Pericyte

Pericyte

Transmission electron micrograph of a microvessel, showing pericytes characteristically lining the outer surface of endothelial cells, which encircle an erythrocyte (E).
Details
Identifiers
Latin pericytus
Code TH H3.09.02.0.02006

Anatomical terminology

Pericytes are contractile cells that wrap around the endothelial cells of capillaries and venules throughout the body.[1] Also known as Rouget cells or mural cells, pericytes are embedded in basement membrane where they communicate with endothelial cells of the body's smallest blood vessels by means of both direct physical contact and paracrine signaling.[2] In the brain, pericytes help sustain the blood–brain barrier as well as several other homeostatic and hemostatic functions of the brain.[3] These cells are also a key component of the neurovascular unit, which includes endothelial cells, astrocytes, and neurons.[4] Pericytes regulate capillary blood flow, the clearance and phagocytosis of cellular debris, and the permeability of the blood–brain barrier. Pericytes stabilize and monitor the maturation of endothelial cells by means of direct communication between the cell membrane as well as through paracrine signaling.[5] A deficiency of pericytes in the central nervous system can cause the blood–brain barrier to break down.[3]

Morphology

Gap cell junction created between two neighboring cells by connexin.

In the central nervous system, pericytes wrap around the endothelial cells that line the inside of the capillary. These two types of cells can be easily distinguished from one another based on the presence of the prominent round nucleus of the pericyte compared to the flat elongated nucleus of the endothelial cells.[4] Pericytes also project finger-like extensions that wrap around the capillary wall, allowing the cells to regulate capillary blood flow.[3]

Both pericytes and endothelial cells share a basement membrane where a variety of intercellular connections are made. Many types of integrin molecules facilitate communication between pericytes and endothelial cells separated by the basement membrane.[3] Pericytes can also form direct connections with neighboring cells by forming peg and socket arrangements in which parts of the cells interlock, similar to the gears of a clock. At these interlocking sites, gap junctions can be formed which allow the pericytes and neighboring cells to exchange ions and other small molecules.[3] Important molecules in these intercellular connections include N-cadherin, fibronectin, connexin and various integrins.[4]

In some regions of the basement membrane, adhesion plaques composed of fibronectin can be found. These plaques facilitate the connection of the basement membrane to the cytoskeletal structure composed of actin, and the plasma membrane of the pericytes and endothelial cells.[3]

Function

Skeletal muscle regeneration and fat formation

Pericytes in the skeletal striated muscle are of two distinct populations, each with its own role. The first pericyte subtype (Type-1) can differentiate into fat cells while the other (Type-2) into muscle cells. Type-1 characterized by negative expression for nestin (PDGFRβ+CD146+NG2-) and type-2 characterized by positive expression for nestin (PDGFRβ+CD146+NG2+). While both types are able to proliferate in response to glycerol or BaCl2-induced injury, type-1 pericytes give rise to adipogenic cells only in response to glycerol injection and type-2 become myogenic in response to both types of injury. The extent to which type-1 pericytes participate in fat accumulation is not known.

Angiogenesis and the survival of endothelial cells

Pericytes are also associated with allowing endothelial cells to differentiate, multiply, form vascular branches (angiogenesis), survive apoptotic signals and travel throughout the body. Certain pericytes, known as microvascular pericytes, develop around the walls of capillaries and help to serve this function. Microvascular pericytes may not be contractile cells because they lack alpha-actin isoforms; structures that are common amongst other contractile cells. These cells communicate with endothelial cells via gap junctions and in turn cause endothelial cells to proliferate or be selectively inhibited. If this process did not occur, hyperplasia and abnormal vascular morphogenesis could occur. These types of pericyte can also phagocytose exogenous proteins. This suggests that the cell type might have been derived from microglia.[6]

