Cleidocranial dysostosis
| Cleidocranial dysostosis | |
|---|---|
| Synonyms | cleidocranial dysplasia, Marie-Sainton syndrome,[1] mutational dysostosis |
![]() | |
| Facial and forehead changes along with increased mobility of the shoulder girdles | |
| Classification and external resources | |
| Specialty | medical genetics |
| ICD-10 | Q74.0 |
| ICD-9-CM | 755.59 |
| OMIM | 119600 |
| DiseasesDB | 30594 |
| MedlinePlus | 001589 |
| MeSH | D002973 |
| GeneReviews | |
Cleidocranial dysostosis (CCD), also called cleidocranial dysplasia, is congenital disorder, that mostly affects the development of bones and teeth.[1] The collarbones are typically either poorly developed or absent, which often allows the shoulders to be brought close together. The front of the skull often does not close until later and those affected are often short. Other symptoms may include a prominent forehead, wide set eyes, abnormal teeth, and a flat nose. Symptoms can vary between people; however, intelligence is typically normal.[1]
The condition is either inherited from a person's parents or occurs as a new mutation. It is inherited in an autosomal dominant manner. It is due to a defect in the RUNX2 gene which is involved in bone formation.[1] Other conditions that can produce similar symptoms include mandibuloacral dysplasia, pyknodysostosis, osteogenesis imperfecta, and Hajdu-Cheney syndrome.[2]
Treatment includes supportive measures such as a device to protect the skull and dental care.[2] It affects about one per million people.[1] Males and females are equally commonly affected.[2] Modern descriptions of the condition date to at least 1896.[3] The term is from cleido meaning collarbone, cranial meaning head, and dysostosis meaning formation of abnormal bone.[4]

Signs and symptoms

Cleidocranial dysostosis is a general skeletal condition[5] so named from the collarbone (cleido-) and cranium deformities which people with it often have.
People with the condition usually present with a painless swelling in the area of the clavicles at 2–3 years of age.[6] Common features are:
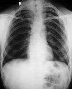
- Clavicles (collarbones) can be partly missing leaving only the medial part of the bone. In 10% cases, they are completely missing.[7] If the collarbones are completely missing or reduced to small vestiges, this allows hypermobility of the shoulders including ability to touch the shoulders together in front of the chest.[8] The defect is bilateral 80% of the time.[9] Partial collarbones may cause nerve damage symptoms and therefore have to be removed by surgery.
- The mandible is prognathic due to hypoplasia of maxilla (micrognathism) and other facial bones.[8]
- A soft spot or larger soft area in the top of the head where the fontanelle failed to close, or the fontanelle closes late.
- Bones and joints are underdeveloped. People are shorter and their frames are smaller than their siblings who do not have the condition.
- The permanent teeth include supernumerary teeth. Unless these supernumeraries are removed they will crowd the adult teeth in what already may be an underdeveloped jaw. If so, the supernumeraries will probably need to be removed to make space for the adult teeth. Up to 13 supernumarary teeth have been observed. Teeth may also be displaced. Cementum formation may be deficient.[10]
- Failure of eruption of permanent teeth.
- Bossing (bulging) of the forehead.
- Open skull sutures, large fontanelles.
- Hypertelorism.
- Delayed ossification of bones forming symphysis pubis, producing a widened symphysis.
- Coxa vara can occur, limiting abduction and causing Trendelenburg gait.
- Short middle fifth phalanges,[11] sometimes causing short and wide fingers.[12]
- Vertebral abnormalities.[11]
- On rare occasions, brachial plexus irritation can occur.[7]
- Scoliosis, spina bifida and syringomyelia have also been described.[7]
Other features are: parietal bossing, basilar invagination (atlantoaxial impaction), persistent metopic suture, abnormal ear structures with hearing loss, supernumerary ribs, hemivertebrae with spondylosis, small and high scapulae, hypoplasia of illiac bones, absence of the pubic bone, short / absent fibular bones, short / absent radial bones, hypoplastic terminal phalanges.[13]
Genetics
It is usually autosomal dominant, but in some cases the cause is not known.[14] It occurs due to haploinsufficiency caused by mutations in the CBFA1 gene (also called Runx2), located on the short arm of chromosome 6, which encodes transcription factor required for osteoblast differentiation.[7] It results in delayed ossification of midline structures of the body, particularly membranous bone.
A new article reports that the CCD cause is thought to be due to a CBFA1 (core binding factor activity 1) gene defect on the short arm of chromosome 6p21 . CBFA1 is vital for differentiation of stem cells into osteoblasts, so any defect in this gene will cause defects in membranous and endochondral bone formation.[15]
Diagnosis
Different features of the dysostosis are significant. Radiological imaging helps confirm the diagnosis. During gestation (pregnancy), clavicular size can be calculated using available nomograms. Wormian bones can sometimes be observed in the skull.[16]
|
Treatment
Around 5 years of age, surgical correction may be necessary to prevent any worsening of the deformity.[6] If the mother has dysplasia, caesarian delivery may be necessary. Craniofacial surgery may be necessary to correct skull defects [16] Coxa vara is treated by corrective femoral osteotomies. If there is brachial plexus irritation with pain and numbness, excision of the clavicular fragments can be performed to decompress it.[7] In case of open fontanelle, appropriate headgear may be advised by the orthopedist for protection from injury.
