Asbestos

For other uses, see Asbestos (disambiguation).
Asbestos

Fibrous tremolite asbestos on muscovite
General
Category Mineral
Strunz classification 09.ED.15
Dana classification 71.01.02d.03
Crystal system Orthorhombic
Identification
Formula mass 277.11 g
Color Green, red, yellow, white, blue
Crystal habit Amorphous, granular, massive
Fracture Fibrous
Mohs scale hardness 2.5–3
Luster Silky
Streak White
Optical properties Biaxial
Birefringence 0.008
2V angle 20° to 60°
Dispersion relatively weak
Ultraviolet fluorescence Non-fluorescent

Asbestos is a set of six naturally occurring silicate minerals,[1] which all have in common their eponymous asbestiform habit: long (roughly 1:20 aspect ratio), thin fibrous crystals, with each visible fiber composed of millions of microscopic "fibrils" that can be released by abrasion and other processes.[2] They are commonly known by their colors, as blue asbestos, brown asbestos, white asbestos, and green asbestos.

Asbestos mining existed more than 4,000 years ago, but large-scale mining began at the end of the 19th century, when manufacturers and builders began using asbestos for its desirable physical properties:[1] sound absorption, average tensile strength, resistance to fire, heat, electricity, and affordability. It was used in such applications as electrical insulation for hotplate wiring and in building insulation. When asbestos is used for its resistance to fire or heat, the fibers are often mixed with cement or woven into fabric or mats. These desirable properties made asbestos very widely used. Asbestos use continued to grow through most of the 20th century until public knowledge (acting through courts and legislatures) of the health hazards of asbestos dust outlawed asbestos in mainstream construction and fireproofing in most countries.

Prolonged inhalation of asbestos fibers can cause serious and fatal illnesses including lung cancer, mesothelioma, and asbestosis (a type of pneumoconiosis).[3][4] Concern of asbestos-related illness in modern times began in the 20th century and escalated during the 1920s and 1930s. By the 1980s and 1990s, asbestos trade and use were heavily restricted, phased out, or banned outright in an increasing number of countries.

The severity of asbestos-related diseases, the material's extremely widespread use in many areas of life, its continuing long-term use after harmful health effects were known or suspected, and the slow emergence of symptoms decades after exposure ceased, made asbestos litigation the longest, most expensive mass tort in U.S. history and a much lesser legal issue in most other countries involved.[5] Asbestos-related liability also remains an ongoing concern for many manufacturers, insurers and reinsurers.

Etymology

Asbestos derives from the ancient Greek ἄσβεστος, meaning unquenchable or inextinguishable.[1][6][7] The word is pronounced /æsˈbɛstəs/, /æzˈbɛstəs/ or /æzˈbɛstɒs/.

Types and associated fibers

Six mineral types are defined by the United States Environmental Protection Agency (EPA) as "asbestos" including those belonging to the serpentine class and those belonging to the amphibole class. All six asbestos mineral types are known to be human carcinogens.[8][9] The visible fibers are themselves each composed of millions of microscopic "fibrils" that can be released by abrasion and other processes.[2]

Serpentine

Serpentine class fibers are curly. Chrysotile is the only member of the serpentine class.

Chrysotile

Chrysotile, CAS No. 12001-29-5, is obtained from serpentinite rocks which are common throughout the world. Its idealized chemical formula is Mg3(Si2O5)(OH)4.[10] Chrysotile appears under the microscope as a white fiber.

Chrysotile has been used more than any other type and accounts for about 95% of the asbestos found in buildings in America.[11] Chrysotile is more flexible than amphibole types of asbestos, and can be spun and woven into fabric. The most common use was corrugated asbestos cement roofing primarily for outbuildings, warehouses and garages. It may also be found in sheets or panels used for ceilings and sometimes for walls and floors. Chrysotile has been a component in joint compound and some plasters. Numerous other items have been made containing chrysotile including brake linings, fire barriers in fuseboxes, pipe insulation, floor tiles, residential shingles, and gaskets for high temperature equipment.

Amphibole

Amphibole class fibers are needle-like. Amosite, crocidolite, tremolite, anthophyllite and actinolite are members of the amphibole class.

Amosite

Amosite, CAS No. 12172-73-5, often referred to as brown asbestos, is a trade name for the amphiboles belonging to the cummingtonite-grunerite solid solution series, commonly from South Africa, named as a partial acronym for "Asbestos Mines of South Africa". One formula given for amosite is Fe7Si8O22(OH)2. Amosite is seen under a microscope as a grey-white vitreous fiber. It is found most frequently as a fire retardant in thermal insulation products, asbestos insulating board and ceiling tiles.[11]

Crocidolite

Crocidolite, CAS No. 12001-28-4, is the fibrous form of the amphibole riebeckite, found primarily in southern Africa, but also in Australia and Bolivia. One formula given for crocidolite is Na2Fe2+3Fe3+2Si8O22(OH)2. Crocidolite is seen under a microscope as a blue fiber.

Crocidolite commonly occurs as soft friable fibers. Asbestiform amphibole may also occur as soft friable fibers but some varieties such as amosite are commonly straighter. All forms of asbestos are fibrillar in that they are composed of fibers with breadths less than 1 micrometer in bundles of very great widths. Asbestos with particularly fine fibers is also referred to as "amianthus".

Other materials

Other regulated asbestos minerals, such as tremolite asbestos, CAS No. 77536-68-6, Ca2Mg5Si8O22(OH)2; actinolite asbestos, CAS No. 77536-66-4, Ca2(Mg, Fe)5(Si8O22)(OH)2; and anthophyllite asbestos, CAS No. 77536-67-5, (Mg, Fe)7Si8O22(OH)2; are less commonly used industrially but can still be found in a variety of construction materials and insulation materials and have been used in a few consumer products.

Size of asbestos fibers compared to other particles (USEPA, March 1978)

Other natural asbestiform minerals, such as richterite, Na(CaNa)(Mg, Fe++)5(Si8O22)(OH)2, and winchite, (CaNa)Mg4(Al, Fe3+)(Si8O22)(OH)2, though not regulated, are said by some to be no less harmful than tremolite, amosite, or crocidolite.[12] They are termed "asbestiform" rather than asbestos. Although the U.S. Occupational Safety and Health Administration (OSHA) has not included them in the asbestos standard, NIOSH and the American Thoracic Society have recommended them for inclusion as regulated materials because they may also be hazardous to health.[12]

Production

In late 2011, Canada's remaining two asbestos mines, both located in the Province of Quebec, halted operations.[13] In September 2012, the government in the Province of Quebec halted asbestos mining.[14] In 2009, about 9% of world's asbestos production was mined in Canada.[15]

In 2015, 2 million tonnes of asbestos were mined worldwide. The Russian Federation was the largest producer with about 55% world share followed by China (20%), Brazil (15.6%), and Kazakhstan (10.8%).[16]

History of use

Early uses

Asbestos use dates back at least 4,500 years, when the inhabitants of the Lake Juojärvi region in East Finland strengthened earthenware pots and cooking utensils with the asbestos mineral anthophyllite (see Asbestos-ceramic).[17] One of the first descriptions of a material that may have been asbestos is in Theophrastus, On Stones, from around 300 BC, although this identification has been questioned.[18] In both modern and ancient Greek, the usual name for the material known in English as "asbestos" is amiantos ("undefiled", "pure"), which was adapted into the French amiante and Portuguese amianto. In modern Greek, the word ἀσβεστος or ασβέστης stands consistently and solely for lime.

The term asbestos is traceable to Roman naturalist Pliny the Elder's manuscript Natural History, and his use of the term asbestinon, meaning "unquenchable".[1][6][17] While Pliny or his nephew Pliny the Younger is popularly credited with recognising the detrimental effects of asbestos on human beings,[19] it has been said that examination of the primary sources reveals no support for either claim.[20]

Wealthy Persians amazed guests by cleaning a cloth by exposing it to fire. For example, according to Tabari, one of the curious items belonging to Khosrow II Parviz, the great Sassanian king (r. 531–579), was a napkin (Persian: منديل) that he cleaned simply by throwing it into fire. Such cloth is believed to have been made of asbestos imported over the Hindu Kush.[21] According to Biruni in his book, Gems, any cloths made of asbestos (Persian: آذرشست, āzarshost) were called shostakeh (Persian: شستكه).[22] Some Persians believed the fiber was the fur of an animal, called the samandar (Persian: سمندر), which lived in fire and died when exposed to water,[23][24] which was where the former belief that the salamander could tolerate fire originated.[25]

Charlemagne, the first Holy Roman Emperor (800–814), is said to have had a tablecloth made of asbestos.[26]

Marco Polo recounts having been shown, in a place he calls Ghinghin talas, "a good vein from which the cloth which we call of salamander, which cannot be burnt if it is thrown into the fire, is made ..."[27]

Some archaeologists believe that ancients made shrouds of asbestos, wherein they burned the bodies of their kings, in order to preserve only their ashes, and prevent them being mixed with those of wood or other combustible materials commonly used in funeral pyres.[28][29] Others assert that the ancients used asbestos to make perpetual wicks for sepulchral or other lamps.[23] In more recent centuries, asbestos was indeed used for this purpose. Although asbestos causes skin to itch upon contact, ancient literature indicates that it was prescribed for diseases of the skin, and particularly for the itch. It is possible that they used the term asbestos for soapstone, because the two terms have often been confused throughout history.[28]

Industrial era

Industrial scale asbestos mining began in 1878 in Thetford township, Quebec. By 1895, mining was increasingly mechanized.

The large scale asbestos industry began in the mid-19th century. Early attempts at producing asbestos paper and cloth in Italy began in the 1850s, but were unsuccessful in creating a market for such products. Canadian samples of asbestos were displayed in London in 1862, and the first companies were formed in England and Scotland to exploit this resource. Asbestos was first used in the manufacture of yarn, and German industrialist Louis Wertheim adopted this process in his factories in Germany. [30] In 1871, the Patent Asbestos Manufacturing Company was established in Glasgow, and within the following decades, the Clydebank area became a centre for the nascent industry.[31]

Industrial scale mining began in the Thetford hills, Quebec from the 1870s. Sir William Edmond Logan was the first to notice the large deposits of chrysotile in the hills in his capacity as head of Geological Survey of Canada. Samples of the minerals from here were displayed in London, and excited much interest.[30] With the opening up of the Quebec Central Railway in 1876, mining entrepreneurs, such as Andrew Stuart Johnson established the asbestos industry in the province.[32] The 50 ton output of the mines in 1878 rose to over 10,000 tons in the 1890s with the adoption of machine technologies and expanded production.[30][33] For a long time, the world's largest asbestos mine was the Jeffrey mine in the town of Asbestos, Quebec.[34]

The applications of asbestos multiplied at the end of the 19th century. This is an advertisement for an asbestos-lined clothes iron from 1906.