A lineage relationship to other cell types has been proposed, including smooth muscle cells,[7] neural cells,[7] NG2 glia,[8] muscle fibers, adipocytes, as well as fibroblasts[9] and other mesenchymal stem cells, however whether these cells differentiate into each other is an outstanding question in the field. Pericytes' regenerative capacity is affected by aging.[9] Such versatility is conducive because they actively remodel blood vessels throughout the body and can thereby blend homogeneously with the local tissue environment.[10]

Aside from creating and remodeling blood vessels in a viable fashion, pericytes have been found to protect endothelial cells from death via apoptosis or cytotoxic elements. It has been studied in vivo that pericytes release a hormone known as pericytic aminopeptidase N/pAPN that may help to promote angiogenesis. When this hormone was mixed with cerebral endothelial cells as well as astrocytes, the pericytes grouped into structures that resembled capillaries. Furthermore, if experimental group contained all of the following with the exception of pericytes, the endothelial cells would undergo apoptosis. That being said, it was concluded that pericytes must be present to assure the proper function of endothelial cells and astrocytes must be present to assure that both remain in contact. If not, then proper angiogenesis cannot occur.[11] In addition, it has been found that pericytes contribute to the survival of endothelial cells because they secrete the protein Bcl-w during cellular crosstalk. Bcl-w is an instrumental protein in the pathway that enforces VEGF-A expression and discourages apoptosis.[12] Although there is some speculation as to why VEGF is directly responsible for preventing apoptosis, it is believed to be responsible for modulating apoptotic signal transduction pathways and inhibiting activation of apoptosis inducing enzymes. Two biochemical mechanisms utilized by VEGF to accomplish such would be phosphorylation of extracellular regulatory kinase 1 (ERK-1) which sustains cell survival over time and inhibition of stress-activated protein kinase/c-jun-NH2 kinase which also promotes apoptosis.[13]

Blood–brain barrier

Pericytes play a crucial role in the formation and functionality of the selectively permeable space between the circulatory system and central nervous system. This space is known as the blood–brain barrier. This barrier is composed of endothelial cells and assures the protection and functionality of the brain and central nervous system. Although it had been theorized that astrocytes were crucial to the postnatal formation of this barrier, it has been found that pericytes are now largely responsible for this role. Pericytes are responsible for tight junction formation and vesicle trafficking amongst endothelial cells. Furthermore, they allow the formation of the blood–brain barrier by inhibiting the effects of CNS immune cells (which can damage the formation of the barrier) and by reducing the expression of molecules that increase vascular permeability.[14]

Aside from blood–brain barrier formation, pericytes also play an active role in its functionality by controlling the flow within blood vessels and between blood vessels and the brain. In animal models with lower pericyte coverage, trafficking of molecules across endothelial cells occurs at a higher frequency, allowing proteins into the brain that would normally be excluded.[15] Loss or dysfunction of pericytes is also theorized to contribute to neurodegenerative diseases such as Alzheimer's, Parkinson's and ALS (Lou Gehrig's Disease) through breakdown of the blood-brain barrier.

Blood flow

Increasing evidence suggests that pericytes can regulate blood flow at the capillary level. For the retina, movies have been published[16] showing that pericytes constrict capillaries when their membrane potential is altered to cause calcium influx, and in the brain it has been reported that neuronal activity increases local blood flow by inducing pericytes to dilate capillaries before upstream arteriole dilation occurs.[17] This area is controversial, with a recent study claiming that pericytes do not express contractile proteins and are not capable of contraction in vivo.,[18] although the latter paper has been criticised for using a highly unconventional definition of pericyte which explicitly excludes contractile pericytes.[19] It appears that different signaling pathways regulate the constriction of capillaries by pericytes and of arterioles by smooth muscle cells[20]

Pericytes are important in maintaining circulation. In a study involving adult pericyte-deficient mice, cerebral blood flow was diminished with concurrent vascular regression due to loss of both endothelia and pericytes. Significantly greater hypoxia was reported in the hippocampus of pericyte-deficient mice as well as inflammation, and learning and memory impairment.[21]

Pathologies

Because of their crucial role in maintaining and regulating endothelial cell structure and blood flow, abnormalities in pericyte function are seen in many pathologies. They may either be present in excess, leading to diseases such as hypertension and tumor formation, or in deficiency, leading to neurodegenerative diseases.

