Glioblastoma
| Glioblastoma | |
|---|---|
| Synonyms | glioblastoma multiforme, grade IV astrocytoma |
![]() | |
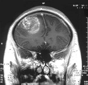
| Coronal MRI with contrast of a glioblastoma WHO grade IV in a 15-year-old male | |
| Classification and external resources | |
| Specialty | Oncology, neurosurgery |
| ICD-10 | C71 |
| ICD-9-CM | 191 |
| ICD-O | M9440/3 |
| OMIM | 137800 |
| DiseasesDB | 29448 |
| eMedicine | neuro/147 med/2692 |
| MeSH | D005909 |
Glioblastoma, also known as glioblastoma multiforme (GBM), is the most common and most aggressive cancer that begins within the brain.[1] Signs and symptoms are initially non-specific. They may include headaches, personality changes, nausea, and symptoms similar to those of a stroke.[2] Worsening of symptoms is often rapid. This can progress to unconsciousness.[3]
The cause of most cases is unclear.[3] Uncommon risk factors include genetic disorders such as neurofibromatosis and Li Fraumeni syndrome and previous radiation therapy.[3][4] Glioblastomas represent 15% of brain tumors.[2] They can either start from normal brain cells or develop from an already existing low-grade astrocytoma.[5] The diagnosis is typically made by a combination of CT scan, MRI scan, and tissue biopsy.[2]
There is no clear way to prevent the disease. Typically treatment involves surgery after which chemotherapy and radiation therapy are used.[4] The medication temozolomide is frequently used as part of chemotherapy.[4][6][7] High dose steroids may be used to help reduce swelling and decrease symptoms.[2] It is unclear whether trying to remove all or simply most of the cancer is better.[8]
Despite maximum treatment, the cancer usually recurs.[4] The most common length of survival following diagnosis is 12 to 15 months with less than 3% to 5% of people surviving longer than five years.[3][4] Without treatment survival is typically 3 months.[9] About 3 per 100,000 people develop the disease a year.[4] It most often begins around 64 years of age and occurs more commonly in males than females.[3][4] Immunotherapy is being studied in glioblastoma with promising results.[10]
Signs and symptoms
Although common symptoms of the disease include seizure, nausea and vomiting, headache, memory loss, and hemiparesis, the single most prevalent symptom is a progressive memory, personality, or neurological deficit due to temporal and frontal lobe involvement. The kind of symptoms produced depends more on the location of the tumor than on its pathological properties. The tumor can start producing symptoms quickly, but occasionally is an asymptomatic condition until it reaches an enormous size.
Risk factors
For unknown reasons, GBM occurs more commonly in males.[11] Most glioblastoma tumors appear to be sporadic, without any genetic predisposition. No links have been found between glioblastoma and smoking,[12] consumption of cured meat,[13] or electromagnetic fields.[14][15][16][17] Alcohol consumption may be a possible risk factor.[18] Glioblastoma has been associated with the viruses SV40,[19] HHV-6,[20][21] and cytomegalovirus.[22] There also appears to be a small link between ionizing radiation and glioblastoma.[23] A 2006 analysis links brain cancer to lead exposure in the work-place.[24] There is an association of brain tumor incidence and malaria, suggesting that the anopheles mosquito, the carrier of malaria, might transmit a virus or other agent that could cause glioblastoma[25] or that the immunosuppression associated with malaria could enhance viral replication. Also HHV-6 reactivates in response to hypersensitivity reactions from drugs and environmental chemicals.[26]
Other risk factors include:[27]
- Sex: male (slightly more common in men than women)
- Age: over 50 years old
- Ethnicity: Caucasians, Hispanics, and Asians[28]
- Having a low-grade astrocytoma (brain tumor), which often, given enough time, develops into a higher-grade tumor
- Having one of the following genetic disorders is associated with an increased incidence of gliomas:
Pathogenesis
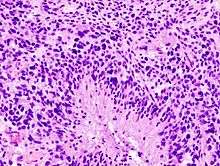
Glioblastoma multiforme tumors are characterized by the presence of small areas of necrotizing tissue that are surrounded by anaplastic cells. This characteristic, as well as the presence of hyperplastic blood vessels, differentiates the tumor from Grade 3 astrocytomas, which do not have these features.
GBMs usually form in the cerebral white matter, grow quickly, and can become very large before producing symptoms. Less than 10% form more slowly following degeneration of low-grade astrocytoma or anaplastic astrocytoma. These are called secondary GBMs and are more common in younger patients (mean age 45 versus 62 years).[29] The tumor may extend into the meninges or ventricular wall, leading to high protein content in the cerebrospinal fluid (CSF) (> 100 mg/dL), as well as an occasional pleocytosis of 10 to 100 cells, mostly lymphocytes. Malignant cells carried in the CSF may spread (rarely) to the spinal cord or cause meningeal gliomatosis. However, metastasis of GBM beyond the central nervous system is extremely unusual. About 50% of GBMs occupy more than one lobe of a hemisphere or are bilateral. Tumors of this type usually arise from the cerebrum and may rarely exhibit the classic infiltration across the corpus callosum, producing a butterfly (bilateral) glioma.
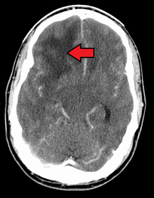
The tumor may take on a variety of appearances, depending on the amount of hemorrhage, necrosis, or its age. A CT scan will usually show an inhomogeneous mass with a hypodense center and a variable ring of enhancement surrounded by edema. Mass effect from the tumor and edema may compress the ventricles and cause hydrocephalus.
Molecular alterations
Four subtypes of glioblastoma have been identified:[30]
- Classical : Ninety-seven percent of tumors in the 'classical' subtype carry extra copies of the epidermal growth factor receptor (EGFR) gene, and most have higher than normal expression of epidermal growth factor receptor (EGFR), whereas the gene TP53, which is often mutated in glioblastoma, is rarely mutated in this subtype.[31]
- The Proneural subtype often has high rates of alterations in TP53, and in PDGFRA, the gene encoding a-type platelet-derived growth factor receptor, and in IDH1, the gene encoding isocitrate dehydrogenase-1.