Asbestos production began in the Urals of the Russian Empire in the 1880s, and in the Alpine regions of Northern Italy with the formation in Turin of the Italo-English Pure Asbestos Company in 1876, although this was soon swamped by the greater production levels from the Canadian mines. Mining also took off in South Africa from 1893 under the aegis of the British businessman Francis Oates, the Director of the De Beers company.[35] It was in South Africa that the production of amosite began in 1910. The U.S. asbestos industry had an early start in 1858, when fibrous anthophyllite was mined for use as asbestos insulation by the Johns Company, a predecessor to the current Johns Manville, at a quarry at Ward's Hill on Staten Island, New York.[36] US production began in earnest in 1899, with the discovery of large deposits in the Belvidere Mountain.

The use of asbestos became increasingly widespread towards the end of the 19th century, when its diverse applications included fire retardant coatings, concrete, bricks, pipes and fireplace cement, heat, fire, and acid resistant gaskets, pipe insulation, ceiling insulation, fireproof drywall, flooring, roofing, lawn furniture, and drywall joint compound. In 2011 it was reported that over 50% of UK houses still contained asbestos, despite a ban on asbestos products some years earlier.[37]

In Japan, particularly after World War II, asbestos was used in the manufacture of ammonium sulfate for purposes of rice production, sprayed upon the ceilings, iron skeletons, and walls of railroad cars and buildings (during the 1960s), and used for energy efficiency reasons as well. Production of asbestos in Japan peaked in 1974 and went through ups and downs until about 1990, when production began to drop dramatically.[38]

Discovery of toxicity

For additional chronological citations, see also, List of asbestos disease medical articles

In 1899, Dr. Montague Murray noted the negative health effects of asbestos.[39] The first documented death related to asbestos was in 1906.[40]

In the early 1900s researchers began to notice a large number of early deaths and lung problems in asbestos-mining towns. The first such study was conducted by Dr. H. Montague Murray at the Charing Cross Hospital, London, in 1900, in which a postmortem investigation of a young man who had died from pulmonary fibrosis after having worked for 14 years in an asbestos textile factory, discovered asbestos traces in the victim's lungs. Adelaide Anderson, the Inspector of Factories in Britain, included asbestos in a list of harmful industrial substances in 1902. Similar investigations were conducted in France and Italy, in 1906 and 1908, respectively.[41]

Nellie Kershaw, factory worker, whose death from pulmonary asbestosis was the first such case to be described in medical literature.
Asbestos fabric

The first diagnosis of asbestosis was made in the UK in 1924.[40][42][43] Nellie Kershaw was employed at Turner Brothers Asbestos in Manchester, England from 1917, spinning raw asbestos fibre into yarn.[43][44] Her death in 1924 led to a formal inquest. Pathologist Dr William Edmund Cooke testified that his examination of the lungs indicated old scarring indicative of a previous, healed, tuberculosis infection, and extensive fibrosis, in which were visible "particles of mineral matter ... of various shapes, but the large majority have sharp angles."[42] Having compared these particles with samples of asbestos dust provided by Dr S.A. Henry, His Majesty's Medical Inspector of Factories, Cooke concluded that they "originated from asbestos and were, beyond a reasonable doubt, the primary cause of the fibrosis of the lungs and therefore of death".[43][45]

As a result of Cooke's paper, parliament commissioned an inquiry into the effects of asbestos dust by Dr E. R. A. Merewether, Medical Inspector of Factories, and C. W. Price, a factory inspector and pioneer of dust monitoring and control.[2] Their subsequent report, Occurrence of Pulmonary Fibrosis & Other Pulmonary Affections in Asbestos Workers, was presented to parliament on 24 March 1930.[46] It concluded that the development of asbestosis was irrefutably linked to the prolonged inhalation of asbestos dust, and included the first health study of asbestos workers, which found that 66% of those employed for 20 years or more suffered from asbestosis.[2] The report led to the publication of the first Asbestos Industry Regulations in 1931, which came into effect on 1 March 1932.[47] These regulated ventilation and made asbestosis an excusable work-related disease.[10] The term mesothelioma was first used in medical literature in 1931; its association with asbestos was first noted sometime in the 1940s. Similar legislation followed in the U.S. about ten years later.

Approximately 100,000 people in the United States have died, or are terminally ill, from asbestos exposure related to ship building. In the Hampton Roads area, a shipbuilding center, mesothelioma occurrence is seven times the national rate.[48] Thousands of tons of asbestos were used in World War II ships to insulate piping, boilers, steam engines, and steam turbines. There were approximately 4.3 million shipyard workers in the United States during WWII; for every 1,000 workers about 14 died of mesothelioma and an unknown number died from asbestosis.[49]

The United States government and asbestos industry have been criticized for not acting quickly enough to inform the public of dangers, and to reduce public exposure. In the late 1970s, court documents proved that asbestos industry officials knew of asbestos dangers since the 1930s and had concealed them from the public.[49]

In Australia, asbestos was widely used in construction and other industries between 1946 and 1980. From the 1970s there was increasing concern about the dangers of asbestos, and its use was phased out. Mining ceased in 1983. The use of asbestos was phased out in 1989 and banned entirely in December 2003. The dangers of asbestos are now well known in Australia and there is help and support for sufferers from asbestosis or mesothelioma.[50]

Usage by industry and product type

Serpentine group

Serpentine minerals have a sheet or layered structure. Chrysotile is the only asbestos mineral in the serpentine group. In the United States, chrysotile has been the most commonly used type of asbestos. According to the U.S. EPA Asbestos Building Inspectors Manual, chrysotile accounts for approximately 95% of asbestos found in buildings in the United States. Chrysotile is often present in a wide variety of products and materials, including:

An asbestos glove
A household heat spreader for cooking on gas stoves, made of asbestos (probably 1950s; "Amiante pur" is French for "Pure Asbestos")

In the European Union and Australia it has recently been banned as a potential health hazard[53] and is not used at all. Japan is moving in the same direction, but at a slower pace.

Amphibole group

Amphiboles including amosite (brown asbestos) and crocidolite (blue asbestos) were formerly used in many products until the early 1980s. Tremolite asbestos constituted a contaminant of many if not all naturally occurring chrysotile deposits. The use of all types of asbestos in the amphibole group was banned in much of the Western world by the mid-1980s, and in Japan by 1995. Some products that included amphibole types of asbestos included the following:

Cigarette manufacturer Lorillard (Kent's filtered cigarette) used crocidolite asbestos in its "Micronite" filter from 1952 to 1956.[54]

While mostly chrysotile asbestos fibers were once used in automobile brake pads, shoes, and clutch discs, contaminants of amphiboles were present. Since approximately the mid-1990s, brake pads, new or replacement, have been manufactured instead with linings made of ceramic, carbon, metallic and aramid fiber (Twaron or Kevlar—the same material used in bulletproof vests).

Artificial Christmas snow, known as flocking, was previously made with asbestos.[55] It was used as an effect in films including The Wizard of Oz and department store window displays and it was marketed for use in private homes under brand names that included "Pure White", "Snow Drift" and "White Magic".[56]

Construction

Developed countries

Older decorative ceilings, similar to this one, may contain small amounts of white asbestos.
1929 newspaper advertisement from Perth, Western Australia, for asbestos sheeting for residential building construction.

The use of asbestos in new construction projects has been banned for health and safety reasons in many developed countries or regions, including the European Union, Australia, Hong Kong, Japan, and New Zealand. A notable exception is the United States, where asbestos continues to be used in construction such as cement asbestos pipes. The 5th Circuit Court prevented the EPA from banning asbestos in 1991 because EPA research showed the ban would cost between $450 and 800 million while only saving around 200 lives in a 13-year timeframe, and that the EPA did not provide adequate evidence for the safety of alternative products.[57] Until the mid-1980s, small amounts of white asbestos were used in the manufacture of Artex, a decorative stipple finish,[58] however, some of the lesser-known suppliers of Artex were still adding white asbestos until 1999.[59]

Prior to the ban, asbestos was widely used in the construction industry in thousands of materials. Some are judged to be more dangerous than others due to the amount of asbestos and the material's friable nature. Sprayed coatings, pipe insulation and Asbestos Insulating Board (AIB) are thought to be the most dangerous due to their high content of asbestos and friable nature. Many older buildings built before the late 1990s contain asbestos. In the United States, there is a minimum standard for asbestos surveys as described by ASTM Standard E 2356–04. The U.S. Environmental Protection Agency includes some but not all asbestos-contaminated facilities on the Superfund National Priorities list (NPL). Renovation and demolition of asbestos contaminated buildings is subject to EPA NESHAP and OSHA Regulations. Asbestos is not a material covered under CERCLA's innocent purchaser defense. In the UK, the removal and disposal of asbestos and of substances containing it are covered by the Control of Asbestos Regulations 2006.[60]

U.S. asbestos consumption hit a peak of 804,000 tons in 1973; world asbestos demand peaked around 1977, with 25 countries producing nearly 4.8 million metric tons annually.[61]

In older buildings (e.g. those built prior to 1999 in the UK, before white asbestos was banned), asbestos may still be present in some areas. Being aware of asbestos locations reduces the risk of disturbing asbestos.[62]

Removal of asbestos building components can also remove the fire protection they provide, therefore fire protection substitutes are required for proper fire protection that the asbestos originally provided.[62][63]

Outside Europe and North America

Some countries, such as India, Indonesia, China, Russia and Brazil, have continued widespread use of asbestos. The most common is corrugated asbestos-cement sheets or "A/C sheets" for roofing and for side walls. Millions of homes, factories, schools or sheds and shelters continue to use asbestos. Cutting these sheets to size and drilling holes to receive 'J' bolts to help secure the sheets to roof framing is done on-site. There has been no significant change in production and use of A/C sheets in developing countries following the widespread restrictions in developed nations.

