Pleomorphic undifferentiated sarcoma
| Pleomorphic undifferentiated sarcoma | |
|---|---|
![]() | |
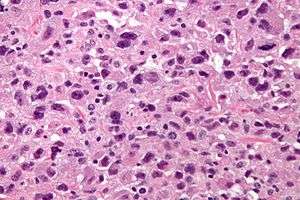
| Micrograph of a pleomorphic undifferentiated sarcoma. H&E stain. | |
| Classification and external resources | |
| Specialty | Oncology |
| ICD-10 | C49 (ILDS C49.M10) |
| DiseasesDB | 31471 |
| eMedicine | radio/420 |
| MeSH | D051677 |
Pleomorphic undifferentiated sarcoma (abbreviated PUS), also undifferentiated pleomorphic sarcoma and previously malignant fibrous histiocytoma (abbreviated MFH), is a type of soft tissue sarcoma.
It is considered a diagnosis of exclusion for sarcomas that cannot be more precisely categorized.[1][2]
Epidemiology
PUS is regarded as the most common soft tissue sarcoma of late adult life. It rarely occurs in children.[3] It occurs more often in Caucasians than in those of African or Asian descent and is a male-predominant disease, afflicting two males for every female.
Presentation
PUS occurs most commonly in the extremities and retroperitoneum, but has been reported in other sites. Metastasis occurs most frequently in the lungs (90%), bones (8%), and liver (1%).
In the extremities, it presents itself as a painless enlarging soft tissue mass.
Diagnosis
It can be detected by magnetic resonance imaging (MRI), but a biopsy is required for the definitive diagnosis. MRI findings typically show a well-circumscribed mass that is dark on T1-weighted images and bright on T2-weighted images. Central necrosis is often present and identifiable by imaging, especially in larger masses.
Pathology
Pleomorphic undifferentiated sarcomas are, by definition, undifferentiated, meaning (as the name implies) that they do not bear a resemblance to any normal tissue.
The histomorphology, otherwise, is characterized by high cellularity, marked nuclear pleomorphism, usually accompanied by abundant mitotic activity (including atypical mitoses), and a spindle cell morphology. Necrosis is common and characteristic of high grade lesions.
Treatment
Treatment consists of surgical excision (the extent of which ranges from tumor excision to limb amputation, depending on the tumor) and in almost all cases radiation. Radiation eliminates the need for limb amputation and there is level I evidence to show that it leads to equivalent rates of survival (Rosenberg et al. NCI Canada). Radiation may be delivered either pre-op or post-op depending on surgeon and multidisciplinary tumor board's recommendations. Radiation can be omitted for low grade, Stage I excised tumors with >1 cm margin (NCCN). Chemotherapy remains controversial in MFH.
The usual site of metastatic disease is the lungs, and metastases should be resected if possible. Unresectable or inoperable lung metastasis may be treated with stereotactic body radiation therapy (SBRT) with excellent local control. However, neither surgery nor SBRT will prevent emergence of additional metastasis elsewhere in the lung. Therefore, role of chemotherapy needs to be further explored to address systemic metastasis.
Prognosis
Prognosis depends on the primary tumor grade (appearance under the microscope as judged by a pathologist), size, resectability (whether it can be completely removed surgically), and presence of metastases. The five-year survival ranges from 35 to 60%.
References
- ↑ Matushansky I, Charytonowicz E, Mills J, Siddiqi S, Hricik T, Cordon-Cardo C (August 2009). "MFH classification: differentiating undifferentiated pleomorphic sarcoma in the 21st Century". Expert Rev Anticancer Ther. 9 (8): 1135–44. doi:10.1586/era.09.76. PMC 3000413
. PMID 19671033. - ↑ "Neoplasia".
- ↑ Alaggio R, Collini P, Randall RL, Barnette P, Million L, Coffin CM (2010). "Undifferentiated high-grade pleomorphic sarcomas in children: a clinicopathologic study of 10 cases and review of literature". Pediatr. Dev. Pathol. 13 (3): 209–17. doi:10.2350/09-07-0673-OA.1. PMID 20055602.
External links
- Malignant Fibrous Histiocytoma (MFH) - Sarcoma Learning Center
