Developmental venous anomaly

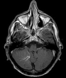
Developmental venous anomaly in the cerebellum seen on axial contrast-enhanced T1 weighted MRI.
A developmental venous anomaly (DVA, formerly known as venous angioma) is a congenital variant of the cerebral venous drainage. On imaging it is seen as a number of small deep parenchymal veins converging toward a larger collecting vein.
This article is issued from Wikipedia - version of the 8/25/2016. The text is available under the Creative Commons Attribution/Share Alike but additional terms may apply for the media files.