11 September 2001 attacks

As New York City's World Trade Center collapsed following the September 11 attacks, Lower Manhattan was blanketed in a mixture of building debris and combustible materials. This complex mixture gave rise to the concern that thousands of residents and workers in the area would be exposed to known hazards in the air and in the dust, such as asbestos, lead, glass fibers, and pulverized concrete.[64] More than 1,000 tons of asbestos are thought to have been released into the air following the buildings' destruction.[65] Inhalation of a mixture of asbestos and other toxicants is thought to be linked to the unusually high death rate from cancer of emergency service workers since the disaster.[65] Thousands more are now thought to be at risk of developing cancer due to this exposure with those who have died so far being only the 'tip of the iceberg'.[65] Some commentators have criticised authorities for using asbestos in the buildings' construction.

In May 2002, after numerous cleanup, dust collection, and air monitoring activities were conducted outdoors by EPA, other federal agencies, New York City and the state of New York, New York City formally requested federal assistance to clean and/or test residences in the vicinity of the World Trade Center site for airborne asbestos.[64] However, the impact of short term exposure in such instances has sparked skepticism as to health risks. Up to this point most research can only associate long term exposure to high levels with reduced lung functioning.[66]

Asbestos contaminants in other products

Vermiculite

Vermiculite is a hydrated laminar magnesium-aluminum-iron silicate which resembles mica. It can be used for many industrial applications and has been used as insulation. Some deposits of vermiculite have been found to be contaminated with small amounts of asbestos.[67]

One vermiculite mine operated by W. R. Grace and Company in Libby, Montana exposed workers and community residents to danger by mining vermiculite contaminated with asbestos, typically richterite, winchite, actinolite or tremolite.[68] Vermiculite contaminated with asbestos from the Libby mine was used as insulation in residential and commercial buildings through Canada and the United States. W. R. Grace and Company's loose-fill vermiculite was marketed as Zonolite but was also used in sprayed-on products such as Monokote.

In 1999 the EPA began cleanup efforts in Libby and now the area is a Superfund cleanup area.[69] The EPA has determined that harmful asbestos is released from the mine as well as through other activities that disturb soil in the area.[70]

Talc

A laboratory heat spreader made of asbestos, on tripod over a Teclu burner.

Talc is sometimes contaminated with asbestos.[71] In 2000, tests in a certified asbestos-testing laboratory found the tremolite form of amphibole asbestos in three out of eight bigger brands of children's crayons that are made partly from talc: Crayola, Prang, and RoseArt.[72] In Crayola crayons, the tests found asbestos levels from 0.05% in Carnation Pink to 2.86% in Orchid; in Prang crayons, the range was from 0.3% in Periwinkle to 0.54% in Yellow; in Rose Art crayons, it was from 0.03% in Brown to 1.20% in Orange. Overall, 32 different types of crayons from these brands contained more than trace amounts of asbestos, and eight others contained trace amounts. The Art and Creative Materials Institute, a trade association which tests the safety of crayons on behalf of the makers, initially insisted the test results must be incorrect, although they later said they do not test for asbestos.[72] In May 2000, Crayola said tests by Richard Lee, a materials analyst whose testimony on behalf of the asbestos industry has been accepted in lawsuits over 250 times, found two of its crayons tested negative for asbestos.[73] In June 2000, Binney & Smith, the maker of Crayola, and the other makers agreed to stop using talc in their products, and changed their product formulations in the United States.[73]

The mining company, R T Vanderbilt Co of Gouverneur, New York, which supplied the talc to the crayon makers, states that "to the best of our knowledge and belief" there is no asbestos in its talc.[74] However media reports claim that the United States Mine Safety and Health Administration (MSHA) had found asbestos in four talc samples tested in 2000.[72] The Assistant Secretary for Mine Safety and Health subsequently wrote to the news reporter, stating that "In fact, the abbreviation ND (non detect) in the laboratory report – indicates no asbestos fibers actually were found in the samples",[75] and multiple studies by both mineral studies laboratories[76][77][78][79][80][81][82][83][84] and biological cell studies[85][86][87] do not report asbestos. These findings have been rejected by other health reports and studies which advocate a "same as" asbestos risk.[88][89]

Health impact

Asbestos warning label.
Figure A shows the location of the lungs, airways, pleura, and diaphragm in the body. Figure B shows lungs with asbestos-related diseases, including pleural plaque, lung cancer, asbestosis, plaque on the diaphragm, and mesothelioma.
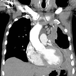
Left-sided mesothelioma (seen on the right of the picture): chest CT

Toxicity of different types

All types of asbestos fibers are known to cause serious health hazards in humans.[90][91][92] Amosite and crocidolite are considered the most hazardous asbestos fiber types; however, chrysotile asbestos has also produced tumors in animals and is a recognized cause of asbestosis and malignant mesothelioma in humans,[93] and mesothelioma has been observed in people who were occupationally exposed to chrysotile, family members of the occupationally exposed, and residents who lived close to asbestos factories and mines.[94]

During the 1980s and again in the 1990s it was suggested at times that the process of making asbestos cement could "neutralize" the asbestos, either via chemical processes or by causing cement to attach to the fibers and changing their physical size; subsequent studies showed that this was untrue, and that decades-old asbestos cement, when broken, releases asbestos fibers identical to those found in nature, with no detectable alteration.[95]

Risk and epidemiology

Exposure to asbestos in the form of fibers is always considered dangerous. Working with, or exposure to, material that is friable, or materials or works that could cause release of loose asbestos fibers, is considered high risk. However, in general, people who become ill from inhaling asbestos have been regularly exposed in a job where they worked directly with the material.

According to the National Cancer Institute, "A history of asbestos exposure at work is reported in about 70 percent to 80 percent of all cases. However, mesothelioma has been reported in some individuals without any known exposure to asbestos."[96] A paper published in 1998, in the American Journal of Respiratory and Critical Care Medicine, concurs, and comments that asbestosis has been reported primarily in asbestos workers, and appears to require long-term exposure, high concentration for the development of the clinical disease. There is also a long latency period (the time taken between harmful contact and emergence of the actual resulting illness) of about 12 to 20 years,[97] and potentially up to 40 years.

The most common diseases associated with chronic exposure to asbestos are asbestosis and mesothelioma.[98]

According to OSHA,[99] "there is no 'safe' level of asbestos exposure for any type of asbestos fiber.[100][101] Asbestos exposures as short in duration as a few days have caused mesothelioma in humans. Every occupational exposure to asbestos can cause injury or disease; every occupational exposure to asbestos contributes to the risk of getting an asbestos related disease."[99][102][103]

Safety and exposure prevention

Asbestos exposure becomes an issue if asbestos containing materials become airborne, such as due to deterioration or damage. Building occupants may be exposed to asbestos, but those most at risk are persons who purposely disturb materials, such as maintenance or construction workers. Housekeeping or custodial employees may be at an increased risk as they may potentially clean up damaged or deteriorated asbestos containing materials without knowing that the material contains asbestos. Asbestos abatement or remediation workers and emergency personnel such as firefighters may also become exposed.[104] Asbestos-related diseases have been diagnosed in asbestos workers' family members, and in residents who live close to asbestos mines or processing plants.[105]

Common building materials containing asbestos

Currently in the United States, several thousand products manufactured and/or imported today still contain asbestos. In many parts of the industrialized world, particularly the European Union, asbestos was phased out of building products beginning in the 1970s with most of the remainder phased out by the 1980s. Even with an asbestos ban in place, however, asbestos may be found in many buildings that were built and/or renovated from the late 1800s through the present day.

Residential building materials containing asbestos include a variety of products, such as: stipple used in textured walls and ceilings; drywall joint filler compound; asbestos contaminated vermiculite, vinyl floor tile; vinyl sheet flooring; window putty; mastic; cement board; asbestos cement pipes and flues; furnace tape; and stucco. Asbestos is widely used in roofing materials, mainly corrugated asbestos cement roof sheets and asbestos shingles sometimes called transite. Other sources of asbestos-containing materials include fireproofing and acoustic materials.[106]

Identification and assessment

A fiber cannot be identified or ruled out as asbestos, either using the naked eye or by simply looking at a fiber under a regular microscope. The most common methods of identifying asbestos fibers are by using polarized light microscopy (PLM) or transmission electron microscopy (TEM). PLM is less expensive, but TEM is more precise and can be used at lower concentrations of asbestos.

If asbestos abatement is performed, completion of the abatement is verified using visual confirmation and may also involve air sampling. Air samples are typically analyzed using phase contrast microscopy (PCM). PCM involves counting fibers on a filter using a microscope. Airborne occupational exposure limits for asbestos are based on using the PCM method.

The American Conference of Governmental Industrial Hygienists has a recommended Threshold Limit Value (TLV) for asbestos of 0.1 fibers/mL over an 8-hour shift. OSHA in the United States and occupational health and safety regulatory jurisdictions in Canada use 0.1 fibers/mL over an 8-hour shift as their exposure limits.[107]

Environmental asbestos

Asbestos can be found naturally in the air outdoors and in some drinkable water, including water from natural sources.[108] Studies have shown that members of the general (nonoccupationally exposed) population have tens of thousands to hundreds of thousands of asbestos fibers in each gram of dry lung tissue, which translates into millions of fibers and tens of thousands of asbestos bodies in every person's lungs.[109]

Asbestos from natural geologic deposits is known as "naturally occurring asbestos" (NOA). Health risks associated with exposure to NOA are not yet fully understood, and current US federal regulations do not address exposure from NOA. Many populated areas are in proximity to shallow, natural deposits which occur in 50 of 58 California counties and in 19 other US states. In one study, data was collected from 3,000 mesothelioma patients in California and 890 men with prostate cancer, a malignancy not known to be related to asbestos. The study found a correlation between the incidence of mesotheliomas and the distance a patient lived from known deposits of rock likely to include asbestos; the correlation was not present when the incidence of prostate cancer was compared with the same distances. The risk of mesothelioma declined by 6% for every 10 km (6.2 mi) that an individual had lived away from a likely asbestos source.[110]

Portions of El Dorado County, California are known to contain natural amphibole asbestos formations at the surface.[110][111] The USGS studied amphiboles in rock and soil in the area in response to an EPA sampling study and subsequent criticism of the EPA study. The EPA study was refuted by its own peer reviewers and never completed or published. The study found that many amphibole particles in the area meet the counting rule criteria used by the EPA for chemical and morphological limits, but do not meet morphological requirements for commercial-grade-asbestos. The executive summary pointed out that even particles that do not meet requirements for commercial-grade-asbestos may be a health threat and suggested a collaborative research effort to assess health risks associated with "Naturally Occurring Asbestos."