Hemangioma

The clinical phases of Hemangioma have physiological differences, correlated with immunophenotypic profiles by Takahashi et al. During the early proliferative phase (0–12 months) the tumors express proliferating cell nuclear antigen (pericytesna), vascular endothelial growth factor (VEGF), and type IV collagenase, the former two localized to both endothelium and pericytes, and the last to endothelium. The vascular markers CD 31, von Willebrand factor (vWF), and smooth muscle actin (pericyte marker) are present during the proliferating and involuting phases, but are lost after the lesion is fully involuted.[22]

Hemangiopericytoma

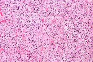
Image of a solitary fibrous tumour that is most likely a hemangiopericytoma. It surrounds a staghorn-shaped blood vessel, which results from the arrangement of pericytes around the vessel

Hemangiopericytoma is a rare vascular neoplasm, or abnormal growth, that may either be benign or malignant. In its malignant form, metastasis to the lungs, liver, brain, and extremities may occur. It most commonly manifests itself in the femur and proximal tibia as a bone sarcoma, and is usually found in older individuals, though cases have been found in children. Hemangiopericytoma is caused by the excessive layering of sheets of pericytes around improperly formed blood vessels. Diagnosis of this tumor is difficult because of the inability to distinguish pericytes from other types of cells using light microscopy. Treatment may involve surgical removal and radiation therapy, depending on the level of bone penetration and stage in the tumor's development.[23]

Diabetic retinopathy

The retina of diabetic individuals often exhibits loss of pericytes, and this loss is a characteristic factor of the early stages of diabetic retinopathy. Studies have found that pericytes are essential in diabetic individuals to protect the endothelial cells of retinal capillaries. With the loss of pericytes, microaneurysms form in the capillaries. In response, the retina either increases its vascular permeability, leading to swelling of the eye through a macular edema, or forms new vessels that permeate into the vitreous membrane of the eye. The end result is reduction or loss of vision.[24] While it is unclear why pericytes are lost in diabetic patients, one hypothesis is that toxic sorbitol and advanced glycation end-products (AGE) accumulate in the pericytes. Because of the build-up of glucose, the polyol pathway increases its flux, and intracellular sorbitol and fructose accumulate. This leads to osmotic imbalance, which results in cellular damage. The presence of high glucose levels also leads to the buildup of AGE's, which also damage cells.[25]

Neurodegenerative diseases

Studies have found that pericyte loss in the adult and aging brain leads to the disruption of proper cerebral perfusion and maintenance of the blood–brain barrier, which causes neurodegeneration and neuroinflammation. The apoptosis of pericytes in the aging brain may be the result of a failure in communication between growth factors and receptors on pericytes. Platelet-derived growth factor B (PDGFB) is released from endothelial cells in brain vasculature and binds to the receptor PDGFRB on pericytes, initiating their proliferation and investment in the vasculature.

Immunohistochemical studies of human tissue from Alzheimer's disease and amyotrophic lateral sclerosis show pericyte loss and breakdown of the blood-brain barrier. Pericyte-deficient mouse models (which lack genes encoding steps in the PDGFB:PDGFRB signalling cascade) and have an Alzheimer's-causing mutation have exacerbated Alzheimer's-like pathology compared to mice with normal pericyte coverage and an Alzheimer's-causing mutation.

