Diffuse alveolar damage

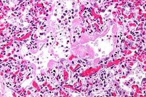
Micrograph showing hyaline membranes, the key histologic feature of diffuse alveolar damage. H&E stain.
Diffuse alveolar damage is a histological pattern in lung disease. It is seen in acute respiratory distress syndrome (ARDS),[1] transfusion related acute lung injury (TRALI) and acute interstitial pneumonia (AIP).
Prevalence
It is a common biopsy finding.[2] Through histology, diffuse alveolar damage goes through several stages:
- Exudative phase - similar to pulmonary edema. The alveoli become flooded with exudate
- Hyaline membrane production. Hyaline membranes are fibrous structures laid down in order to stop oxygen being absorbed via the damaged alveoli.
- Organising phase
Etiology
Diffuse alveolar damage is associated primarily with ARDS and TRALI in adults, and hyaline membrane disease in neonates. It is most commonly associated with infection.[3]
References
- ↑ Cotran, Ramzi S.; Kumar, Vinay; Fausto, Nelson; Nelso Fausto; Robbins, Stanley L.; Abbas, Abul K. (2005). Robbins and Cotran pathologic basis of disease. St. Louis, Mo: Elsevier Saunders. p. 715. ISBN 0-7216-0187-1.
- ↑ Parambil JG, Myers JL, Ryu JH (August 2006). "Diffuse alveolar damage: uncommon manifestation of pulmonary involvement in patients with connective tissue diseases". Chest. 130 (2): 553–8. doi:10.1378/chest.130.2.553. PMID 16899858.
- ↑ Parambil JG, Myers JL, Aubry MC, Ryu JH (July 2007). "Causes and prognosis of diffuse alveolar damage diagnosed on surgical lung biopsy". Chest. 132 (1): 50–7. doi:10.1378/chest.07-0104. PMID 17475632.
External links
- Gross pathology of DAD - utah.edu.
- Microscopic pathology of DAD - utah.edu.
This article is issued from Wikipedia - version of the 11/18/2016. The text is available under the Creative Commons Attribution/Share Alike but additional terms may apply for the media files.