However, the main criticism pointed at EPA was that their testing was conducted in small isolated areas of El Dorado where there were no amphibole asbestos deposits, thus the language regarding amphibole, nonfibrous "particles". Actual surface amphibole deposits in residential areas were ignored for testing purposes. Because of this, no final findings were published by ATSDR.[112]

A great deal of Fairfax County, Virginia was also found to be underlaid with tremolite. The county monitored air quality at construction sites, controlled soil taken from affected areas, and required freshly developed sites to lay 6 inches (150 mm) of clean, stable material over the ground.[110]

Globally, samples collected from Antarctic ice indicate chrysotile asbestos has been a ubiquitous contaminant of the environment for at least 10,000 years. Snow samples in Japan have shown ambient background levels are one to two orders of magnitude higher in urban than in rural areas. Higher concentrations of airborne asbestos fibers are reported in urban areas where there is more ACM (asbestos containing materials) and mechanisms of release (vehicles braking and weathering of asbestos cement materials); concentrations in the range of 1–20 ng/m3 have been reported. Fibers longer than 5μm are rarely found in rural areas. Ambient concentrations using TEM analysis have been based on mass measurements.[113]

Biological interactions

Mechanisms of carcinogenicity

Stanton and Layard hypothesized in 1977–78 that toxicity of fibrous materials is not initiated by chemical effects;[114] that is, any trigger-effects of asbestos must presumably be physical, such as mechanical damage which might disrupt normal cell activity—especially mitosis.

There is experimental evidence that very slim fibers (<60 nm, <0.06 μm in breadth) tangle destructively with chromosomes (being of comparable size).[115][116] This is likely to cause the sort of mitosis disruption expected in cancer.

Chemistry

Asbestos fibers (SEM micrograph)

Individual asbestos fibers are invisible to the unaided human eye because their size is about 3–20 µm wide and can be as slim as 0.01 µm. Human hair ranges in size from 17 to 181 µm in breadth.[117] Fibers ultimately form because when these minerals originally cooled and crystallized, they formed by the polymeric molecules lining up parallel with each other and forming oriented crystal lattices. These crystals thus have three cleavage planes, and in this case, there are two cleavage planes which are much weaker than the third. When sufficient force is applied, they tend to break along their weakest directions, resulting in a linear fragmentation pattern and hence a fibrous form. This fracture process can keep occurring and one larger asbestos fiber can ultimately become the source of hundreds of much thinner and smaller fibers.

When fibers or asbestos structures from asbestos containing materials (ACM) become airborne, the process is called primary release. Primary release mechanisms include abrasion, impaction, fallout, air erosion, vibration, and fire damage. Secondary release occurs when settled asbestos fibers and structures are resuspended as a result of human activities. In unoccupied buildings or during unoccupied periods, fiber release typically occurs by fallout or is induced by vibration or air erosion.[113]

Friability of a product containing asbestos means that it is so soft and weak in structure that it can be broken with simple finger crushing pressure. Friable materials are of the most initial concern because of their ease of damage. The forces or conditions of usage that come into intimate contact with most non-friable materials containing asbestos are substantially higher than finger pressure.

Smoking and asbestos

Smoking has a supra-additive effect in increasing the risk of lung cancer in those exposed to asbestos.[118] Studies have shown an increased risk of lung cancer among smokers who are exposed to asbestos compared to nonsmokers.[119]

Asbestos-related diseases

Diseases commonly associated with asbestos include:

It is important to consult a doctor, particularly if the following symptoms develop: shortness of breath, wheezing or hoarseness, persistent cough that worsens over time, blood in fluid coughed up, pain or tightening in chest, difficulty swallowing, swelling of neck or face, decreased appetite, weight loss, fatigue or anemia.[120]

History of health concerns and regulation

For additional chronological citations, see also, List of asbestos disease medical articles

Until 1900

Early concern in the modern era on the health effects of asbestos exposure can be found in several sources. Among the earliest were reports in Britain. The annual reports of the Chief Inspector of Factories in 1898 included a report from Lucy Deane which stated that asbestos had "easily demonstrated" health risks.[121][122]

At about the same time, what was probably the first study of mortality among asbestos workers was reported in France.[123] While the study describes the cause of death as chalicosis, a generalized pneumoconiosis, the circumstances of the employment of the fifty workers whose death prompted the study suggest that the root cause was asbestos or mixed asbestos-cotton dust exposure.

1900s–1910s

Micrograph demonstrating asbestosis of the lung (ferruginous bodies). H&E stain.

Awareness of asbestos-related diseases can be found in the early 1900s, when London doctor H. Montague Murray conducted a post mortem exam on a young asbestos factory worker who died in 1899. Dr. Murray gave testimony on this death in connection with an industrial disease compensation hearing. The post-mortem confirmed the presence of asbestos in the lung tissue, prompting Dr. Murray to express as an expert opinion his belief that the inhalation of asbestos dust had at least contributed to, if not actually caused, the death of the worker.[124]

The record in the United States was similar. Early observations were largely anecdotal in nature and did not definitively link the occupation with the disease, followed by more compelling and larger studies that strengthened the association. One such study, published in 1918, noted:

All of these processes unquestionably involve a considerable dust hazard, but the hygienic aspects of the industry have not been reported upon. It may be said, in conclusion, that in the practice of American and Canadian life insurance companies, asbestos workers are generally declined on account of the assumed health-injurious conditions of the industry.[125]

1920s–1930s

Widespread recognition of the occupational risks of asbestos in Britain was reported in 1924 by a Dr. Cooke, a pathologist, who introduced a case description of a 33-year-old female asbestos worker, Nellie Kershaw, with the following: "Medical men in areas where asbestos is manufactured have long suspected the dust to be the cause of chronic bronchitis and fibrosis ..."[126] Dr. Cooke then went on to report on a case in 1927 involving a 33-year-old male worker who was the only survivor out of ten workers in an asbestos carding room. In the report he named the disease "asbestosis".[127]

Dr. Cooke's second case report was followed, in the late 1920s, by a large public health investigation (now known as the Merewether report after one of its two authors) that examined some 360 asbestos-textile workers (reported to be about 15% of the total comparable employment in Britain at the time) and found that about a quarter of them suffered from pulmonary fibrosis.[128] This investigation resulted in improved regulation of the manufacturing of asbestos-containing products in the early 1930s. Regulations included industrial hygiene standards, medical examinations, and inclusion of the asbestos industry into the British Workers' Compensation Act.[129]

The first known U.S. workers' compensation claim for asbestos disease was in 1927. In 1930, the first reported autopsy of an asbestosis sufferer was conducted in the United States and later presented by a doctor at the Mayo Clinic, although in this case the exposure involved mining activities somewhere in South America.[130]

In 1930, the major asbestos company Johns-Manville produced a report, for internal company use only, about medical reports of asbestos worker fatalities.[131] In 1932, a letter from U.S. Bureau of Mines to asbestos manufacturer Eagle-Picher stated, in relevant part, "It is now known that asbestos dust is one of the most dangerous dusts to which man is exposed."[132]

In 1933, Metropolitan Life Insurance Co. doctors found that 29% of workers in a Johns-Manville plant had asbestosis.[131] Likewise, in 1933, Johns-Manville officials settled lawsuits by 11 employees with asbestosis on the condition that the employees' lawyer agree to never again "directly or indirectly participate in the bringing of new actions against the Corporation."[132] In 1934, officials of two large asbestos companies, Johns-Manville and Raybestos-Manhattan, edited an article about the diseases of asbestos workers written by a Metropolitan Life Insurance Company doctor. The changes downplayed the danger of asbestos dust.[132] In 1935, officials of Johns-Manville and Raybestos-Manhattan instructed the editor of Asbestos magazine to publish nothing about asbestosis.[132] In 1936, a group of asbestos companies agreed to sponsor research on the health effects of asbestos dust, but required that the companies maintain complete control over the disclosure of the results.[131]

1940s

In 1942, an internal Owens-Corning corporate memo referred to "medical literature on asbestosis ... scores of publications in which the lung and skin hazards of asbestos are discussed."[131] Testimony given in a federal court in 1984 by Charles H. Roemer, formerly an employee of Unarco, described a meeting in the early 1940s between Unarco officials, J-M President Lewis H. Brown and J-M attorney Vandiver Brown. Roemer stated, "I'll never forget, I turned to Mr. Brown, one of the Browns made this crack (that Unarco managers were a bunch of fools for notifying employees who had asbestosis), and I said, 'Mr. Brown, do you mean to tell me you would let them work until they dropped dead?' He said, 'Yes. We save a lot of money that way.'"[133] In 1944, a Metropolitan Life Insurance Company report found 42 cases of asbestosis among 195 asbestos miners.[131]

1950s

In 1951, asbestos companies removed all references to cancer before allowing publication of research they sponsored.[134] In 1952, Dr. Kenneth Smith, Johns-Manville medical director, recommended (unsuccessfully) that warning labels be attached to products containing asbestos. Later, Smith testified: "It was a business decision as far as I could understand ... the corporation is in business to provide jobs for people and make money for stockholders and they had to take into consideration the effects of everything they did and if the application of a caution label identifying a product as hazardous would cut into sales, there would be serious financial implications."[135]

In 1953, National Gypsum's safety director wrote to the Indiana Division of Industrial Hygiene, recommending that acoustic plaster mixers wear respirators "because of the asbestos used in the product." Another company official noted that the letter was "full of dynamite" and urged that it be retrieved before reaching its destination. A memo in the files noted that the company "succeeded in stopping" the letter, which "will be modified."[136]

1960s–1980s

Through the 1970s, asbestos was used to fireproof roofing and flooring, for heat insulation, and for a variety of other purposes. The material was used in fire-check partitioning and doors on North Sea Oil Production Platforms and Rigs.

