Granulomatous prostatitis
| Granulomatous prostatitis | |
|---|---|
![]() | |
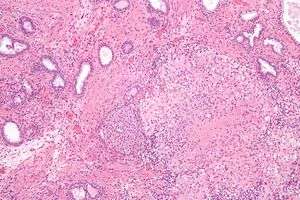
| Micrograph showing a granulomatous prostatitis due to BCG treatment for bladder cancer. H&E stain. | |
| Classification and external resources |
Granulomatous prostatitis is an uncommon disease of the prostate, an exocrine gland of the male reproductive system. It is a form of prostatitis, i.e. inflammation of the prostate, resulting from infection (bacterial, viral, or fungal), the BCG therapy, malacoplakia or systemic granulomatous diseases which involve the prostate.
Pathogenesis of granulomatous prostatitis
Prostatic secretions escape into the stroma and elicit an inflammatory response.
Histopathology of granulomatous prostatitis
Noticeable destruction of Acini, surrounded by epitheloid cells, giant cells, lymphocytes, plasma cells and dense fibrosis.
This article is issued from Wikipedia - version of the 10/16/2016. The text is available under the Creative Commons Attribution/Share Alike but additional terms may apply for the media files.