- The Mesenchymal subtype is characterized by high rates of mutations or other alterations in NF1, the gene encoding Neurofibromin 1 and fewer alterations in the EGFR gene and less expression of EGFR than other types.[32]
- The Neural subtype was typified by the expression of neuron markers such as NEFL, GABRA1, SYT1 and SLC12A5.[30]
Many other genetic alterations have been described in glioblastoma, and the majority of them are clustered in three pathways, the P53, RB, and the PI3K/AKT.[33] Glioblastomas have alterations in 64-87%, 68-78% and 88% of these pathways, respectively.[1]
Another important alteration is methylation of MGMT, a "suicide" DNA repair enzyme. Methylation is described to impair DNA transcription and therefore, expression of the MGMT enzyme. Since an MGMT enzyme can only repair one DNA alkylation due to its suicide repair mechanism, reverse capacity is low and methylation of the MGMT gene promoter greatly affects DNA-repair capacity.[34][35] Indeed, MGMT methylation is associated with an improved response to treatment with DNA-damaging chemotherapeutics, such as temozolomide.[36]
Glioblastoma stem-like cells
Cancer cells with stem cell-like properties have been found in glioblastomas (this may be a cause of their resistance to conventional treatments, and high recurrence rate).[37] These so-called glioblastoma stem-like cells reside in a niche around arterioles, which protects these cells against therapy by maintaining a relatively hypoxic environment.[38] A biomarker for cells in glioblastomas that exhibit cancer stem cell properties, the transcription factor Hes3, has been shown to regulate their number when placed in culture.[39]
Metabolism
The IDH1 gene encodes for the enzyme isocitrate dehydrogenase 1 and is frequently mutated in glioblastoma (primary GBM: 5%, secondary GBM >80%).[35] By producing very high concentrations of the "oncometabolite" D-2-hydroxyglutarate and dysregulating the function of the wild-type IDH1-enzyme it induces profound changes to the metabolism of IDH1-mutated glioblastoma, compared with IDH1 wild-type glioblastoma or healthy astrocytes. Among others, it increases the glioblastoma cells' dependence on glutamine or glutamate as an energy source.[40] It has been hypothesized that IDH1-mutated glioblastoma are in a very high demand for glutamate and use this amino acid and neurotransmitter as a chemotactic signal. Since healthy astrocytes excrete glutamate, IDH1-mutated glioblastoma cells do not favor dense tumor structures but instead migrate, invade and disperse into healthy parts of the brain where glutamate concentrations are higher. This may explain the invasive behaviour of these IDH1-mutated glioblastoma.[41]
Ion channels
Furthermore, glioblastoma multiforme exhibits numerous alterations in genes that encode for ion channels, including upregulation of gBK potassium channels and ClC-3 chloride channels. It has been hypothesized that by upregulating these ion channels, glioblastoma tumor cells can facilitate increased ion movement over the cell membrane, thereby increasing H2O movement through osmosis, which aids glioblastoma cells in changing cellular volume very rapidly. This is helpful in their extremely aggressive invasive behavior, because quick adaptations in cellular volume can facilitate movement through the sinuous extracellular matrix of the brain.[42]
Diagnosis


.jpg)
When viewed with MRI, glioblastomas often appear as ring-enhancing lesions. The appearance is not specific, however, as other lesions such as abscess, metastasis, tumefactive multiple sclerosis, and other entities may have a similar appearance.[43] Definitive diagnosis of a suspected GBM on CT or MRI requires a stereotactic biopsy or a craniotomy with tumor resection and pathologic confirmation. Because the tumor grade is based upon the most malignant portion of the tumor, biopsy or subtotal tumor resection can result in undergrading of the lesion. Imaging of tumor blood flow using perfusion MRI and measuring tumor metabolite concentration with MR spectroscopy may add value to standard MRI in select cases by showing increased relative cerebral blood volume and increased choline peak respectively, but pathology remains the gold standard for diagnosis and molecular characterization.
It is important to distinguish primary glioblastoma from secondary glioblastoma. These tumors occur spontaneously (de novo) or have progressed from a lower-grade glioma, respectively.[44] Primary glioblastomas have a worse prognosis, different tumor biology and may have a different response to therapy, which makes this a critical evaluation to determine patient prognosis and therapy.[34] Over 80% of secondary glioblastoma carries a mutation in IDH1, whereas this mutation is rare in primary glioblastoma (5-10%). Thus, IDH1 mutations are a useful tool to distinguish primary and secondary glioblastomas since histopathologically they are very similar and the distinction without molecular biomarkers is unreliable.[45]
Treatment
It is very difficult to treat glioblastoma due to several complicating factors:[46]
- The tumor cells are very resistant to conventional therapies.
- The brain is susceptible to damage due to conventional therapy.
- The brain has a very limited capacity to repair itself.
- Many drugs cannot cross the blood–brain barrier to act on the tumor.
Treatment of primary brain tumors and brain metastases consists of both symptomatic and palliative therapies.
Symptomatic therapy
Supportive treatment focuses on relieving symptoms and improving the patient’s neurologic function. The primary supportive agents are anticonvulsants and corticosteroids.
- Historically, around 90% of patients with glioblastoma underwent anticonvulsant treatment, although it has been estimated that only approximately 40% of patients required this treatment. Recently, it has been recommended that neurosurgeons not administer anticonvulsants prophylactically, and should wait until a seizure occurs before prescribing this medication.[47] Those receiving phenytoin concurrent with radiation may have serious skin reactions such as erythema multiforme and Stevens–Johnson syndrome.
- Corticosteroids, usually dexamethasone given 4 to 8 mg every 4 to 6 h, can reduce peritumoral edema (through rearrangement of the blood–brain barrier), diminishing mass effect and lowering intracranial pressure, with a decrease in headache or drowsiness.
Palliative therapy
Palliative treatment usually is conducted to improve quality of life and to achieve a longer survival time. It includes surgery, radiation therapy, and chemotherapy. A maximally feasible resection with maximal tumor-free margins is usually performed along with external beam radiation and chemotherapy. Gross total resection of tumor is associated with a better prognosis.
Surgery
Surgery is the first stage of treatment of glioblastoma. An average GBM tumor contains 1011 cells, which is on average reduced to 109 cells after surgery (a reduction of 99%). Benefits of surgery include resection for a pathological diagnosis, alleviation of symptoms related to mass effect, and potentially removing disease before secondary resistance to radiotherapy and chemotherapy occurs.
The greater the extent of tumor removal, the better. Removal of 98% or more of the tumor has been associated with a significantly longer healthier time than if less than 98% of the tumor is removed in retrospective analyses.[48] The chances of near-complete initial removal of the tumor may be increased if the surgery is guided by a fluorescent dye known as 5-aminolevulinic acid.[49] GBM cells are widely infiltrative through the brain at diagnosis, and so despite a "total resection" of all obvious tumor, most people with GBM later develop recurrent tumors either near the original site or at more distant locations within the brain. Other modalities, typically radiation and chemotherapy, are used after surgery in an effort to suppress and slow recurrent disease.