During the mid-to late 1980s, public health concern focused on potential asbestos fiber exposures of building occupants and workers in buildings containing asbestos containing building materials (ACBM) and their risks of developing lung cancer or mesothelioma. As a consequence, the Health Effects Institute (Cambridge, MA) convened a panel to evaluate the lifetime cancer risk of general building occupants as well as service workers.[137]

Modern regulation

Main article: Asbestos and the law
United States
Researcher using a fiber length classifier to produce length-selected fibers of asbestos for toxological studies.

The United States remains one of the few developed countries to not completely ban asbestos[138] which is banned its use for certain items, though it is legal for use in products such as clothing, pipeline wraps, vinyl floor tiles, millboards, cement pipes, disk brake pads, gaskets and roof coatings.[139]

In 1989 the EPA issued the Asbestos Ban and Phase Out Rule but in 1991, asbestos industry supporters challenged and overturned the ban in a landmark lawsuit: Corrosion Proof Fittings v. the Environmental Protection Agency. Although the case resulted in several small victories for asbestos regulation, the EPA ultimately did not put an end to asbestos use. This ruling leaves many consumer products that can still legally contain trace amounts of asbestos. For a clarification of products which legally contain asbestos, read the EPA's clarification statement.[140]

In 2010, Washington State banned asbestos in automotive brakes starting in 2014.[141] The Occupational Safety and Health Administration (OSHA), has set limits of 100,000 fibers with lengths greater than or equal to 5 µm per cubic meter of workplace air for eight-hour shifts and 40-hour work weeks.[142]

Canada

In Canada, asbestos is not banned,[143] though its use has declined since the mid-1970s and early 1980s. Products containing asbestos are regulated by the Asbestos Products Regulation (SOR 2007/260).[144]

United Kingdom

In the United Kingdom, blue and brown asbestos materials were banned outright in 1985 while the import, sale and second hand reuse of white asbestos was outlawed in 1999. The 2012 Control of Asbestos Regulations state that owners of non-domestic buildings (e.g., factories and offices) have a "duty to manage" asbestos on the premises by making themselves aware of its presence and ensuring the material does not deteriorate, removing it if necessary. Employers, e.g. construction companies, whose operatives may come into contact with asbestos must also provide annual asbestos training to their workers.[145]

New Zealand

In 1984, the import of raw amphibole (blue and brown) asbestos into New Zealand was banned. In 2002 the import of chrysotile (white) asbestos was also banned.[146] In 2015 the government announced that the importation of asbestos would be completely banned with very limited exceptions (expected to be applied to replacement parts for older machines) that would be reviewed on a case-by-case basis.[147]

North-west of Nelson, in the Upper Takaka Valley is New Zealand's only commercially harvested asbestos mine. A low-grade Chrysotile was mined here from 1908 to 1917 but only 100 tons was washed and taken out by packhorse. A new power scheme enabled work to renew and between 1940 and 1949, 40 tons a month was mined by the Hume Company. This continued to 1964, when, due to the short length of its fibre, the limited commercial viability forced mining to cease.[148][149]

Australia
Asbestos Products Ltd exporting asbestos

The use of crocidolite (blue) asbestos was banned in 1967, while the use of amosite (brown) asbestos continued in the construction industry until the mid-1980s. It was finally banned from building products in 1989, though it remained in gaskets and brake linings until 31 December 2003, and cannot be imported, used or recycled.[150][151]

Asbestos continues to be a problem. Two out of three homes in Australia built between World War II and the early 1980s still contain asbestos.[152]

The union that represents workers tasked with modifying electrical meter boxes at residences stated that workers should refuse to do this work until the boxes have been inspected for asbestos,[153] and the head of the Australian Council of Trade Unions (ACTU) has called on the government to protect its citizens by ridding the country of asbestos by 2030.[154]

Handlers of asbestos materials must have a B-Class license for bonded asbestos and an A-Class license for friable asbestos.

The town of Wittenoom, in Western Australia was built around a blue asbestos mine. The entire town continues to be contaminated, and has been disincorporated, allowing local authorities to remove references to Wittenoom from maps and roadsigns.

Brazil

Despite the mining and use of asbestos reaching the country’s Supreme Court, Brazil is the world’s third-largest producer and exporter of chrysotile asbestos.[155] São Paulo State law 12.684/07 prohibits the use of any product which utilizes asbestos but many buildings are still constructed of products containing asbestos. As a result, it is estimated that up to 15,000 Brazilians die each year of exposure to asbestos.[156]

Japan

Revelations that hundreds of workers had died in Japan over the previous few decades from diseases related to asbestos sparked a scandal in mid-2005.[157] Tokyo had, in 1971, ordered companies handling asbestos to install ventilators and check health on a regular basis; however, the Japanese government did not ban crocidolite and amosite until 1995, and a near complete ban with a few exceptions on asbestos was implemented in 2006, with the remaining exceptions being removed in March 2012 for a full-fledged ban.[158]

South Korea

In May 1997, the manufacture and use of crocidolite and amosite, commonly known as blue and brown asbestos, were fully banned in South Korea.[159] In January 2009, a full-fledged ban on all types of asbestos occurred when the government banned the manufacture, import, sale, storage, transport or use of asbestos or any substance containing more than 0.1% of asbestos.[160] In 2011, South Korea became the world's sixth country to enact an asbestos harm aid act, which entitles any Korean citizen to free lifetime medical care as well as monthly income from the government if he or she is diagnosed with an asbestos-related disease.[161]

Singapore

Use of all types of asbestos has been banned in Singapore since 1989. Currently, only removal of asbestos-containing materials is allowed in Singapore and the Ministry of Manpower must be notified before work commences.

Turkey

A complete ban on asbestos in Turkey went into effect in 2011.[162]

Delayed recognition

Soviet made asbestos, after 1983. No EHS information.

In a 1998 paper, medical historian Peter Bartrip examines why awareness and legislation appear to have lagged unduly, compared to evidence of the risks of asbestos.[45] The paper concludes by agreeing with a previous paper ('Asbestos: a chronology of its origins and health effects', British Journal of Independent Medicine, 1990) and the 1930 report of Edward Mereweather (a factory medical inspector involved in the legislative investigations of the time), that despite theories suggesting a coverup and historical evidence that could be cobbled together after the fact, it is more likely that the issue was one of hindsight.

According to Bartrip, Mereweather's 1930 report identified six relevant issues:[45]:p.422

  1. Significant commercial exploitation of asbestos was still relatively new.
  2. The industry was small and employed comparatively few workers, particularly in dusty processes.
  3. The disease developed slowly and unobtrusively.
  4. The disease was easily confused with tuberculosis.
  5. Affected workers left the industry and therefore fell out of sight of Factory Inspectors.(Gee, below, states that studies "focused on factories, rather than users")
  6. Medical research had concentrated on dusts containing free silica.

There had been earlier discussion, notably a few brief comments by Factory Inspectors Adelaide Anderson and Edgar Collis during 1898–1911, described by Bartrip as minor reports of no great substance in otherwise very large reports about factory workers.[45]:p.423–424 As a result, he concludes that between 1898 and the late 1920s, all that can be said is that, "the dangers of the material were slowly beginning to be appreciated".[45]:p.423–424 As of 1927, the Senior Medical Inspector had reported that the effect of asbestos dust inhalation "was as yet imperfectly understood".[45]:p.422–423

A second paper, by Gee & Greenberg, noted additional factors:[2]

  1. The discovery of carcinogenicity of smoking at approximately the same time as the 1950s asbestos studies, had made it far harder to prove a proposed causative link for asbestos.
  2. Anecdotal evidence and hearsay noted by local doctors and inspectors, was not pursued or taken seriously.
  3. "Negative" cancer studies were used, which are poor at detecting statistically significant pathology rates unless they include follow-up for around 30 years.
  4. A "latency lacuna" exists and contributes to complacency (also reported by Knox 1965) – as the consequences of exposure take decades to arise, by the time they occur it is possible to argue convincingly that "standards have improved" and that therefore the risk is eliminated; however this in turn is not confirmed for another 30 years by which time the same argument can be raised again. Compared to short-term needs, a "speculative" risk not yet confirmed may carry less weight, until long after the time when action could be taken.
  5. Long term surveys and sanction regimes failed to match short term pressures within politics, nor those within industry; in the case of asbestos they were inadequate.
  6. Fallacious arguments were used, such as the observation that many asbestos workers remained healthy into old age as evidence of lack of risk or lack of harm. As even the most harmful occupation can have numerous apparent healthy survivors this is an example of "absence of evidence" being interpreted as "evidence of absence".
  7. As late as 1967, even The Lancet was capable of writing that "it would be ludicrous to outlaw this valuable and often irreplaceable material in all circumstances (as) asbestos can save more lives than it can possibly endanger".

Litigation

Main article: Asbestos and the law

Litigation related to asbestos is regarded as one of the largest litigation cases in legal history in terms of duration, claim size, and scope. Factors responsible for this include:

  1. Asbestos use was extremely widespread: It was used across many sectors, countries, industries and uses. It was also widespread in society itself, being used not in limited "niche" areas but within many everyday products, in housing, fire protection, and even decorative material such as Artex, as well as numerous other ways. Over 50% of homes in some countries contained asbestos even after its ban there.[37] So it was somewhat ubiquitous;
  2. Knowledge or suspicion of health issues existed for a long time: The health issues related to asbestos were known, suspected, or reported, for decades, with modern medical coverage dating back to the 19th century.
  3. Impact was severe, and included factors that tend to lead to high claims: serious and fatal disease; also apart from death the costs include long term care and disability, care costs, lifetime loss of income, and other high value compensations.
  4. Relatively easy to be at risk: asbestos-related diseases are caused by inhaling tiny airborne fibers, therefore any activity related to asbestos that led to loose dust or fibers could potentially cause disease (Secondary asbestosis). As a result, illness occurred not only in the widespread primary industries using asbestos, such as the asbestos mining and processing businesses, but also across industries that might handle their products (construction and demolition, repairs, fire safety), persons who disturbed asbestos products in their homes or workplaces, and even those who laundered clothing used by asbestos workers.[163]
  5. Illnesses arise long after exposure: asbestos related diseases can arise decades after actual exposure.
  6. Asbestos industry alleged misconduct: alleged concealing, distorting, and suppressing of risk related information, by asbestos related businesses.

