arias-Carrion, Editor (August 13, 2015). "Impact of Aspiration Pneumonia on the Clinical Course of Progressive Supranuclear Palsy: A Retrospective Cohort Study.". PLOS ONE. 10 (8): e0135823. doi:10.1371/journal.pone.0135823. PMC 4536232Freely accessible. PMID 26270456.
  40. "K. Lamar Alsop, Violinist in a Musical Family, Dies at 85". Retrieved 2014-02-09.
  41. "John Attenborough, youngest brother of David and Richard Attenborough (obituary)". Daily Echo (Bournemouth). 31 December 2012. Retrieved 8 December 2013.
  42. "Teel Bivins Services Held Today in Amarillo, October 29, 2009". Texas Insider. Retrieved October 30, 2009.
  43. Richard Frank obituary, Washington Post
  44. http://textuploader.com/oiub
  45. "SHIGEJI KANEKO WHO BEAT 'FLASH' ELORDE FOUR TIMES PASSES AWAY". PhilBoxing. 3 January 2016. Retrieved 3 January 2016.
  46. "Retired U.S. District Court Judge A.J. "Buddy" McNamara, 78, died Tuesday". New Orleans Times-Picayune. Retrieved December 3, 2014.
  47. Obituary of Geoff Miller, NY Times (2011)
  48. Elkind, Peter; Sellers, Patricia; Burke, Doris (November 21, 2011). "The Fight of Richard Rainwater's Life". Fortune. 164 (8): 126–140.
  49. "Dr Anne Turner". Dignity in Dying. Retrieved 2009-01-25.
This article is issued from Wikipedia - version of the 12/3/2016. The text is available under the Creative Commons Attribution/Share Alike but additional terms may apply for the media files.