Atypical polypoid adenomyoma
| Atypical polypoid adenomyoma | |
|---|---|
|
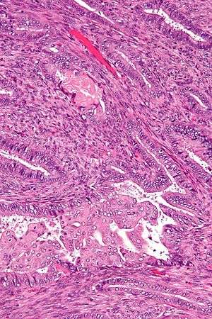
Micrograph of an atypical polypoid adenomyoma. H&E stain. | |
| Classification and external resources |
Atypical polypoid adenomyoma, abbreviated APA, is a rare uncommon benign tumour of the uterus.[1]
Pathology
APAs are characterized by glands with abnormal shapes that: (1) often have squamous metaplasia, and (2) are surrounded by benign smooth muscle.[1] Nuclear atypia, if present, is mild.
The microscopic differential diagnosis includes endometrial carcinoma and endocervical adenocarcinoma.
See also
Additional images
-

Intermed. mag.
-

Very high mag.
References
This article is issued from Wikipedia - version of the 9/3/2015. The text is available under the Creative Commons Attribution/Share Alike but additional terms may apply for the media files.
