Cusp (anatomy)
| Cusp | |
|---|---|
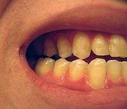
|
The teeth of the right side of the mouth, shown contacting the teeth in the opposing jaw with their cusp tips. | |
| Details | |
| Identifiers | |
| Latin | cuspis dentis |
| TA | A05.1.03.010 |
| FMA | 56481 |

2. Enamel
3. Dentin
4. Dental pulp
5. cameral pulp
6. root pulp
7. Cementum
8. Crown
9. Cusp
10. Sulcus
11. Neck
12. Root
13. Furcation
14. Root apex
15. Apical foramen
16. Gingival sulcus
17. Periodontium
18. Gingiva
19. free or interdental
20. marginal
21. alveolar
22. Periodontal ligament
23. Alveolar bone
24. Vessels and nerves
25. dental
26. periodontal
27. alveolar through channel
A cusp is a pointed, projecting, or elevated feature. In animals, it is usually used to refer to raised points on the crowns of teeth.
In humans
A cusp is an occlusal or incisal eminence on a tooth. Canine teeth, otherwise known as cuspids, each possess a single cusp, while premolars, otherwise known as bicuspids, possess two each. Molars normally possess either four or five cusps. In certain populations the maxillary molars, especially first molars, will possess a fifth cusp situated on the mesiolingual cusp known as the Cusp of Carabelli.
Buccal Cusp One other variation of the upper first premolar is the 'Uto-Aztecan' upper premolar. It is a bulge on the buccal cusp that is only found in Native American Indians, with highest frequencies of occurrence in Arizona. The name is not a dental term; it comes from a regional linguistic division of Native American Indian language groups.
Buccal-The side of a tooth that is adjacent to (or the direction towards) the inside of the cheek, as opposed to lingual or palatal, which refer to the side of a tooth adjacent to (or the direction towards) the tongue or palate, respectively. Although technically referring only to posterior teeth (where the cheeks are present instead of lips, use of this term may extend to all teeth, anterior and posterior), this term may be employed to describe the facial surface of (or directions in relation to) anterior teeth as well.[1]
See also
References
- Ash, Major M.; Nelson, Stanley. Wheeler'S Dental Anatomy, Physiology and Occlusion, 8th edition.