Radiotherapy
Subsequent to surgery, radiotherapy becomes the mainstay of treatment for people with glioblastoma. It is typically performed along with giving temozolomide (TMZ).[6] A pivotal clinical trial carried out in the early 1970s showed that among 303 GBM patients randomized to radiation or nonradiation therapy, those who received radiation had a median survival more than double those who did not.[50] Subsequent clinical research has attempted to build on the backbone of surgery followed by radiation. On average, radiotherapy after surgery can reduce the tumor size to 107 cells. Whole-brain radiotherapy does not improve when compared to the more precise and targeted three-dimensional conformal radiotherapy.[51] A total radiation dose of 60–65 Gy has been found to be optimal for treatment.[52]
GBM tumors are well known to contain zones of tissue exhibiting hypoxia which are highly resistant to radiotherapy. Various approaches to chemotherapy radiosensitizers have been pursued with limited success as of 2016. As of 2010 newer research-approaches included preclinical and clinical investigations into the use of an oxygen diffusion-enhancing compound such as trans sodium crocetinate (TSC) as radiosensitizers,[53] and as of 2015 a clinical trial was underway.[54]
Boron neutron capture therapy has been tested as an alternative treatment for glioblastoma multiforme but is not in common use.
Chemotherapy
Most studies show no benefit from the addition of chemotherapy. However, a large clinical trial of 575 participants randomized to standard radiation versus radiation plus temozolomide chemotherapy showed that the group receiving temozolomide survived a median of 14.6 months as opposed to 12.1 months for the group receiving radiation alone.[6][55] This treatment regime is now standard for most cases of glioblastoma where the person is not enrolled in a clinical trial.[56][57] Temozolomide seems to work by sensitizing the tumor cells to radiation.[58]
High doses of temozolomide in high-grade gliomas yield low toxicity, but the results are comparable to the standard doses.[59]
Antiangiogenic therapy with medications such as bevacizumab control symptoms but do not affect overall survival.[60]
Other modalities
Alternating electric field therapy is an FDA-approved therapy for newly diagnosed[61] and recurrent glioblastoma.[62] In 2015, initial results from a phase-three randomized clinical trial of alternating electric field therapy plus temozolomide in newly diagnosed glioblastoma reported a three-month improvement in progression-free survival, and a five-month improvement in overall survival compared to temozolomide therapy alone,[63][64] representing the first large trial in a decade to show a survival improvement in this setting.[64] Despite these results, the efficacy of this approach remains controversial among medical experts.[65]
Prognosis
The median survival time from the time of diagnosis without any treatment is 3 months, but with treatment survival of 1–2 years is common. Increasing age (> 60 years of age) carries a worse prognostic risk. Death is usually due to widespread tumor infiltration with cerebral edema and increased intracranial pressure.[66]
A good initial Karnofsky Performance Score (KPS) and MGMT methylation are associated with longer survival.[66] A DNA test can be conducted on glioblastomas to determine whether or not the promoter of the MGMT gene is methylated. Patients with a methylated MGMT promoter have longer survival than those with an unmethylated MGMT promoter, due in part to increased sensitivity to temozolomide.[67] This DNA characteristic is intrinsic to the patient and currently cannot be altered externally. Another positive prognostic marker for glioblastoma patients is mutation of the IDH1 gene,[1] which can be tested by DNA-based methods or by immunohistochemistry using an antibody against the most common mutation, namely IDH1-R132H.[68]
More prognostic power can be obtained by combining the mutational status of IDH1 and the methylation status of MGMT into a two-gene predictor. Patients with both IDH1 mutations and MGMT methylation have the longest survival, patients with an IDH1 mutation or MGMT methylation an intermediate survival and patients without either genetic event have the shortest survival.[69]
Long-term benefits have also been associated with those patients who receive surgery, radiotherapy, and temozolomide chemotherapy.[66] However, much remains unknown about why some patients survive longer with glioblastoma. Age of under 50 is linked to longer survival in glioblastoma multiforme, as is 98%+ resection and use of temozolomide chemotherapy and better Karnofsky performance scores. A recent study confirms that younger age is associated with a much better prognosis, with a small fraction of patients under 40 years of age achieving a population-based cure. The population-based cure is thought to occur when a population's risk of death returns to that of the normal population, and in GBM, this is thought to occur after 10 years.[70]
UCLA Neuro-Oncology publishes real-time survival data for patients with this diagnosis.[71] They are the only institution in the United States that shows how their patients are performing. They also show a listing of chemotherapy agents used to treat GBM tumors. Despite a poor prognosis, there is a small number of survivors who have been GBM free for more than 10–20 years.
According to a 2003 study, glioblastoma multiforme prognosis can be divided into three subgroups dependent on KPS, the age of the patient, and treatment.[72]
| Recursive partitioning analysis (RPA) class | Definition | Historical Median Survival Time | Historical 1-Year Survival | Historical 3-Year Survival | Historical 5-Year Survival |
|---|---|---|---|---|---|
| III | Age < 50, KPS ≥ 90 | 17.1 months | 70% | 20% | 14% |
| IV | Age < 50, KPS < 90 | 11.2 months | 46% | 7% | 4% |
| Age >= 50, KPS ≥ 70, surgical removal with good neurologic function | |||||
| V + VI | Age ≥ 50, KPS ≥ 70, surgical removal with poor neurologic function | 7.5 months | 28% | 1% | 0% |
| Age ≥ 50, KPS ≥ 70, no surgical removal | |||||
| Age ≥ 50, KPS < 70 |
History
The term glioblastoma multiforme was introduced in 1926 by Percival Bailey and Harvey Cushing, based on the idea that the tumor originates from primitive precursors of glial cells (glioblasts), and the highly variable appearance due to the presence of necrosis, hemorrhage and cysts (multiform).[73]
Research
A 2014 investigation made a screening of various drugs for anti-glioblastoma activity and identified 22 drugs with potent anti-glioblastoma activity, including the combination of irinotecan and statins.[74]
Laboratory research using genetically engineered stem cells to target glioblastomas in mice was reported in 2014 to show promise.[75]
MicroRNA
RNA interference, usually microRNA, is being studied in tissue culture, pathology specimens and in preclinical animal studies.[76] MicroRNA-screening of plasma is used to determine the prognosis of glioblastoma.[77][78]
Immunotherapy
Relapse of glioblastoma is attributed to the recurrence and persistence of tumor stem cells.[79] In a small trial, a tumor B-cell hybridoma vaccine against tumor stem cells elicited a specific tumor immune reaction thus enhancing immune response to the disease.[80] Larger trials, including tests of different EGFR signaling patterns and their relationship to tumor stem cells are being conducted. The test of rindopepimut failed in a phase III trial in 2016.[81] Other immunotherapeutic and vaccine-type approaches are at different stages of development, but conclusive results are not yet available.[82][83]
Gene therapy
Gene therapy is a promising approach for fighting cancers including brain cancer.[84] Unlike current conventional cancer treatments such as chemotherapy and radiation therapy, gene transfer has the potential to selectively kill cancer cells while leaving healthy cells unharmed. Over the past two decades significant advances have been made in gene transfer technology and the field has matured to the point of clinical and commercial feasibility. Advances include vector (gene delivery vehicle) construction, vector producer cell efficiency and scale-up processes, preclinical models for target diseases and regulatory guidance regarding clinical trial design including endpoint definitions and measurements.