Stroke

In conditions of stroke pericytes constrict brain capillaries and then die, which may lead to a long-lasting decrease of blood flow and loss of blood–brain barrier function, increasing the death of nerve cells[17]

Current research

Endothelial and pericyte interactions

Endothelial cells and pericytes are interdependent, so failure of proper communication between the two cells can lead to numerous human pathologies.[26]

There are several pathways of communication between the endothelial cells and pericytes. The first is transforming growth factor (TGF) signaling, which is mediated by endothelial cells. This is important for pericyte differentiation.[27][28] Angiopoietin 1 and Tie-2 signaling is essential for maturation and stabilization of endothelial cells.[29] Platelet-derived growth factor (PDGF) pathway signaling from endothelial cells recruits pericytes, so that pericytes can migrate to growing vessels. If this pathway is blocked, it leads to pericyte deficiency.[30] Sphingosine-1-phosphate (S1P) signaling also aides in pericyte recruitment by communication through G protein-coupled receptors. S1P signals through GTPases that promote N-cadherin trafficking to endothelial membranes. This trafficking strengthens contacts with pericytes.[31]

Communication between endothelial cells and pericytes is important. Inhibiting the PDGF pathway leads to pericyte deficiency. This causes endothelial hyperplasia, abnormal junctions, and diabetic retinotropy.[24] A lack of pericytes also causes an upregulation of vascular endothelial growth factor (VEGF), leading to vascular leakage and hemorrhage.[32] Also, angiopoietin 2 can act as an antagonist to Tie-2.[33] This destabilizes the endothelial cells, which accounts for less endothelial cell and pericyte interaction. This can actually lead to the formation of tumors.[34] Similar to the inhibition of the PDGF pathway, angiopoietin 2 reduces levels of pericytes, leading to diabetic retinopathy.[35]

Scarring

After an injury in the central nervous system, scarring occurs to preserve the integrity of surrounding cells. Usually, astrocytes are associated with the scarring and are called glial scars. However, there is a stromal or nonglial component of the scarring, and lineage-tracking studies of pericytes following stroke revealed that they form the main component of the glial scar.[36] Following traumatic brain injury, pericytes migrate out from the vasculature to the site of injury, differentiate into myofibroblasts and deposit extracellular matrix that forms the fibrotic component of the scar.

The scarring is highly compartmentalized. The pericytes form the core of the scar, while ependymal cells form a second layer around the core, followed by another layer of astrocytes that originated through self-duplication.[37]

Inhibition of subtype A pericyte generation caused improper closing of spinal cord incisions, which supports the idea that pericytes are important for scarring.

