Iodinated contrast

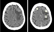
CT scan of a patient with brain metastases from breast cancer, before (left) and after (right) injection of iodinated contrast.

Iodinated contrast is a form of intravenous radiocontrast (radiographic dye) containing iodine, which enhances the visibility of vascular structures and organs during radiographic procedures. Some pathologies, such as cancer, have particularly improved visibility with iodinated contrast.

Iodinated contrast media may either be oil-based or water-soluble, the former of which is slowly absorbed by body tissue and is usually only used in sialographic and hysterosalpingographic examinations. Water-soluble iodinated medium, which is more quickly absorbed, may be used in place of barium sulfate for gastrointestinal studies that are contraindicated by the use of barium for that reason.

Iodinated medium may also be either ionic or non-ionic. The ionic type tends to create a high osmolality in blood and may cause a contrast media reaction in some individuals, which may be life-threatening for those with certain medical conditions. The non-ionic form decreases this risk, but is much more expensive. The non-ionic contrast media is much more widely used today.

Acute side effects

Shortly after infusion, iodinated contrast medium causes a warming sensation throughout the body. Sometimes this feeling is more pronounced in the pelvic area. Patients receiving contrast via IV typically experience a hot feeling around the throat, and this hot sensation gradually moves down to the pelvic area.

Contrast induced nephropathy

Iodinated contrast may be toxic to the kidneys, especially when given via the arteries prior to studies such as catheter coronary angiography. Non-ionic contrast agents, which are almost exclusively used in computed tomography studies, have not been shown to cause CIN when given intravenously at doses needed for CT studies.[1]

Thyroid dysfunction

Iodinated radiocontract can induce overactivity (hyperthyroidism) and underactivity (hypothyroidism) of the thyroid gland. The risk of either condition developing after a single examination is 2-3 times that those who have not undergone a scan with iodinated contrast. Thyroid underactivity is mediated by a phenomenon called the Wolff–Chaikoff effect, where iodine suppresses the production of thyroid hormones; this is usually temporary but there is an association with longer-term thyroid underactivity. Some other people show the opposite effect, called Jod-Basedow phenomenon, where the iodine induces overproduction of thyroid hormone; this may be the result of underlying thyroid disease (such as nodules or Graves' disease) or previous iodine deficiency. Children exposed to iodinated contrast during pregnancy may develop hypothyroidism after birth and monitoring of the thyroid function is recommended.[2]

See also

References

  1. McDonald, Robert; McDonald, Jennifer S.; Carter, Rickey E.; Hartman, Robert P.; Katzberg, Richard W.; Kallmes, David F.; Williamson, Eric E. (December 2014). "Intravenous Contrast Material Exposure Is Not an Independent Risk Factor for Dialysis or Mortality". Radiology. 273 (3): 714–725. doi:10.1148/radiol.14132418. PMID 25203000.
  2. Lee SY, Rhee CM, Leung AM, Braverman LE, Brent GA, Pearce EN (6 Nov 2014). "A Review: Radiographic Iodinated Contrast Media-Induced Thyroid Dysfunction". J Clin Endocrinol Metab. Online first: 376–83. doi:10.1210/jc.2014-3292. PMID 25375985.

Further reading

This article is issued from Wikipedia - version of the 7/26/2016. The text is available under the Creative Commons Attribution/Share Alike but additional terms may apply for the media files.