In one such approach, researchers at UCLA in 2005 reported a long-term survival benefit in an experimental brain tumor animal model.[85] Subsequently, in preparation for human clinical trials, this technology was further developed by Tocagen, and Toca 511 is since 2010 under clinical investigation in a Phase I trial for the potential treatment of recurrent high grade glioma including glioblastoma multiforme (GBM) and anaplastic astrocytoma.[86] Study due to complete July 2016.[86] As of January 2016 Six different trials of Toca 511 are registered.[87]
Intranasal drug delivery
Direct nose-to-brain drug delivery is being explored as a means to achieve higher, and hopefully more effective, drug concentrations in the brain.[88][89] A clinical phase I/II study with glioblastoma patients in Brazil investigated the natural compound perillyl alcohol for intranasal delivery as an aerosol. The results were encouraging[90][91][92] and as of 2016 a similar trial has been initiated in the United States.[93]
References
- 1 2 3 Bleeker, Fonnet E.; Molenaar, Remco J.; Leenstra, Sieger (2012). "Recent advances in the molecular understanding of glioblastoma". Journal of Neuro-Oncology. 108 (1): 11–27. doi:10.1007/s11060-011-0793-0. PMC 3337398
. PMID 22270850. - 1 2 3 4 Young, RM; Jamshidi, A; Davis, G; Sherman, JH (June 2015). "Current trends in the surgical management and treatment of adult glioblastoma.". Annals of Translational Medicine. 3 (9): 121. doi:10.3978/j.issn.2305-5839.2015.05.10. PMC 4481356
. PMID 26207249. - 1 2 3 4 5 World Cancer Report 2014. World Health Organization. 2014. pp. Chapter 5.16. ISBN 9283204298.
- 1 2 3 4 5 6 7 Gallego, O (August 2015). "Nonsurgical treatment of recurrent glioblastoma.". Current oncology (Toronto, Ont.). 22 (4): e273–81. doi:10.3747/co.22.2436. PMC 4530825
. PMID 26300678. - ↑ World Cancer Report 2014. World Health Organization. 2014. pp. Chapter 3.8. ISBN 9283204298.
- 1 2 3 Khosla, D (February 2016). "Concurrent therapy to enhance radiotherapeutic outcomes in glioblastoma.". Annals of translational medicine. 4 (3): 54. doi:10.3978/j.issn.2305-5839.2016.01.25. PMC 4740000
. PMID 26904576. - ↑ Hart, MG; Garside, R; Rogers, G; Stein, K; Grant, R (30 April 2013). "Temozolomide for high grade glioma.". The Cochrane database of systematic reviews. 4: CD007415. doi:10.1002/14651858.CD007415.pub2. PMID 23633341.
- ↑ Van Meir, E. G.; Hadjipanayis, C. G.; Norden, A. D.; Shu, H. K.; Wen, P. Y.; Olson, J. J. (2010). "Exciting New Advances in Neuro-Oncology: The Avenue to a Cure for Malignant Glioma". CA: A Cancer Journal for Clinicians. 60 (3): 166–93. doi:10.3322/caac.20069. PMC 2888474
. PMID 20445000. - ↑ Schapira, Anthony H.V. (2007). Neurology and clinical neuroscience. Philadelphia: Mosby Elsevier. p. 1336. ISBN 9780323070539.
- ↑ "With Immunotherapy, Glimmers of Progress against Glioblastoma". National Cancer Institute. 9 December 2015. Retrieved 23 December 2015.
- ↑ Ohgaki, Hiroko; Kleihues, Paul (2005). "Population-Based Studies on Incidence, Survival Rates, and Genetic Alterations in Astrocytic and Oligodendroglial Gliomas". Journal of Neuropathology & Experimental Neurology. 64 (6): 479–89. PMID 15977639.
- ↑ Zheng, Tongzhang; Cantor, Kenneth P.; Zhang, Yawei; Chiu, Brian C. H.; Lynch, Charles F. (2001). "Risk of Brain Glioma not Associated with Cigarette Smoking or Use of Other Tobacco Products in Iowa". Cancer Epidemiology, Biomarkers & Prevention. 10 (4): 413–4. PMID 11319186.
- ↑ Wheeler, Lamar; Huncharek, Michael; Kupelnick, Bruce (2003). "Dietary Cured Meat and the Risk of Adult Glioma: A Meta-Analysis of Nine Observational Studies". Journal of Environmental Pathology, Toxicology and Oncology. 22 (2): 129–37. doi:10.1615/JEnvPathToxOncol.v22.i2.60. PMID 14533876.
- ↑ Savitz, David A.; Checkoway, Harvey; Loomis, Dana P. (1998). "Magnetic Field Exposure and Neurodegenerative Disease Mortality among Electric Utility Workers". Epidemiology. 9 (4): 398–404. doi:10.1097/00001648-199807000-00009. PMID 9647903.
- ↑ Inskip, Peter D.; Tarone, Robert E.; Hatch, Elizabeth E.; Wilcosky, Timothy C.; Shapiro, William R.; Selker, Robert G.; Fine, Howard A.; Black, Peter M.; et al. (2001). "Cellular-Telephone Use and Brain Tumors". New England Journal of Medicine. 344 (2): 79–86. doi:10.1056/NEJM200101113440201. PMID 11150357.
- ↑ Kan, Peter; Simonsen, Sara E.; Lyon, Joseph L.; Kestle, John R. W. (2007). "Cellular phone use and brain tumor: A meta-analysis". Journal of Neuro-Oncology. 86 (1): 71–8. doi:10.1007/s11060-007-9432-1. PMID 17619826.
