Placental villous immaturity
| Placental villous immaturity | |
|---|---|
![]() | |
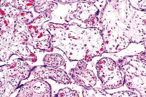
| Micrograph of villous immaturity. H&E stain. | |
| Classification and external resources |
Placental villous immaturity, also villous immaturity and villous dysmaturity, is chorionic villous development that is inappropriate for the gestational age.
It is associated with diabetes mellitus[1] and fetal death near term, i.e. intrauterine demise close to the normal gestational period.[2]
Pathology
Placental villous immaturity, as the name implies, is characterized by chorionic villi that are inappropriately developed for the gestational age. The development and maturation of chorionic villi is essential for normal fetal development.
Immature chorionic villi are larger and have more central blood vessels; thus, the diffusion distance for gas and nutrient exchange is larger and, therefore, placental function is impaired.
See also
Additional images
Low mag.
High mag.
References
- ↑ Arizawa, M.; Nakayama, M.; Kidoguchi, K. (Jun 1991). "[Correlation of placental villous immaturity and dysmaturity with clinical control of maternal diabetes].". Nihon Sanka Fujinka Gakkai Zasshi. 43 (6): 595–602. PMID 1856519.
- ↑ Stallmach, T.; Hebisch, G. (Jul 2004). "Placental pathology: its impact on explaining prenatal and perinatal death.". Virchows Arch. 445 (1): 9–16. doi:10.1007/s00428-004-1032-2. PMID 15138817.
This article is issued from Wikipedia - version of the 1/16/2015. The text is available under the Creative Commons Attribution/Share Alike but additional terms may apply for the media files.
