Meningeal carcinomatosis
| Meningeal carcinomatosis | |
|---|---|
![]() | |
| Meningeal carcinomatosis: tumor cell clusters in the subarachnoid space in a brain biopsy | |
| Classification and external resources | |
| eMedicine | neuro/188 |

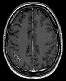
Meningeal carcinomatosis in a patient with breast cancer (contrast-enhanced axial T1-weighted MRI)
Meningeal carcinomatosis is a condition in which a solid tumor diffusely spreads to the leptomeninges. Lung tumors, breast tumors, and malignant melanoma comprise the majority of solid tumors spreading to the leptomeninges.
Causes
Although rare, Meningeal carcinomatosis can arise from cervical cancer.[1] Only 8 cases of MC arising from squamous cell carcinoma of the uterine cervix are previously reported in the literature.[1]
References
- 1 2 Bishnu Devkota, MBBS, FRCS, FACP And Harnish Patel, MD (June 2010). "Meningeal Carcinomatosis From Cervical Cancer:A Case Report and Review of the Literature". Hospital Practice. 38 (3): 117–121. doi:10.3810/hp.2010.06.304.
External links
| Wikimedia Commons has media related to Meningeal carcinomatosis. |
This article is issued from Wikipedia - version of the 5/26/2015. The text is available under the Creative Commons Attribution/Share Alike but additional terms may apply for the media files.