- ↑ Hardell, Lennart; Carlberg, Michael; Hansson Mild, Kjell (2009). "Epidemiological evidence for an association between use of wireless phones and tumor diseases". Pathophysiology. 16 (2–3): 113–22. doi:10.1016/j.pathophys.2009.01.003. PMID 19268551.
- ↑ Baglietto, Laura; Giles, Graham G.; English, Dallas R.; Karahalios, Amalia; Hopper, John L.; Severi, Gianluca (2011). "Alcohol consumption and risk of glioblastoma; evidence from the Melbourne collaborative cohort study". International Journal of Cancer. 128 (8): 1929–1934. doi:10.1002/ijc.25770. PMID 21344375.
- ↑ Vilchez, Regis A; Kozinetz, Claudia A; Arrington, Amy S; Madden, Charles R; Butel, Janet S (2003). "Simian virus 40 in human cancers". The American Journal of Medicine. 114 (8): 675–84. doi:10.1016/S0002-9343(03)00087-1. PMID 12798456.
- ↑ Crawford, JR; Santi, MR; Thorarinsdottir, HK; Cornelison, R; Rushing, EJ; Zhang, H; Yao, K; Jacobson, S; MacDonald, TJ (2009). "Detection of human herpesvirus-6 variants in pediatric brain tumors: Association of viral antigen in low grade gliomas". Journal of Clinical Virology. 46 (1): 37–42. doi:10.1016/j.jcv.2009.05.011. PMC 2749001
. PMID 19505845. - ↑ Chi, J.; Gu, B.; Zhang, C.; Peng, G.; Zhou, F.; Chen, Y.; Zhang, G.; Guo, Y.; et al. (2012). "Human Herpesvirus 6 Latent Infection in Patients with Glioma". Journal of Infectious Diseases. 206 (9): 1394–8. doi:10.1093/infdis/jis513. PMID 22962688.
- ↑ "Target acquired", The Economist, May 29th, 2008
- ↑ Cavenee, WK (2000). "High-grade gliomas with chromosome 1p loss". Journal of Neurosurgery. 92 (6): 1080–1. doi:10.3171/jns.2000.92.6.1080. PMID 10839286.
- ↑ Van Wijngaarden, Edwin; Dosemeci, Mustafa (2006). "Brain cancer mortality and potential occupational exposure to lead: Findings from the National Longitudinal Mortality Study, 1979–1989". International Journal of Cancer. 119 (5): 1136–44. doi:10.1002/ijc.21947. PMID 16570286.
- ↑ Lehrer, Steven (2010). "Anopheles mosquito transmission of brain tumor". Medical Hypotheses. 74 (1): 167–8. doi:10.1016/j.mehy.2009.07.005. PMID 19656635.
- ↑ Pritchett, Joshua C.; Nanau, Radu M.; Neuman, Manuela G. (2012). "The Link between Hypersensitivity Syndrome Reaction Development and Human Herpes Virus-6 Reactivation". International Journal of Hepatology. 2012: 1–19. doi:10.1155/2012/723062. PMC 3362035
. PMID 22666603. - ↑ Glioblastoma multiforme at Mount Sinai
- ↑
- ↑ Ohgaki, Hiroko; Kleihues, Paul (2009). "Genetic alterations and signaling pathways in the evolution of gliomas". Cancer Science. 100 (12): 2235–41. doi:10.1111/j.1349-7006.2009.01308.x. PMID 19737147.
- 1 2 Verhaak, Roel G. W.; Hoadley, Katherine A.; Purdom, Elizabeth; Wang, Victoria; Qi, Yuan; Wilkerson, Matthew D.; Miller, C. Ryan; Ding, Li; et al. (January 2010). "Integrated Genomic Analysis Identifies Clinically Relevant Subtypes of Glioblastoma Characterized by Abnormalities in PDGFRA, IDH1, EGFR, and NF1". Cancer Cell. 17 (1): 98–110. doi:10.1016/j.ccr.2009.12.020. PMC 2818769
. PMID 20129251. - ↑ Hayden, Erika Check (2010). "Genomics boosts brain-cancer work". Nature. 463 (7279): 278. doi:10.1038/463278a. PMID 20090720.
- ↑ Kuehn, Bridget M. (2010). "Genomics Illuminates a Deadly Brain Cancer". JAMA. 303 (10): 925–7. doi:10.1001/jama.2010.236. PMID 20215599.
- ↑ Bleeker, FE; Lamba, S; Zanon, C; Molenaar, RJ; Hulsebos, TJ; Troost, D; van Tilborg, AA; Vandertop, WP; Leenstra, S; van Noorden, CJ; Bardelli, A (26 September 2014). "Mutational profiling of kinases in glioblastoma.". BMC Cancer. 14 (1): 718. doi:10.1186/1471-2407-14-718. PMID 25256166.
- 1 2 Molenaar, RJ; Verbaan, D; Lamba, S; Zanon, C; Jeuken, JW; Boots-Sprenger, SH; Wesseling, P; Hulsebos, TJ; Troost, D; van Tilborg, AA; Leenstra, S; Vandertop, WP; Bardelli, A; van Noorden, CJ; Bleeker, FE (September 2014). "The combination of IDH1 mutations and MGMT methylation status predicts survival in glioblastoma better than either IDH1 or MGMT alone.". Neuro-oncology. 16 (9): 1263–73. doi:10.1093/neuonc/nou005. PMC 4136888
. PMID 24510240. - 1 2 Molenaar, RJ; Radivoyevitch, T; Maciejewski, JP; van Noorden, CJ; Bleeker, FE (28 May 2014). "The driver and passenger effects of isocitrate dehydrogenase 1 and 2 mutations in oncogenesis and survival prolongation.". Biochimica et Biophysica Acta. 1846 (2): 326–341. doi:10.1016/j.bbcan.2014.05.004. PMID 24880135.
- ↑ Hegi, Monika E.; Diserens, Annie-Claire; Gorlia, Thierry; Hamou, Marie-France; De Tribolet, Nicolas; Weller, Michael; Kros, Johan M.; Hainfellner, Johannes A.; et al. (2005). "MGMT Gene Silencing and Benefit from Temozolomide in Glioblastoma". New England Journal of Medicine. 352 (10): 997–1003. doi:10.1056/NEJMoa043331. PMID 15758010.