As of 1999, trends indicate that the worldwide rate at which people are diagnosed with asbestos-related diseases will likely increase through the next decade.[164][165] Analysts have estimated that the total cost of asbestos litigation in the USA alone is over $250 billion.[166]

In the United Kingdom, more people died in 2011 from asbestos-related causes (4721) than in all types of traffic and transport accidents combined, and new reported cases were estimated at 2126.[167]

In the United States, asbestos litigation is the longest, most expensive mass tort in U.S. history, involving more than 8,400 defendants and 730,000 claimants as of 2002 according to the RAND Corporation,[168] and at least one defendant reported claim counts in excess of $800,000 in 2006.[169]

The federal legal system in the United States has dealt with numerous counts of asbestos-related suits, which often included multiple plaintiffs with similar symptoms. In 1999 there were 200,000 related cases pending in the federal court system of the United States.[170] Further, it is estimated that within the next 40 years, the number of cases may increase to 700,000. These numbers help explain how there are thousands of current pending cases. Litigation of asbestos materials has been slow. Companies sometimes counter saying that health issues do not currently appear in their worker or workers, or sometimes are settled out of court.[171]

The volume of the asbestos liability has concerned manufacturers and insurers and reinsurers.[172] The amounts and method of allocating compensation have been the source of many court cases, and government attempts at resolution of existing and future cases.

In 1999 the United States considered but did not enact the Fairness in Asbestos Compensation Act.[173] Between 1981 and the present, many asbestos companies have filed for bankruptcy.[174] While companies filed for bankruptcy, this limited payouts to those who were actually affected by the material. Christopher Edley, Jr. commented what the 1999 act ultimately would have done if passed would be to "limit punitive damages that seek retribution for the decisions of long-dead executives for conduct that took place decades ago."[173]

Litigation exists outside the United States in England, Scotland, Ireland, the Netherlands, France, Italy, and Japan among other nations (though the amounts awarded in these countries are not as large as in the US). See the companion article for further information.

In Australia a significant and controversial case was brought against the industrial building materials company James Hardie, which had mined and sold asbestos related products for many years.

Criticisms of asbestos regulation

Asbestos regulation critics include the asbestos industry[175] and JunkScience.com owner Steven Milloy. Critics argue that the outright banning of dangerous products by government regulation is inferior to keeping the products while innovating ways to prevent the lethal effects. They argue that the product benefits are too important to ignore; instead of banning the products, ways should be found to eliminate risks to those who work with the products.

Some criticisms were subsequently discredited. An example is the discredited suggestion by Dixy Lee Ray and others that the Space Shuttle Challenger disintegrated because the maker of O-ring putty was pressured by the EPA into ceasing production of asbestos-laden putty.[176][177] However, the putty used in Challenger's final flight contained asbestos, and failures in the putty were not responsible for the failure of the O-ring that led to loss of the shuttle.[177][178]

Asbestos was also used in the first forty floors of the World Trade Center north tower causing an airborne contamination among lower Manhattan after the towers collapsed in the September 11 attacks, causing Steven Milloy of the libertarian Cato Institute to suggest that the World Trade Center towers could still be standing or at least would have stood longer had a 1971 ban not stopped the completion of the asbestos coating above the 64th floor.[179][180] This was not considered in the National Institute of Standards and Technology's report on the towers' collapse, on the basis that all fireproofing materials, regardless of their construction, are required to obtain a fire-resistance rating prior to installation, and all fiber-based lightweight commercial spray fireproofing materials are vulnerable to the dispersive effects of high speed/high energy impacts, as these are outside the fire testing upon which all ratings are based. Therefore, asbestos would have made little or no difference in preventing the towers' collapse, if used as fireproofing, and upon collapse any asbestos, however used, would still have been largely dispersed into the air within the massive dust cloud.[181][182][183]

Substitutes for asbestos in construction

Fiberglass insulation was invented in 1938 and is now the most commonly used type of insulation material. The safety of this material is also being called into question due to similarities in material structure.[184] However, the International Agency for Research on Cancer removed fiberglass from its list of possible human carcinogens in 2001[185] and a scientific review article from 2011 claimed epidemiology data was inconsistent and concluded that the IARC's decision to downgrade the carcinogenic potential of fiberglass was valid (however, this study was funded by sponsored research contract from the North American Insulation Manufacturer’s Association).[186]

In 1978, a highly texturized fiberglass fabric was invented by Bal Dixit, called Zetex. This fabric is lighter than asbestos, but offers the same bulk, thickness, hand, feel, and abrasion resistance as asbestos. The fiberglass was texturized to eliminate some of the problems that arise with fiberglass, such as poor abrasion resistance and poor seam strength.[187]

In Europe mineral wool and glass wool are the main insulators in houses.

Many companies that produced asbestos-cement products that were reinforced with asbestos fibers have developed products incorporating organic fibers. One such product was known as "Eternit" and another "Everite" now use "Nutec" fibers which consist of organic fibers, portland cement and silica. Cement-bonded wood fiber is another substitute. Stone fibers are used in gaskets and friction materials.

Another potential fiber is polybenzimidazole or PBI fiber. Polybenzimidazole fiber is a synthetic fiber with high melting point of 760 °C (1,400 °F) that also does not ignite. Because of its exceptional thermal and chemical stability, it is often used by fire departments and space agencies.

Recycling and disposal

Old Wailuku Post Office sealed off for asbestos removal

Asbestos alternatives for industrial use include sleeves, rope, tape, fabric, textiles and insulation batt materials made from fiberglass and silica.

In most developed countries, asbestos is typically disposed of as hazardous waste in landfill sites.

The demolition of buildings containing large amounts of asbestos based materials pose particular problems for builders and property developers – such buildings often have to be deconstructed piece by piece, or the asbestos has to be painstakingly removed before the structure can be razed by mechanical or explosive means. One such example is the Red Road Flats in Glasgow, Scotland which used huge amounts of asbestos cement board for wall panelling – here British health and safety regulations stipulate that asbestos material has to be removed to a landfill site via an approved route at certain times of the day in specially adapted vehicles.

Asbestos can be recycled by transforming it into harmless silicate glass. A process of thermal decomposition at 1000–1250 °C produces a mixture of non-hazardous silicate phases, and at temperatures above 1250 °C it produces silicate glass.[188] Microwave thermal treatment can be used in an industrial manufacturing process to transform asbestos and asbestos-containing waste into porcelain stoneware tiles, porous single-fired wall tiles, and ceramic bricks.[189]

The combination of oxalic acid with ultrasound fully degrades chrysotile asbestos fibers.[190]

