Infarction

Not to be confused with Infraction.
Infarction
Micrograph of a pulmonary infarct (right of image) beside relatively normal lung (left of image). H&E stain.
Classification and external resources
Specialty Pathology

Infarction is tissue death (necrosis) caused by a reduction / stoppage in blood flow due to artery blockages, mechanical compression, rupture, or vasoconstriction. There may be ischemia, a slowing of blood flow, or hemorrhage, a rupture of an artery causing bleeding. [1] The resulting lesion is referred to as an infarct[2][3] (from the Latin infarctus, "stuffed into").[4]

Myocardial infarction is the partial death of heart tissue commonly known as heart attack.

Causes

The supplying artery can be blocked by an obstruction (e.g., an arterial embolus, thrombus, or atherosclerotic plaque), may be mechanically compressed (e.g., tumor, volvulus, or hernia), ruptured by trauma (e.g., atherosclerosis or vasculitides), or vasoconstricted (e.g., cocaine vasoconstriction leading to myocardial infarction).

Infarction could be caused by damaged cholesterol plaque

Hypertension and atherosclerosis are risk factors for both atherosclerotic plaques and thromboembolism. In atherosclerotic formations, a plaque develops under a fibrous cap. When the fibrous cap is degraded by metalloproteinases released from macrophages or by intravascular shear force from blood flow, subendothelial thrombogenic material (extracellular matrix) is exposed to circulating platelets and thrombus formation occurs on the vessel wall occluding blood flow. Occasionally, the plaque may rupture and form an embolus which travels with the blood-flow downstream to where the vessel narrows and eventually clogs the vessel lumen.

Infarctions can also involve mechanical blockage of the blood supply, such as when part of the gut or testicles herniates or becomes involved in a volvulus.

Classification

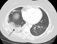
Infarction of the lung due to a pulmonary embolism

By histopathology

Infarctions are divided into 2 types according to the amount of blood present:

A blood clot could be a broken thrombosis that got clotted to the blood vessel wall.
Micrograph of testis showing hemorrhagic infarction.H&E stain.

By localization

Ultrasound of segmental testicular infarction. Infarct area shown as hypoechoic and avascular upper segment of R testis.

Associated diseases

Diseases commonly associated with infarctions include:

References

  1. "Definition of Infarction". MedicineNet. WebMD. April 27, 2011. Retrieved August 19, 2011.
  2. "infarct". TheFreeDictionary.com. Citing:
    • The American Heritage Dictionary of the English Language, Fourth Edition. Updated in 2009.
    • The American Heritage Science Dictionary 2005 by Houghton Mifflin Company.
  3. infract. CollinsDictionary.com. Collins English Dictionary – Complete & Unabridged 11th Edition. Retrieved November 22, 2012.
  4. http://www.etymonline.com/index.php?term=infarct&allowed_in_frame=0
  5. Sekido, Nobuaki; Mukaida, Naofumi; Harada, Akihisa; Nakanishi, Isao; Watanabe, Yoh; Matsushima, Kouji (1993). "Prevention of lung reperfusion injury in rabbits by a monoclonal antibody against interleukin-8". Nature. 365 (6447): 654–7. doi:10.1038/365654a0. PMID 8413628.
  6. Sands, Howard; Tuma, Ronald F (1999). "LEX 032: a novel recombinant human protein for the treatment of ischaemic reperfusion injury". Expert Opinion on Investigational Drugs. 8 (11): 1907–1916. doi:10.1517/13543784.8.11.1907. PMID 11139833.
  7. Ropper, Allan H.; Adams, Raymond Delacy; Brown, Robert F.; Victor, Maurice (2005). Adams and Victor's principles of neurology. New York: McGraw-Hill Medical Pub. Division. pp. 686–704. ISBN 0-07-141620-X.
  8. Nores, M; Phillips, EH; Morgenstern, L; Hiatt, JR (1998). "The clinical spectrum of splenic infarction". The American surgeon. 64 (2): 182–8. PMID 9486895.
  9. 1 2 Grigoriadis, E; Fam, AG; Starok, M; Ang, LC (2000). "Skeletal muscle infarction in diabetes mellitus". The Journal of rheumatology. 27 (4): 1063–8. PMID 10782838.
  10. Digiovanni, CW; Patel, A; Calfee, R; Nickisch, F (2007). "Osteonecrosis in the foot". The Journal of the American Academy of Orthopaedic Surgeons. 15 (4): 208–17. PMID 17426292.

Media related to Infarction at Wikimedia Commons The dictionary definition of infarction at Wiktionary

This article is issued from Wikipedia - version of the 10/12/2016. The text is available under the Creative Commons Attribution/Share Alike but additional terms may apply for the media files.