See also

References

  1. Birbrair, Alexander; Zhang, Tan; Wang, Zhong-Min; Messi, Maria Laura; Mintz, Akiva; Delbono, Osvaldo (2015-01-01). "Pericytes at the intersection between tissue regeneration and pathology". Clinical Science. 128 (2): 81–93. doi:10.1042/CS20140278. ISSN 0143-5221. PMC 4200531Freely accessible. PMID 25236972.
  2. Bergers, G.; Song, S (2005). "The role of pericytes in blood-vessel formation and maintenance". Neuro-Oncology. 7 (4): 452–64. doi:10.1215/S1152851705000232. PMC 1871727Freely accessible. PMID 16212810.
  3. 1 2 3 4 5 6 Winkler, Ethan A; Bell, Robert D; Zlokovic, Berislav V (2011). "Central nervous system pericytes in health and disease". Nature Neuroscience. 14 (11): 1398–405. doi:10.1038/nn.2946. PMID 22030551.
  4. 1 2 3 Dore-Duffy, Paula; Cleary, Kristen (2011). "The Blood-Brain and Other Barriers". Methods in Molecular Biology. 686: 49–68. doi:10.1007/978-1-60761-938-3_2. ISBN 978-1-60761-937-6. PMID 21082366. |chapter= ignored (help)
  5. Fakhrejahani, Elham; Toi, Masakazu (2012). "Tumor Angiogenesis: Pericytes and Maturation Are Not to Be Ignored". Journal of Oncology. 2012: 1–10. doi:10.1155/2012/261750. PMC 3191787Freely accessible. PMID 22007214.
  6. Pericyte, Astrocyte and Basal Lamina Association with the Blood Brain Barrier (BBB) http://davislab.med.arizona.edu/content/pericyte-astrocyte-and-basal-lamina-association-blood-brain-barrier-bbb
  7. 1 2 Birbrair, Alexander; Zhang, Tan; Wang, Zhong-Min; Messi, Maria Laura; Enikolopov, Grigori N.; Mintz, Akiva; Delbono, Osvaldo (2013). "Skeletal muscle pericyte subtypes differ in their differentiation potential". Stem Cell Research. 10 (1): 67–84. doi:10.1016/j.scr.2012.09.003. PMC 3781014Freely accessible. PMID 23128780.
  8. Birbrair, Alexander; Zhang, Tan; Wang, Zhong-Min; Messi, Maria Laura; Enikolopov, Grigori N.; Mintz, Akiva; Delbono, Osvaldo (2013). "Skeletal muscle neural progenitor cells exhibit properties of NG2-glia.". Experimental Cell Research. 319 (1): 45–63. doi:10.1016/j.yexcr.2012.09.008. PMC 3597239Freely accessible. PMID 22999866.
  9. 1 2 Birbrair, A.; Zhang, T.; Wang, Z.-M.; Messi, M. L.; Mintz, A.; Delbono, O. (2013). "Type-1 pericytes participate in fibrous tissue deposition in aged skeletal muscle". AJP: Cell Physiology. 305 (11): C1098. doi:10.1152/ajpcell.00171.2013.
  10. Gerhardt, Holger; Betsholtz, Christer (2003). "Endothelial-pericyte interactions in angiogenesis". Cell and Tissue Research. 314 (1): 15–23. doi:10.1007/s00441-003-0745-x. PMID 12883993.
  11. Ramsauer, M. (2002). "Angiogenesis of the blood-brain barrier in vitro and the function of cerebral pericytes". The FASEB Journal. doi:10.1096/fj.01-0814fje.
  12. Franco, M.; Roswall, P.; Cortez, E.; Hanahan, D.; Pietras, K. (2011). "Pericytes promote endothelial cell survival through induction of autocrine VEGF-A signaling and Bcl-w expression". Blood. 118 (10): 2906–17. doi:10.1182/blood-2011-01-331694. PMC 3172806Freely accessible. PMID 21778339.
  13. Gupta, K; Kshirsagar, S; Li, W; Gui, L; Ramakrishnan, S; Gupta, P; Law, PY; Hebbel, RP (1999). "VEGF Prevents Apoptosis of Human Microvascular Endothelial Cells via Opposing Effects on MAPK/ERK and SAPK/JNK Signaling". Experimental Cell Research. 247 (2): 495–504. doi:10.1006/excr.1998.4359. PMID 10066377.