See also

Mineralogy

Other asbestos-related topics

References

  1. 1 2 3 4 Alleman, James E.; Mossman, Brooke T (July 1997). "Asbestos Revisited" (PDF). Scientific American. 277: 54–57. Bibcode:1997SciAm.277a..70A. doi:10.1038/scientificamerican0797-70. Archived from the original (PDF) on 3 June 2010. Retrieved 26 November 2010.
  2. 1 2 3 4 5 Gee, David; Greenberg, Morris (9 January 2002). "Asbestos: from 'magic' to malevolent mineral" (PDF). Late lessons from early warnings: the precautionary principle 1896–2000. Copenhagen: EEA (22): 52–63. ISBN 92-9167-323-4. Retrieved 20 April 2010.
  3. Position Statement on Asbestos from the Joint Policy Committee of the Societies of Epidemiology (JPC-SE), approved June 4, 2012
  4. BrancheArbejdsmiljøRådet for Bygge & Anlæg (February 2009). Når du støder på asbest. Branchevejledning (in Danish). Copenhagen. pp. 6–7. ISBN 978-87-7952-118-6.
  5. Best, Richard. "Liability for Asbestos Related Disease in England and Germany" (PDF). germanlawjournal.com. Retrieved July 29, 2015.
  6. 1 2 Bostock, John (1856). "Asbestinon". The Natural History of Pliny. Vol. IV. Translated by Riley, H. T. London: Henry G. Bohn. p. 137. Retrieved 26 November 2010.
  7. Shorter Oxford English Dictionary (5th ed.). Oxford University Press. 2002.
  8. "Asbestos, CAS No. 1332-21-4" (PDF). Archived from the original (PDF) on 29 April 2011.
  9. Berman, D Wayne; Crump, Kenny S (2003). Final draft:technical support document for a protocol to assess asbestos-related risk. Washington DC: U.S. Environmental Protection Agency. p. 474.
  10. 1 2 "What is asbestos?". American Cancer Society. Retrieved 12 January 2010.
  11. 1 2 "Asbestos – History and Uses". Wisconsin Department of Natural Resources. 31 August 2007. Archived from the original on 28 December 2007.
  12. 1 2 Occupational Exposure to Asbestos, Tremolite, Anthophyllite and Actinolite. U.S. Department of Labor. 1992
  13. Asbestos mining stops for first time in 130 years. Canadian Broadcasting Corporation. 24 November 2011
  14. Dougherty, Kevin (20 November 2012) Quebec Budget: Finance Minister Nicolas Marceau tightens spending, levies new taxes. Ottawa Citizen
  15. "Asbestos" (PDF). U.S. Geological Survey Mineral Resources Program. January 2010. Retrieved 25 August 2016.
  16. "Asbestos" (PDF). U.S. Geological Survey Mineral Resources Program. January 2016. Retrieved 25 August 2016.
  17. 1 2 Ross, Malcolm & Nolan, Robert P (2003). "History of asbestos discovery and use and asbestos-related disease in context with the occurrence of asbestos within the ophiolite complexes". In Dilek, Yildirim & Newcomb, Sally. Ophiolite Concept and the Evolution of Geological Thought. Special Paper 373. Boulder, Colorado: Geological Society of America. ISBN 0-8137-2373-6.
  18. Caley, Earl R.; Richards, John F. C. (1956). "Commentary". Theophrastus on Stones: Introduction, Greek Text, English Translation, and Commentary. Graduate School Monographs: Contributions in Physical Science, No. 1. Columbus, OH: The Ohio State University. pp. 87–88. Retrieved 31 January 2013. Moore thought that Theophrastus was really referring to asbestos. The color of the stone makes this unlikely, though its structure makes it less improbable, since some forms of decayed wood do have a fibrous structure like asbestos ... It is, however, unlikely that Theophrastus is alluding to asbestos, since the mineral does not occur in the locality mentioned ... It is much more probable that Theophrastus is referring to the well-known brown fibrous lignite.
  19. Barbalace, Roberta C. (22 October 1995). "History of Asbestos". Environmentalchemistry.com. Retrieved 12 January 2010.
  20. Maines, Rachel (2005). Asbestos and Fire: Technological Trade-offs and the Body at Risk. Rutgers University Press. p. 7. ISBN 0-8135-3575-1.
  21. New Encyclopædia Britannica (2003), vol. 6, p. 843
  22. Dehkhoda Persian Dictionary
  23. 1 2 "University of Calgary". Iras.ucalgary.ca. 30 September 2001. Retrieved 12 January 2010.
  24. A Brief History of Asbestos Use and Associated Health Risks EnvironmentalChemistry.com website
  25. "Fantastically Wrong: The Legend of the Homicidal Fire-Proof Salamander". WIRED. Retrieved 2016-05-03.
  26. "Science: Asbestos". Time. 29 November 1926. Archived from the original on 31 January 2011. Retrieved 11 January 2011.
  27. Polo, Marco; A C. Moule; Paul Pelliot (1938). Marco Polo: the Description of the World: A.C. Moule & Paul Pelliot. G. Routledge & Sons. pp. 156–57. Retrieved 31 January 2013.
  28. 1 2 Chambers, Ephraim (1728). Cyclopædia. Retrieved 28 November 2016.
  29. Pliny the Elder. Ch. 4.—LINEN MADE OF ASBESTOS. In The Natural History
  30. 1 2 3 Selikoff, Irving J. (1978). Asbestos and Disease. Elsevier. pp. 8–20. ISBN 9780323140072.
  31. "Asbestos & Clydebank". Clydebank Asbestos Group.
  32. The storied province of Quebec : past and present. Volume V (1931) Wood, WCH; Atherton, WH; Conklin, EP pp. 814–5
  33. Udd, John (1998) "A Chronology of Minerals Development in Canada" National Resources Canada
  34. Society for Mining, Metallurgy, and Exploration (U.S.) (2006). Industrial minerals & rocks: commodities, markets, and uses. p. 195. ISBN 978-0-87335-233-8.
  35. "OATS, FRANCIS of GOLANT". South African Who's Who 1916. November 2006.
  36. Betts, John (May–June 2009). "The Minerals of New York City". Rocks & Mineral Magazine. 84 (3): 204–252. doi:10.3200/RMIN.84.3.204-223. Retrieved 21 April 2011.
  37. 1 2 Don, Andrew (1 May 2011) Asbestos: the hidden health hazard in millions of homes. The Guardian.
  38. Morinaga, Kenji. "Asbestos in Japan" (PDF). European Conference 2003. Archived from the original (PDF) on 19 July 2011. Retrieved 12 January 2010.
  39. Luus, K (2007). "Asbestos: Mining exposure, health effects and policy implications". McGill journal of medicine : MJM : an international forum for the advancement of medical sciences by students. 10 (2): 121–6. PMC 2323486Freely accessible. PMID 18523609.
  40. 1 2 "The History of Asbestos in the UK – The story so far ... Asbestos uses and regulations timeline" (PDF). silverdell.plc.uk. 30 April 2012.
  41. Selikoff, Irving J. (1978). Asbestos and Disease. Elsevier. pp. 20–32. ISBN 9780323140072.
  42. 1 2 Cooke, W.E. (26 July 1924). "FIBROSIS OF THE LUNGS DUE TO THE INHALATION OF ASBESTOS DUST". Br Med J. London: BMA. 2 (3317): 140–2, 147. doi:10.1136/bmj.2.3317.147. ISSN 0959-8138. PMC 2304688Freely accessible. PMID 20771679.
  43. 1 2 3 Selikoff, Irving J.; Greenberg, Morris (20 February 1991). "A Landmark Case in Asbestosis" (PDF). JAMA. Chicago, Illinois: AMA. 265 (7): 898–901. doi:10.1001/jama.265.7.898. ISSN 0098-7484. PMID 1825122. Retrieved 20 April 2010.
  44. Bartrip, P.W.J. (2001). The Way from Dusty Death: Turner and Newall and the Regulation of the British Asbestos Industry 1890s–1970. London: The Athlone Press. p. 12. ISBN 0-485-11573-5.
  45. 1 2 3 4 5 6 Bartrip, Peter (1998). "Too little, too late? The home office and the asbestos industry regulations, 1931". Med. Hist. London: The Wellcome Trust Centre for the History of Medicine at UCL. 42 (4): 421–438. doi:10.1017/s0025727300064334. ISSN 0025-7273. PMC 1044071Freely accessible. PMID 10505397.
  46. Published as Report on the effects of asbestos dust on the lungs and dust suppression in the asbestos industry. Part I. Occurrence of pulmonary fibrosis and other pulmonary affections in asbestos workers. Part II. Processes giving rise to dust and methods for its suppression. London: HMSO, 1930.
  47. "Classic papers in Public Health: Annual Report of the Chief Inspector of Factories for the Year 1947 by E.R.A. Merewether – The Pump Handle". scienceblogs.com. 21 October 2013. Retrieved 21 October 2013.
  48. Burke, Bill (6 May 2001) "Shipbuilding's Deadly Legacy: Introduction: Horrible Toll Could Have Been Avoided" Virginian-Pilot Norfolk, Virginia (newspaper); from Internet Archive
  49. 1 2 Burke, Bill (6 May 2001) "Shipyards, a Crucible for Tragedy: Part 1: How the war created a monster" Virginian-Pilot Norfolk, Virginia (newspaper)
  50. Lavelle, Peter (29 April 2004) Australian Broadcasting Corporation Fact File: Asbestos. Australian Broadcasting Corporation
  51. Caustic Soda Production. Olin Corporation
  52. Hearst Magazines (July 1935). Popular Mechanics. Hearst Magazines. pp. 62–. ISSN 0032-4558. Retrieved 10 January 2012.
  53. "NOHSC declares prohibition on use of chrysotile asbestos". Ascc.gov.au. 17 October 2001. Archived from the original on 7 June 2008.
  54. Cigarette Filter Danger. Snopes.com. Retrieved 10 January 2012.
  55. Otway, Helen (2005). "Unbelievable Random Facts". 1001 unbelievable Facts. Capella. p. 191. ISBN 978-1-84193-783-0.
  56. Asbestos in Fake Snow Wizard of Oz. Retrieved 19 December 2014
  57. 947 F. 2d 1201 – Corrosion Proof Fittings v. Environmental Protection Agency. Openjurist.org. Retrieved 10 January 2012.
  58. Where can asbestos be found, Asbestos Surveying Ltd, Birmingham, UK, 2 08 2008. Retrieved 29 Dec 2008.
  59. Artex website, Click the "Asbestos in Artex" button.
  60. Control of Asbestos Regulations 2006, Health and Safety Executive, London, UK, Undated. Retrieved 29 Dec 2008.
  61. History of Asbestos, Asbestos.com, retrieved 2016-04-07
  62. 1 2 "Asbestos in the home booklet. Wrekin housing trust." (PDF). Retrieved 26 October 2010.
  63. Asbestos Removal. Laws.sandwell.gov.uk (1 April 2005). Retrieved 10 January 2012.
  64. 1 2 Stephenson, John B. (20 Jun 2007). World Trade Center : preliminary observations on EPA's second program to address indoor contamination (GAO-07-806T) : testimony before the Subcommittee on Superfund and Environmental Health, U.S. Senate Committee on Environment and Public Works. Washington, D.C.: U.S. Government Accountability Office.
  65. 1 2 3 Pilkington, Ed (11 November 2009). "9/11's delayed legacy: cancer for many of the rescue workers". The Guardian. London. Retrieved 10 February 2010.
  66. Asbestos - Health Effects : OSH Answers. Ccohs.ca (2015-09-09). Retrieved on 2015-10-17.
  67. "EPA Asbestos Contamination In Vermiculite". Epa.gov. 28 June 2006. Archived from the original on 11 January 2010. Retrieved 12 January 2010.
  68. Meeker, G.P (2003). "The Composition and Morphology of Amphiboles from the Rainy Creek Complex, Near Libby, Montana". American Mineralogist. 88 (11–12): 1955–1969. doi:10.2138/am-2003-11-1239.
  69. "Libby Asbestos – US EPA Region 8". Epa.gov. Archived from the original on 5 February 2010. Retrieved 12 January 2010.