- ↑ Murat, A.; Migliavacca, E.; Gorlia, T.; Lambiv, W. L.; Shay, T.; Hamou, M.-F.; De Tribolet, N.; Regli, L.; et al. (2008). "Stem Cell-Related 'Self-Renewal' Signature and High Epidermal Growth Factor Receptor Expression Associated with Resistance to Concomitant Chemoradiotherapy in Glioblastoma". Journal of Clinical Oncology. 26 (18): 3015–24. doi:10.1200/JCO.2007.15.7164. PMID 18565887.
- ↑ Hira, Vashendriya V. V.; Ploegmakers, Kimberley J.; Grevers, Frederieke; Verbovšek, Urška; Silvestre-Roig, Carlos; Aronica, Eleonora; Tigchelaar, Wikky; Turnšek, Tamara Lah; Molenaar, Remco J. (2015-07-01). "CD133+ and Nestin+ Glioma Stem-Like Cells Reside Around CD31+ Arterioles in Niches that Express SDF-1α, CXCR4, Osteopontin and Cathepsin K". Journal of Histochemistry & Cytochemistry. 63 (7): 481–493. doi:10.1369/0022155415581689. ISSN 0022-1554. PMID 25809793.
- ↑ Park, Deric M.; Jung, Jinkyu; Masjkur, Jimmy; Makrogkikas, Stylianos; Ebermann, Doreen; Saha, Sarama; Rogliano, Roberta; Paolillo, Nicoletta; Pacioni, Simone; McKay, Ron D.; Poser, Steve; Androutsellis-Theotokis, Andreas (2013). "Hes3 regulates cell number in cultures from glioblastoma multiforme with stem cell characteristics". Scientific Reports. 3: 1095. Bibcode:2013NatSR...3E1095P. doi:10.1038/srep01095. PMC 3566603
. PMID 23393614. - ↑ van Lith, SA; Navis, AC; Verrijp, K; Niclou, SP; Bjerkvig, R; Wesseling, P; Tops, B; Molenaar, R; van Noorden, CJ; Leenders, WP (August 2014). "Glutamate as chemotactic fuel for diffuse glioma cells: are they glutamate suckers?". Biochimica et Biophysica Acta. 1846 (1): 66–74. doi:10.1016/j.bbcan.2014.04.004. PMID 24747768.
- ↑ van Lith, SA; Molenaar, R; van Noorden, CJ; Leenders, WP (December 2014). "Tumor cells in search for glutamate: an alternative explanation for increased invasiveness of IDH1 mutant gliomas.". Neuro-oncology. 16 (12): 1669–70. doi:10.1093/neuonc/nou152. PMID 25074540.
- ↑ Molenaar, Remco J. (2011). "Ion Channels in Glioblastoma". ISRN Neurology. 2011: 1–7. doi:10.5402/2011/590249. PMC 3263536
. PMID 22389824. - ↑ Smirniotopoulos, J. G.; Murphy, F. M.; Rushing, E. J.; Rees, J. H.; Schroeder, J. W. (2007). "From the Archives of the AFIP: Patterns of Contrast Enhancement in the Brain and Meninges". Radiographics. 27 (2): 525–51. doi:10.1148/rg.272065155. PMID 17374867.
- ↑ Bleeker, FE; Molenaar, RJ; Leenstra, S (May 2012). "Recent advances in the molecular understanding of glioblastoma.". Journal of Neuro-Oncology. 108 (1): 11–27. doi:10.1007/s11060-011-0793-0. PMC 3337398
. PMID 22270850. - ↑ "The driver and passenger effects of isocitrate dehydrogenase 1 and 2 mutations in oncogenesis and survival prolongation.". Biochim Biophys Acta. 1846 (2): 326–41. Dec 2014. doi:10.1016/j.bbcan.2014.05.004. PMID 24880135.
- ↑ Lawson, H. Christopher; Sampath, Prakash; Bohan, Eileen; Park, Michael C.; Hussain, Namath; Olivi, Alessandro; Weingart, Jon; Kleinberg, Lawrence; Brem, Henry (2006). "Interstitial chemotherapy for malignant gliomas: The Johns Hopkins experience". Journal of Neuro-Oncology. 83 (1): 61–70. doi:10.1007/s11060-006-9303-1. PMID 17171441.
- ↑ Stevens, Glen H. J. (2006). "Antiepileptic therapy in patients with central nervous system malignancies". Current Neurology and Neuroscience Reports. 6 (4): 311–8. doi:10.1007/s11910-006-0024-9. PMID 16822352.
- ↑ Lacroix, Michel; Abi-Said, Dima; Fourney, Daryl R.; Gokaslan, Ziya L.; Shi, Weiming; Demonte, Franco; Lang, Frederick F.; McCutcheon, Ian E.; et al. (2001). "A multivariate analysis of 416 patients with glioblastoma multiforme: Prognosis, extent of resection, and survival". Journal of Neurosurgery. 95 (2): 190–8. doi:10.3171/jns.2001.95.2.0190. PMID 11780887.
- ↑ Stummer, Walter; Pichlmeier, Uwe; Meinel, Thomas; Wiestler, Otmar Dieter; Zanella, Friedhelm; Reulen, Hans-Jürgen; Ala-Glioma Study, Group (2006). "Fluorescence-guided surgery with 5-aminolevulinic acid for resection of malignant glioma: A randomised controlled multicentre phase III trial". The Lancet Oncology. 7 (5): 392–401. doi:10.1016/S1470-2045(06)70665-9. PMID 16648043.
- ↑ Walker, Michael D.; Alexander, Eben; Hunt, William E.; MacCarty, Collin S.; Mahaley, M. Stephen; Mealey, John; Norrell, Horace A.; Owens, Guy; et al. (1978). "Evaluation of BCNU and/or radiotherapy in the treatment of anaplastic gliomas". Journal of Neurosurgery. 49 (3): 333–43. doi:10.3171/jns.1978.49.3.0333. PMID 355604.
- ↑ Showalter, Timothy N.; Andrel, Jocelyn; Andrews, David W.; Curran, Walter J.; Daskalakis, Constantine; Werner-Wasik, Maria (2007). "Multifocal Glioblastoma Multiforme: Prognostic Factors and Patterns of Progression". International Journal of Radiation Oncology*Biology*Physics. 69 (3): 820–4. doi:10.1016/j.ijrobp.2007.03.045. PMID 17499453.
- ↑ Fulton, DS; Urtasun, RC; Scott-Brown, I; Johnson, ES; Mielke, B; Curry, B; Huyser-Wierenga, D; Hanson, J; Feldstein, M (1992). "Increasing radiation dose intensity using hyperfractionation in patients with malignant glioma. Final report of a prospective phase I-II dose response study". Journal of Neuro-Oncology. 14 (1): 63–72. doi:10.1007/BF00170946. PMID 1335044.
