Mucinous carcinoma

Mucinous carcinoma
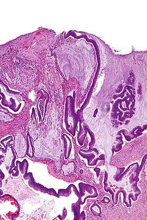
Micrograph of a mucinous adenocarcinoma of the colon. H&E stain.
Classification and external resources

Mucinous carcinoma is a type of cancer that arises from epithelial cells; these line certain internal organs and skin, and produce mucin (the main component of mucus).

When found within the skin, mucinous carcinoma is commonly a round, elevated, reddish, and sometimes ulcerated mass, usually located on the head and neck.[1]:669

See also

Notes

  1. James, William D.; Berger, Timothy G.; et al. (2006). Andrews' Diseases of the Skin: Clinical Dermatology. Saunders Elsevier. ISBN 0-7216-2921-0.

References


This article is issued from Wikipedia - version of the 5/27/2016. The text is available under the Creative Commons Attribution/Share Alike but additional terms may apply for the media files.