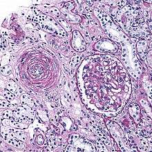
Hyperplastic arteriolosclerosis

"Onion-skin" renal arteriole
Hyperplastic arteriolosclerosis is a type of arteriolosclerosis involving a narrowed lumen.[1]
The term "onion-skin" is sometimes used to describe this form of blood vessel[2] with thickened concentric smooth muscle cell layer and thickened, duplicated basement membrane. In malignant hypertension these hyperplastic changes are often accompanied by fibrinoid necrosis of the arterial intima and media. These changes are most prominent in the kidney and can lead to ischemia and acute kidney failure.
It can be caused by malignant hypertension.[3]
References
- ↑ "hyperplastic arteriolosclerosis" at Dorland's Medical Dictionary
- ↑ "Pathology Education". Retrieved 2009-01-12.
- ↑ "Atherosclerosis". Retrieved 2009-01-12.
This article is issued from Wikipedia - version of the 1/30/2015. The text is available under the Creative Commons Attribution/Share Alike but additional terms may apply for the media files.