- ↑ Sheehan, Jason P; Shaffrey, Mark E; Gupta, Brinda; Larner, James; Rich, Jeremy N; Park, Deric M (2010). "Improving the radiosensitivity of radioresistant and hypoxic glioblastoma". Future Oncology. 6 (10): 1591–601. doi:10.2217/fon.10.123. PMID 21062158.
- ↑ Clinical trial number NCT01465347 for "Safety and Efficacy Study of Trans Sodium Crocetinate (TSC) With Concomitant Radiation Therapy and Temozolomide in Newly Diagnosed Glioblastoma (GBM)" at ClinicalTrials.gov , accessed 2016-02-01
- ↑ Stupp, Roger; Mason, Warren P.; Van Den Bent, Martin J.; Weller, Michael; Fisher, Barbara; Taphoorn, Martin J.B.; Belanger, Karl; Brandes, Alba A.; et al. (2005). "Radiotherapy plus Concomitant and Adjuvant Temozolomide for Glioblastoma". New England Journal of Medicine. 352 (10): 987–96. doi:10.1056/NEJMoa043330. PMID 15758009.
- ↑ Mason, Warren P.; Mirimanoff, René O.; Stupp, Roger (2006). "Radiotherapy with Concurrent and Adjuvant Temozolomide: A New Standard of Care for Glioblastoma Multiforme". Progress in Neurotherapeutics and Neuropsychopharmacology. 1 (1): 37–52. doi:10.1017/S1748232105000054. ISBN 978-0-521-86253-0.
- ↑ "Temozolomide Plus Radiation Helps Brain Cancer – National Cancer Institute". Archived from the original on August 15, 2007. Retrieved 2007-09-15.
- ↑ Chamberlain, Marc C.; Glantz, Michael J.; Chalmers, Lisa; Horn, Alixis; Sloan, Andrew E. (2006). "Early necrosis following concurrent Temodar and radiotherapy in patients with glioblastoma". Journal of Neuro-Oncology. 82 (1): 81–3. doi:10.1007/s11060-006-9241-y. PMID 16944309.
- ↑ Dall’Oglio, Stefano; d’Amico, Anna; Pioli, Fabio; Gabbani, Milena; Pasini, Felice; Passarin, Maria Grazia; Talacchi, Andrea; Turazzi, Sergio; Maluta, Sergio (2008). "Dose-intensity temozolomide after concurrent chemoradiotherapy in operated high-grade gliomas". Journal of Neuro-Oncology. 90 (3): 315–9. doi:10.1007/s11060-008-9663-9. PMID 18688571.
- ↑ Khasraw, M; Ameratunga, MS; Grant, R; Wheeler, H; Pavlakis, N (Sep 22, 2014). "Antiangiogenic therapy for high-grade glioma.". The Cochrane database of systematic reviews. 9: CD008218. doi:10.1002/14651858.CD008218.pub3. PMID 25242542.
- ↑ "FDA approves expanded indication for medical device to treat a form of brain cancer". Retrieved 19 March 2016.
- ↑ "FDA approval letter - NovoTTF-100A System" (PDF). www.fda.gov. Retrieved 26 December 2014.
- ↑ Stupp, R; et al. (15 December 2015). "Maintenance Therapy With Tumor-Treating Fields Plus Temozolomide vs Temozolomide Alone for Glioblastoma". JAMA. 314 (23): 2535–43. doi:10.1001/jama.2015.16669. PMID 26670971.
- 1 2 Sampson, John H. (15 December 2015). "Alternating Electric Fields for the Treatment of Glioblastoma". JAMA. 314 (23): 2511. doi:10.1001/jama.2015.16701.
- ↑ Wick, Wolfgang (25 February 2016). "TTFields: where does all the skepticism come from?". Neuro-Oncology. 18 (3): 303–305. doi:10.1093/neuonc/now012.
- 1 2 3 Krex, D.; Klink, B.; Hartmann, C.; Von Deimling, A.; Pietsch, T.; Simon, M.; Sabel, M.; Steinbach, J. P.; et al. (2007). "Long-term survival with glioblastoma multiforme". Brain. 130 (10): 2596–606. doi:10.1093/brain/awm204. PMID 17785346.
- ↑ Martinez, Ramon; Schackert, Gabriele; Yaya-Tur, Ricard; Rojas-Marcos, Iñigo; Herman, James G.; Esteller, Manel (2006). "Frequent hypermethylation of the DNA repair gene MGMT in long-term survivors of glioblastoma multiforme". Journal of Neuro-Oncology. 83 (1): 91–3. doi:10.1007/s11060-006-9292-0. PMID 17164975.
- ↑ M. Preusser, A. Wöhrer, S. Stary, R. Höftberger, B. Streubel, J. A. Hainfellner (Aug 2011). "Value and limitations of immunohistochemistry and gene sequencing for detection of the IDH1-R132H mutation in diffuse glioma biopsy specimens.". J Neuropathol Exp Neurol. 70 (8): 715–723. doi:10.1097/NEN.0b013e31822713f0.
- ↑ Molenaar, Remco J. (2014). "The combination of IDH1 mutations and MGMT methylation status predicts survival in glioblastoma better than either IDH1 or MGMT alone". Neuro-Oncology. 16 (9): 1263–1273. doi:10.1093/neuonc/nou005. PMC 4136888
. PMID 24510240. - ↑ Smoll, Nicolas R.; Schaller, Karl; Gautschi, Oliver P. (2012). "The Cure Fraction of Glioblastoma Multiforme". Neuroepidemiology. 39 (1): 63–9. doi:10.1159/000339319. PMID 22776797.
- ↑ University of California, Los Angeles Neuro-Oncology : How Our Patients Perform : Glioblastoma Multiforme [GBM]. Neurooncology.ucla.edu. Retrieved on 2010-10-19.
- ↑ Shaw, E.G; Seiferheld, W; Scott, C; Coughlin, C; Leibel, S; Curran, W; Mehta, M (2003). "Reexamining the radiation therapy oncology group (RTOG) recursive partitioning analysis (RPA) for glioblastoma multiforme (GBM) patients". International Journal of Radiation Oncology*Biology*Physics. 57 (2): S135–6. doi:10.1016/S0360-3016(03)00843-5.
- ↑ Bailey & Cushing: Tumors of the Glioma Group JB Lippincott, Philadelphia, 1926.