Prognosis
Several studies have reported that life expectancy appears to be normal for people with CCD.[17][18][19]
Epidemiology
It affects about one per million people.[1]
Notable cases
At the rescue of Jessica McClure in 1987, Ron Short, a muscular man (a roofing contractor) who was born without collarbones because of cleidocranial dysostosis and so could collapse his shoulders to work in cramped corners, arrived at the site and offered to go down the shaft; they accepted his offer, although did not use it.[20][21]
Actor Gaten Matarazzo was born with cleidocranial dysplasia, which is incorporated into his character's storyline on Stranger Things.[22]
References
- 1 2 3 4 5 6 "cleidocranial dysplasia". GHR. January 2008. Retrieved 2 October 2016.
- 1 2 3 "Cleidocranial Dysplasia". NORD. 2004. Retrieved 2 October 2016.
- ↑ Epstein, Charles J.; Erickson, Robert P.; Wynshaw-Boris, Anthony Joseph (2004). Inborn Errors of Development: The Molecular Basis of Clinical Disorders of Morphogenesis. Oxford University Press. p. 333. ISBN 9780195145021.
- ↑ "Cleidocranial Dysostosis". UCSF Benioff Children's Hospital. Retrieved 2 October 2016.
- ↑ Garg RK, Agrawal P (2008). "Clinical spectrum of cleidocranial dysplasia: a case report". Cases J. 1 (1): 377. doi:10.1186/1757-1626-1-377. PMC 2614945
. PMID 19063717. - 1 2 Hefti, Fritz (2007). Pediatric Orthopedics in Practice. Springer. p. 478. ISBN 9783540699644.
- 1 2 3 4 5 Turek's Orthopaedics: Principles And Their Application. Lippincott Williams & Wilkins. 2005. pp. 251–252. ISBN 9780781742986.
- 1 2 Juhl, John (1998). Paul and Juhl's essentials of radiologic imaging (7th ed.). Lippincott-Raven. ISBN 9780397584215.
- ↑ Greene, Walter (2006). Netter's Orthopaedics (1st ed.). Masson. ISBN 9781929007028.
- ↑ Textbook of Radiology and Imaging: Volume 2, 7e. Elsevier Science Health Science Division. 2003. p. 1539. ISBN 9780443071096.
- 1 2 Vanderwerf, Sally (1998). Elsevier's medical terminology for the practicing nurse. Elsevier. p. 65. ISBN 9780444824707.
- ↑ Menkes, John (2006). Child Neurology, 7e. Lippincott Williams & Wilkins. p. 307. ISBN 9780781751049.
- ↑ http://radiopaedia.org/articles/cleidocranial-dysostosis
- ↑ Tanaka JL, Ono E, Filho EM, Castilho JC, Moraes LC, Moraes ME (September 2006). "Cleidocranial dysplasia: importance of radiographic images in diagnosis of the condition". J Oral Sci. 48 (3): 161–6. doi:10.2334/josnusd.48.161. PMID 17023750.
- ↑ Saraswathivilasam S. Suresh, A Family With Cleidocranial Dysplasia And Crossed Ectopic Kidney In One Child, Acta Orthop. Belg. 2009, N° 4 (Vol. 75/4) p.521-527. http://www.actaorthopaedica.be/acta/article.asp?lang=en&navid=244&id=14667&mod=Acta
- 1 2 Lovell, Wood (2006). Lovell & Winter's Pediatric Orthopaedics, 6e. Lippincott Williams & Wilkins. p. 240. ISBN 9780781753586.
- ↑ Young, Ian D. (2002). Genetics for Orthopedic Surgeons: The Molecular Genetic Basis of Orthopedic Disorders. Remedica. p. 92. ISBN 9781901346428.
- ↑ Dore; et al. "Cleidocranial Dysostosis and Syringomyelia Review of the Literature and Case Report.". Clinical Orthopaedics & Related Research. January 1987.
- ↑ Nebgen, Denise; Wood, Robert S.; Shapiro, Robert D. "Management of a mandibular fracture in a patient with cleidocranial dysplasia: Report of a case and review of the literature". Journal of Oral and Maxillofacial Surgery. 49 (4): 405–409. doi:10.1016/0278-2391(91)90380-5.
- ↑ Kennedy, J. Michael (1987-10-17). "Jessica Makes It to Safety—After 58 1/2 Hours". Los Angeles Times.
- ↑ Scott, Ronald W. (November 1988). "Cleidocranial Dysplasia - An Enigma Among Anomalies". Journal of Orthopaedic & Sports Physical Therapy. 10 (5): 184–188. doi:10.2519/jospt.1988.10.5.184. PMID 18796963.
- ↑ "Stranger Things' Gaten Matarazzo Discusses Living with Cleidocranial Dysplasia : People.com".
External links
- Cleidocranial dysostosis at DMOZ
- http://www.rarediseases.org/rare-disease-information/rare-diseases/byID/961/viewAbstract



