Decidua

Decidua

Diagrammatic sections of the uterine mucous membrane: A. The non-pregnant uterus. B. Decidua parietalis; the mucous membrane] in the pregnant uterus and not beneath the placenta.

Sectional plan of the gravid uterus in the third and fourth month.
Identifiers
MeSH A16.759.289
Code TE E6.0.1.4.0.0.7

Anatomical terminology

Decidua is the term for the uterine lining (endometrium) during a pregnancy, which forms the maternal part of the placenta. It is formed under the influence of progesterone and forms highly characteristic cells.

Etymology

The word comes from the Latin deciduus, meaning falling off or shedding.

Background

After ovulation, in mammals, the endometrial lining becomes transformed into a secretory lining in preparation of accepting the embryo. Without implantation, the secretory lining will be absorbed (estrous cycle) or shed (menstrual cycle).

With implantation the lining now termed decidua evolves further during the pregnancy.

The decidua is shed during the parturition process.

Structure

Different layers of the deciduas have been described:

That part of the decidua that interacts with the trophoblast is the decidua basalis (also called decidua placentalis). The remainder of the decidua is termed the decidua parietalis or decidua vera. Also, there is the decidua capsularis, which grows over the embryo on the luminal side, enclosing it into the endometrium and surrounding the embryo together with decidua basalis.

The decidua has a histologically-distinct appearance, displaying large polygonal decidual cells in the stroma. These are enlarged endometrial stromal cells, which resemble epithelium (and are referred to as "epithelioid").

Formation of a specialized decidua is called decidualization, which is a special property of endometrium seen only in hemochorial placentation.

Decidualization includes the process of differentiation of the spindle-shape stromal fibroblasts into the plump secretory decidual cells, which create a pericellular extracellular matrix rich in fibronectin and laminin (similar to epithelial cells).

Vascularity, as well as vascular permeability, is enhanced in the decidualizing endometrium.

Its leukocyte population is distinct, with the presence of large endometrial granular leukocytes being predominant, while polynuclear leukocytes and B cells are scant.

The large granular lymphocytes (CD56 bright) are called "uterine NK cells" or "uNK cells" in mice, and "decidual NK cells" or "dNK cells" in humans.

The region of fibrinoid degeneration where trophoblasts meet decidua is called Nitabuch's layer. This layer is absent in placenta accreta.[1]

Role

As the maternal interface to the embryo the decidua participates in the exchanges of nutrition, gas, and waste with the gestation. It also protects the pregnancy from the maternal immune system. Further, the decidua has to allow a very controlled invasion of the trophoblast.

In invasive placental disorders like placenta accreta decidualization have been consistently found to be deficient.

Hormone production

The decidua secretes hormones, growth factors, and cytokines. It has receptors for estrogen, progesterone, growth hormone, and others.

Among its products are hormones commonly associated with other organs such as cortisol, CRF, GnRH, prolactin, and relaxin. Decidual prolactin is not under dopaminergic control.

Pregnancy protein 14 (PP-14), also called placental protein 12, and Insulin-like growth factor-binding protein 1(IGFBP1) appear to be specific products of the secretory and decidual lining.

Other factors released include interleukin-15 and vascular endothelial growth factor (VEGF). A reasonable understanding of the role and interplay of these hormones and factors has not been evolved.

Other

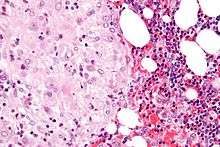
Micrograph of decidua in a lymph node. H&E stain.

Pathology

A long-lasting infection of the decidua, chronic deciduitis, is associated with pre-term labour.[3]

Additional images

References

  1. Cunningham, F. Gary, ed. (2005). Williams obstetrics (22nd ed.). New York ; Toronto: McGraw-Hill Professional. ISBN 9780071413152.
  2. Wu, DC.; Hirschowitz, S.; Natarajan, S. (May 2005). "Ectopic decidua of pelvic lymph nodes: a potential diagnostic pitfall". Arch Pathol Lab Med. 129 (5): e117–20. doi:10.1043/1543-2165(2005)129<E117:EDOPLN>2.0.CO;2. PMID 15859655.
  3. Edmondson, N.; Bocking, A.; Machin, G.; Rizek, R.; Watson, C.; Keating, S. (2009). "The prevalence of chronic deciduitis in cases of preterm labor without clinical chorioamnionitis". Pediatr Dev Pathol. 12 (1): 16–21. doi:10.2350/07-04-0270.1 (inactive 2015-01-12). PMID 18171100.

External links

This article is issued from Wikipedia - version of the 9/26/2016. The text is available under the Creative Commons Attribution/Share Alike but additional terms may apply for the media files.