  14. Daneman, Richard; Zhou, Lu; Kebede, Amanuel A.; Barres, Ben A. (2010). "Pericytes are required for blood–brain barrier integrity during embryogenesis". Nature. 468 (7323): 562–6. doi:10.1038/nature09513. PMC 3241506Freely accessible. PMID 20944625.
  15. Armulik, Annika; Genové, Guillem; Mäe, Maarja; Nisancioglu, Maya H.; Wallgard, Elisabet; Niaudet, Colin; He, Liqun; Norlin, Jenny; Lindblom, Per; Strittmatter, Karin; Johansson, Bengt R.; Betsholtz, Christer (2010). "Pericytes regulate the blood–brain barrier". Nature. 468 (7323): 557–61. doi:10.1038/nature09522. PMID 20944627. Lay summary Karolinska Institutet (October 14, 2010).
  16. Peppiatt, Claire M.; Howarth, Clare; Mobbs, Peter; Attwell, David (2006). "Bidirectional control of CNS capillary diameter by pericytes.". Nature. 443: 700–704. PMID 17036005.
  17. 1 2 Hall, Catherine N.; Reynell, Clare; Gesslein, Bodil; Hamilton, Nicola B.; Mishra, Anusha; Sutherland, Brad A.; O'Farrell, Fergus M.; Buchan, Alastair M.; Lauritzen, Martin; Attwell, David (2014). "Capillary pericytes regulate cerebral blood flow in health and disease.". Nature. 508 (7494): 55–60. doi:10.1038/nature13165. PMID 24670647.
  18. Hill, Robert A.; Tong, Lei; Yuan, Peng; Murikinati, Sasidhar; Gupta, Shobhana; Grutzendler, Jaime (2015-07-01). "Regional Blood Flow in the Normal and Ischemic Brain Is Controlled by Arteriolar Smooth Muscle Cell Contractility and Not by Capillary Pericytes". Neuron. 87 (1): 95–110. doi:10.1016/j.neuron.2015.06.001. ISSN 1097-4199. PMC 4487786Freely accessible. PMID 26119027.
  19. Attwell, David; Mishra, Anusha; Hall, Catherine N.; O'Farrell, Fergus M.; Dalkara, Turgay (2016). "What is a pericyte?". J Cereb Blood Flow Metab. 36: 451–455. PMID 26661200.
  20. Mishra, Anusha; Reynolds, James P.; Chen, Yang; Gourine, Alexander V.; Rusakov, Dmitri A.; Attwell, David (2016). "Astrocytes mediate neurovascular signaling to capillary pericytes but not to arterioles..". Nature Neuroscience. doi:10.1038/nn.4428. PMID 27775719.
  21. Bell, Robert D.; Winkler, Ethan A.; Sagare, Abhay P.; Singh, Itender; Larue, Barb; Deane, Rashid; Zlokovic, Berislav V. (2010). "Pericytes Control Key Neurovascular Functions and Phenotype in the Adult Brain and during Brain Aging". Neuron. 68 (3): 409–27. doi:10.1016/j.neuron.2010.09.043. PMC 3056408Freely accessible. PMID 21040844.
  22. Munde, Prashant. "Pericytes in Health and Disease". Celesta Software Pvt Ltd. Retrieved 22 November 2014.
  23. Gellman, Harris. "Solitary Fibrous Tumor". Medscape. Retrieved 2 November 2011.
  24. 1 2 Hammes, H.-P.; Lin, J.; Renner, O.; Shani, M.; Lundqvist, A.; Betsholtz, C.; Brownlee, M.; Deutsch, U. (2002). "Pericytes and the Pathogenesis of Diabetic Retinopathy". Diabetes. 51 (10): 3107–12. doi:10.2337/diabetes.51.10.3107. PMID 12351455.
  25. Ciulla, T. A.; Amador, A. G.; Zinman, B. (2003). "Diabetic Retinopathy and Diabetic Macular Edema: Pathophysiology, screening, and novel therapies". Diabetes Care. 26 (9): 2653–64. doi:10.2337/diacare.26.9.2653. PMID 12941734.
  26. Armulik, A.; Abramsson, A; Betsholtz, C (2005). "Endothelial/Pericyte Interactions". Circulation Research. 97 (6): 512–23. doi:10.1161/01.RES.0000182903.16652.d7. PMID 16166562.
  27. Carvalho, R. L. C.; Jonker, L; Goumans, MJ; Larsson, J; Bouwman, P; Karlsson, S; Dijke, PT; Arthur, HM; Mummery, CL (2004). "Defective paracrine signalling by TGF in yolk sac vasculature of endoglin mutant mice: A paradigm for hereditary haemorrhagic telangiectasia". Development. 131 (24): 6237–47. doi:10.1242/dev.01529. PMID 15548578.