- ↑ Jiang PF (Jan 2014). "Novel anti-glioblastoma agents and therapeutic combinations identified from a collection of FDA approved drugs.". J Transl Med. 12 (1): 13. doi:10.1186/1479-5876-12-13. PMC 3898565
. PMID 24433351. - ↑ Stuckey, Daniel; Hingtgen, Shawn; Karaka, Nihal; Rich, Benjamin; Shah, Khalid (2014). "Engineering toxin-resistant therapeutic stem cells to treat brain tumors". Stem Cells. AlphaMed Express. 33: 589–600. doi:10.1002/stem.1874. PMID 25346520.
- ↑ Møller, Heidi G.; Rasmussen, Andreas P.; Andersen, Hjalte H.; Johnsen, Kasper B.; Henriksen, Michael; Duroux, Meg (2012). "A Systematic Review of MicroRNA in Glioblastoma Multiforme: Micro-modulators in the Mesenchymal Mode of Migration and Invasion". Molecular Neurobiology. 47 (1): 131–44. doi:10.1007/s12035-012-8349-7. PMC 3538124
. PMID 23054677. - ↑ Henriksen, Michael; Johnsen, Kasper Bendix; Andersen, Hjalte Holm M; Pilgaard, Linda; Duroux, Meg (2014). "MicroRNA Expression Signatures Determine Prognosis and Survival in Glioblastoma Multiforme—a Systematic Overview". Molecular Neurobiology. 50: 896–913. doi:10.1007/s12035-014-8668-y. PMID 24619503.
- ↑ Niyazi, Maximilian; Zehentmayr, Franz; Niemöller, Olivier M; Eigenbrod, Sabina; Kretzschmar, Hans; Osthoff, Klaus-Schulze; Tonn, Jörg-Christian; Atkinson, Mike; Mörtl, Simone; Belka, Claus (2011). "MiRNA expression patterns predict survival in glioblastoma". Radiation Oncology. 6 (1): 153. doi:10.1186/1748-717X-6-153. PMC 3235977
. PMID 22074483. - ↑ Ghebeh, H; Bakr, MM; Dermime, S (2008). "Cancer stem cell immunotherapy: The right bullet for the right target". Hematology/oncology and stem cell therapy. 1 (1): 1–2. doi:10.1016/s1658-3876(08)50053-7. PMID 20063521.
- ↑ Moviglia, GA; Carrizo, AG; Varela, G; Gaeta, CA; Paes De Lima, A; Farina, P; Molina, H (2008). "Preliminary report on tumor stem cell/B cell hybridoma vaccine for recurrent glioblastoma multiforme". Hematology/oncology and stem cell therapy. 1 (1): 3–13. doi:10.1016/s1658-3876(08)50054-9. PMID 20063522.
- ↑ Celldex Brain Tumor Vaccine Fails Pivotal Clinical Trial. March 2016
- ↑ Yang L, Guo G, Niu XY, Liu J (2015). "Dendritic Cell-Based Immunotherapy Treatment for Glioblastoma Multiforme.". Biomed. Res. Int. 2015: 717530. doi:10.1155/2015/717530. PMC 4488155
. PMID 26167495. - ↑ Hofman FM, Stathopoulos A, Kruse CA, Chen TC, Schijns VE (2013). "Immunotherapy of malignant gliomas using autologous and allogeneic tissue cells". Anticancer Agents in Medicinal Chemistry. 10 (6): 462–70. PMC 3999913
. PMID 20879986. - ↑ Fulci, Giulia; Chiocca, E Antonio (2007). "The status of gene therapy for brain tumors". Expert Opinion on Biological Therapy. 7 (2): 197–208. doi:10.1517/14712598.7.2.197. PMC 2819130
. PMID 17250458. - ↑ Tai, C; Wang, W; Chen, T; Kasahara, N (2005). "Single-Shot, Multicycle Suicide Gene Therapy by Replication-Competent Retrovirus Vectors Long-Term Survival Benefit in Experimental Glioma". Molecular Therapy. 12 (5): 842–51. doi:10.1016/j.ymthe.2005.03.017. PMID 16257382.
- 1 2 Clinical trial number NCT01156584 for "A Study of a Retroviral Replicating Vector Administered to Subjects With Recurrent Malignant Glioma" at ClinicalTrials.gov
- ↑ Toca 511 trials
- ↑ Matthias van Woensel; Nathalie Wauthoz; Rémi Rosière; Karim Amighi; Véronique Mathieu; Florence Lefranc; Stefaan W. van Gool; Steven de Vleeschouwer (2013). "Formulations for Intranasal Delivery of Pharmacological Agents to Combat Brain Disease: A New Opportunity to Tackle GBM?". Cancers (Basel). 5 (3): 1020–48. doi:10.3390/cancers5031020. PMC 3795377
. PMID 24202332. - ↑ Pardeshi CV, Belgamwar VS (2013). "Direct nose to brain drug delivery via integrated nerve pathways bypassing the blood-brain barrier: an excellent platform for brain targeting". Expert Opinion in Drug Delivery. 10 (7): 957–72. doi:10.1517/17425247.2013.790887. PMID 23586809.
- ↑ Matthias van Woensel; Nathalie Wauthoz; Rémi Rosière; Karim Amighi; Véronique Mathieu; Florence Lefranc; Stefaan W. van Gool; Steven de Vleeschouwer (2013). "Formulations for Intranasal Delivery of Pharmacological Agents to Combat Brain Disease: A New Opportunity to Tackle GBM?". Cancers (Basel). 5 (3): 1020–48. doi:10.3390/cancers5031020. PMC 3795377
. PMID 24202332. - ↑ Peterson A, Bansal A, Hofman F, Chen TC, Zada G (2014). "A systematic review of inhaled intranasal therapy for central nervous system neoplasms: an emerging therapeutic option". Journal of Neurooncology. 116 (3): 437–46. doi:10.1007/s11060-013-1346-5. PMID 24398618.
- ↑ Chen TC, Da Fonseca CO, Schönthal AH (2015). "Preclinical development and clinical use of perillyl alcohol for chemoprevention and cancer therapy". American Journal of Cancer Research. 5 (5): 1580–93. PMID 26175929.
- ↑ https://clinicaltrials.gov/ct2/show/NCT02704858
External links
| Wikimedia Commons has media related to Glioblastoma multiforme. |
- Information about Glioblastoma Multiforme (GBM) from the American Brain Tumor Association
- AFIP Course Syllabus - Astrocytoma WHO Grading Lecture Handout
- Image Database – MR & CT of Glioblastoma