  28. Hirschi, K. K.; Rohovsky, SA; d'Amore, PA (1998). "PDGF, TGF-beta , and Heterotypic Cell-Cell Interactions Mediate Endothelial Cell-induced Recruitment of 10T1/2 Cells and Their Differentiation to a Smooth Muscle Fate". The Journal of Cell Biology. 141 (3): 805–14. doi:10.1083/jcb.141.3.805. PMC 2132737Freely accessible. PMID 9566978.
  29. Thurston, G.; Suri, C; Smith, K; McClain, J; Sato, TN; Yancopoulos, GD; McDonald, DM (1999). "Leakage-Resistant Blood Vessels in Mice Transgenically Overexpressing Angiopoietin-1". Science. 286 (5449): 2511–4. doi:10.1126/science.286.5449.2511. PMID 10617467.
  30. Bjarnegard, M.; Enge, M; Norlin, J; Gustafsdottir, S; Fredriksson, S; Abramsson, A; Takemoto, M; Gustafsson, E; Fässler, R; Betsholtz, C (2004). "Endothelium-specific ablation of PDGFB leads to pericyte loss and glomerular, cardiac and placental abnormalities". Development. 131 (8): 1847–57. doi:10.1242/dev.01080. PMID 15084468.
  31. Paik, J.-H. (2004). "Sphingosine 1-phosphate receptor regulation of N-cadherin mediates vascular stabilization". Genes & Development. 18 (19): 2392–2403. doi:10.1101/gad.1227804. PMC 522989Freely accessible. PMID 15371328.
  32. Hellstrom, M.; Gerhardt, H.; Kalén, M.; Li, X.; Eriksson, U.; Wolburg, H.; Betsholtz, C. (2001). "Lack of Pericytes Leads to Endothelial Hyperplasia and Abnormal Vascular Morphogenesis". The Journal of Cell Biology. 153 (3): 543–53. doi:10.1083/jcb.153.3.543. PMC 2190573Freely accessible. PMID 11331305.
  33. Maisonpierre, P. C.; Suri, C; Jones, PF; Bartunkova, S; Wiegand, SJ; Radziejewski, C; Compton, D; McClain, J; Aldrich, TH; Papadopoulos, N; Daly, TJ; Davis, S; Sato, TN; Yancopoulos, GD (1997). "Angiopoietin-2, a Natural Antagonist for Tie2 That Disrupts in vivo Angiogenesis". Science. 277 (5322): 55–60. doi:10.1126/science.277.5322.55. PMID 9204896.
  34. Zhang, Lin; Yang, Jin-Wan; Park, Dionyssios; Katsaros, Stefano; Fracchioli, Gaoyuan; Cao, Ann; O'Brien-Jenkins, Thomas C.; Randall, Stephen C.; Rubin, George; Coukos, G (2003). "Tumor-derived vascular endothelial growth factor up-regulates angiopoietin-2 in host endothelium and destabilizes host vasculature, supporting angiogenesis in ovarian cancer". Cancer Research. 63 (12): 3403–12. PMID 12810677.
  35. Hammes, H.-P.; Lin, J.; Wagner, P.; Feng, Y.; Vom Hagen, F.; Krzizok, T.; Renner, O.; Breier, G.; Brownlee, M.; Deutsch, U. (2004). "Angiopoietin-2 Causes Pericyte Dropout in the Normal Retina: Evidence for Involvement in Diabetic Retinopathy". Diabetes. 53 (4): 1104–10. doi:10.2337/diabetes.53.4.1104. PMID 15047628.
  36. Goritz, C.; Dias, D. O.; Tomilin, N.; Barbacid, M.; Shupliakov, O.; Frisén, J. (2011). "A Pericyte Origin of Spinal Cord Scar Tissue". Science. 333 (6039): 238–42. doi:10.1126/science.1203165. PMID 21737741.
  37. Barnabé-Heider, Fanie; Göritz, Christian; Sabelström, Hanna; Takebayashi, Hirohide; Pfrieger, Frank W.; Meletis, Konstantinos; Frisén, Jonas (2010). "Origin of New Glial Cells in Intact and Injured Adult Spinal Cord". Cell Stem Cell. 7 (4): 470–82. doi:10.1016/j.stem.2010.07.014. PMID 20887953.

External links

This article is issued from Wikipedia - version of the 11/8/2016. The text is available under the Creative Commons Attribution/Share Alike but additional terms may apply for the media files.