  70. "Risk Assessment – US EPA". Epa.gov. 22 December 2008. Retrieved 12 January 2010.
  71. Van Gosen, Bradley S., Lowers, Heather A., Sutley, Stephen J. (2004). "A USGS Study of Talc Deposits and Associated Amphibole Asbestos Within Mined Deposits of the Southern Death Valley Region, California". Pubs.usgs.gov.
  72. 1 2 3 "Major brands of kids' crayons contain asbestos, tests show". Seattle Post-Intelligencer. 23 May 2000.
  73. 1 2 Schneider, Andrew; Smith, Carol (13 June 2000). "Crayon firms agree to stop using talc" (PDF). Seattle Post-Intelligencer.
  74. "Old dispute rekindled over content of mine's talc". Seattle Post-Intelligencer. 30 May 2000.
  75. McAteer, J. Davitt Assist. Secretary for Mine Safety and Health correspondence to Andrew Schneider of the Seattle Post-Intelligencer dated 14 June 2000 – copy obtainable through records archives MSHA.
  76. Van Orden, D., R. J. Lee: Weight Percent Compositional Analysis of Seven RTV Talc Samples. Analytical Report to R. T. Vanderbilt Company, Inc. 22 November 2000. Submitted to Public Comments Record – C. W. Jameson, National Toxicology Program, 10th ROC Nominations "Talc (containing asbestiform fibers)". 4 December 2000.
  77. Nord, G. L, S. W. Axen, R. P. Nolan: Mineralogy and Experimental Animal Studies of Tremolitic Talc. Environmental Sciences Laboratory, Brooklyn College, The City University of New York. Submitted to Public Comments Record – C. W. Jameson, National Toxicology Program, 10th ROC Nominations "Talc (containing asbestiform fibers)". 1 December 2000.
  78. Kelse, J. W.; Thompson, C. Sheldon (1989). "The Regulatory and Mineralogical Definitions of Asbestos and Their Impact on Amphibole Dust Analysis". AIHA Journal. 50 (11): 613–622. doi:10.1080/15298668991375245.
  79. Wylie, A.G. (2 June 2000) Report of Investigation. Analytical Report on RTV talc submitted to R. T. Vanderbilt Company, Inc. 13 February 1987 (Submitted to Public Comments Record – C. W. Jameson, National Toxicology Program, 10th ROC Nominations "Talc (containing asbestiform fibers)".
  80. Crane, D. (26 November 1986) Letter to Greg Piacitelli (NIOSH) describing the analytical findings of the Occupational Safety and Health Administration regarding R. T. Vanderbilt Talc (In OSHA Docket H-33-d and In Public Comments Record – C. W. Jameson, National Toxicology Program, 10th ROC Nominations – 2 June 2000).
  81. Crane, D. (12 June 2000) Background Information Regarding the Analysis of Industrial Talcs. Letter to the Consumer Product Safety Commission from the Occupational Safety and Health Administration. (Appended to CPSC Staff Report on "Asbestos in Children's Crayons" Aug. 2000).
  82. McCrone Associates – Atlanta Lab.: Report on the Analysis of Paint CLS-5067-1 and Mineral Filler CLS-N-439-1. To Unspecified Paint Company 23 September 1992. (Submitted to Public Comments Record – C. W. Jameson, National Toxicology Program, 10th ROC Nominations "Talc (containing asbestiform fibers)". 2 June 2000.
  83. Langer, A. M., Nolan, R. P. (November 2000) "Mineralogical Characterization of Vanderbilt Talc Specimens & Comparison of the 1976 Rohl Talc Report to NIOSH and Analysis Performed in 1988". In Public Comments – Nat'l Toxicology Program 10th ROC review. W. Jameson NIEHS MED EC-14, 79 Alexander Drive Research Triangle Park, NC "Talc (containing asbestiform fibers)".
  84. United States Department of the Interior: Selected Silicate Minerals and Their Asbestiform Varieties by W. J. Campbell, et al. (Bureau of Mines Information Circular, I. C. 8751). Washington, D.C.: Dept. of the Interior, Bureau of Mines. (1977).
  85. Stille, WT; Tabershaw, IR (1982). "The mortality experience of upstate New York talc workers". Journal of Occupational Medicine. 24 (6): 480–4. PMID 7097380.
  86. Lamm, SH; Levine, MS; Starr, JA; Tirey, SL (1988). "Analysis of excess lung cancer risk in short-term employees". American Journal of Epidemiology. 127 (6): 1202–9. PMID 3369419.
  87. Gamble, JF (1993). "A nested case control study of lung cancer among New York talc workers". International archives of occupational and environmental health. 64 (6): 449–56. doi:10.1007/BF00517952. PMID 8458662.
  88. Dement, JM; Brown, DP (1982). "Occupational exposure to talc containing asbestos". American Industrial Hygiene Association journal. 43 (6): A24–5. PMID 7113917.
  89. Hull, M. J.; Abraham, J. L.; Case, B. W. (2002). "Mesothelioma among Workers in Asbestiform Fiber-Bearing Talc Mines in New York State". Annals of Occupational Hygiene. 46: 132–135. doi:10.1093/annhyg/46.suppl_1.132.
  90. Asbestos: elimination of asbestos-related diseases. World Health Organization. July 2014
  91. Straif, K; Benbrahim-Tallaa, L; Baan, R; Grosse, Y; Secretan, B; El Ghissassi, F; Bouvard, V; Guha, N; Freeman, C; Galichet, L; Cogliano, V; WHO International Agency for Research on Cancer Monograph Working Group (2009). "A review of human carcinogens—Part C: Metals, arsenic, dusts, and fibres" (PDF). The Lancet. Oncology. 10 (5): 453–4. doi:10.1016/S1470-2045(09)70134-2. PMID 19418618.
  92. Collegium Razmzzini 2010 Statement on Asbestos. collegiumramazzini.org
  93. Kanarek, M. S. (2011). "Mesothelioma from Chrysotile Asbestos: Update". Annals of Epidemiology. 21 (9): 688–97. doi:10.1016/j.annepidem.2011.05.010. PMID 21820631.
  94. Marbbn, C.A. (2009). "Asbestos Risk Assessment". The Journal of Undergraduate Biological Studies: 12–24.
  95. Investigation of the chrysotile fibres in an asbestos cement sample (2006) - HSL/2007/11, p.26 onward]
  96. Mesothelioma: Questions and Answers, National Cancer Institute
  97. Mossman, BT; Churg, A (1998). "Mechanisms in the Pathogenesis of Asbestosis and Silicosis". American Journal of Respiratory and Critical Care Medicine. 157 (5 Pt 1): 1666–80. doi:10.1164/ajrccm.157.5.9707141. PMID 9603153.
  98. ATSDR – Asbestos – Health Effects. (1 April 2008). ATSDR Home. Retrieved 24 January 2011
  99. 1 2 "Safety and Health Topics: Asbestos." Occupational Safety & Health Administration. United States Department of Labor. (2014)
  100. Skammeritz, E; Omland, L. H.; Johansen, J. P.; Omland, O (2011). "Asbestos exposure and survival in malignant mesothelioma: A description of 122 consecutive cases at an occupational clinic". The international journal of occupational and environmental medicine. 2 (4): 224–36. PMID 23022841.
  101. Greenberg, M; Davies, T. A. (1974). "Mesothelioma register 1967-68". British journal of industrial medicine. 31 (2): 91–104. doi:10.1136/oem.31.2.91. JSTOR 27722900. PMC 1009563Freely accessible. PMID 4830768.
  102. "Asbestos (Actinolite, amosite, anthophyllite, chrysotile, crocidolite, tremolite) (Group 1)." World Health Organization (WHO), International Agency for Research on Cancer (IARC) Monographs on the Evaluation of Carcinogenic Risks to Humans, Overall Evaluations of Carcinogenicity: An Updating of IARC Monographs Volumes 1 to 42, Supplement 7, 1998.
  103. Hodgson, J. T.; Darnton, A (2000). "The quantitative risks of mesothelioma and lung cancer in relation to asbestos exposure". The Annals of Occupational Hygiene. 44 (8): 565–601. doi:10.1093/annhyg/44.8.565. PMID 11108782.
  104. Asbestos in Schools. US EPA (28 June 2006). Retrieved 10 January 2012.
  105. Asbestos – Health Effects ATSDR – Agency for Toxic Substances and Disease Registry (1 April 2008). Retrieved 4 June 2013.
  106. Basic Information | Asbestos | US EPA (28 June 2006). Retrieved 10 January 2012.
  107. ATSDR – Asbestos – Detecting asbestos-related health problems. Atsdr.cdc.gov (1 April 2008). Retrieved 10 January 2012.
  108. "Centre for disease control article on asbestos". Atsdr.cdc.gov. Archived from the original on 14 January 2010. Retrieved 12 January 2010.
  109. "Medscape article on asbestos". Medscape.com. 14 February 2002. Archived from the original on 27 August 2012. Retrieved 12 January 2010.
  110. 1 2 3 Raloff, Janet (2006). "Dirty Little Secret". Science News. 170 (2): 26–28. doi:10.2307/4017077. JSTOR 4017077.
  111. "Not in Their Back Yard", Mother Jones, May/June 2007.
  112. Meeker, G.P.; Lowers, H.A.; Swayze, G.A.; Van Gosen, B.S.; Stutley, S.J.; Brownfield, I.K. (December 2006). "Mineralogy and Morphology of Amphiboles Observed in Soils and Rocks in El Dorado Hills, California". United States Geological Survey.
  113. 1 2 Godish, Thad (2001). Indoor Environmental Quality. New York: CRC Press. p. 40. ISBN 1-56670-402-2.
  114. Stanton, M.F. and Layard, M. (1978). The carcinogenicity of fibrous minerals. National Bureau of Standards Special Publication 506 – from Gaitherburg conference of July 1977.
  115. Voytek, P.; Anver, M.; Thorslund, T.; Conley, J.; Anderson, E. (1990). "Mechanisms of Asbestos Carcinogenicity". International Journal of Toxicology. 9 (5): 541–550. doi:10.3109/10915819009078762.
  116. Toyokuni S (2009). "Mechanisms of asbestos-induced carcinogenesis". Nagoya J. Med. Sci. 71 (1–2): 1–10. PMID 19358470.
  117. Ley, Brian (1999). "Diameter of a Human Hair". The Physics Factbook.
  118. Markowitz, SB.; Levin, SM.; Miller, A (2013). "Asbestos, asbestosis, smoking, and lung cancer. New findings from the North American insulator cohort". Am J Respir Crit Care Med. 188 (1): 90–96. doi:10.1164/rccm.201302-0257OC.
  119. Berry, G.; Newhouse, Muriell.; Turok, Mary (1972). "Combined Effect Of Asbestos Exposure And Smoking On Mortality From Lung Cancer In Factory Workers". The Lancet. 300 (7775): 476–479. doi:10.1016/S0140-6736(72)91867-3.
  120. Asbestos Exposure and Cancer Risk – National Cancer Institute. Cancer.gov. Retrieved 10 January 2012.
  121. Chief Inspector of Factories and Workshops, "Annual Report of the Chief Inspector of Factories and Workshops for the Year 1898", 1899, cited in Tweedale referenced below
  122. Deane, Lucy (1899). "Report on the health of workers in asbestos and other dusty trades" in HM Chief Inspector of Factories and Workshops, 1899, Annual Report for 1898. HMSO London. pp. 171–172.
  123. Auribault, D. (1906) "Note sur l'Hygiène et la Sécurité des Ouvriers dans les Filatures et Tissages d'Amianté (On hygiene and security of the workers in the spinning and weaving of asbestos)" in Le Bulletin de l'Inspection du Travail, pp 120–132. This summary was given by Brodeur and roughly confirmed by Merewether & Price in the report cited below.
  124. Murray, H. M. (1907) testimony before the Departmental Committee on Compensation for Industrial Diseases "Minutes of Evidence, Appendices and Index", p. 127 cited and summarized in Merewether & Price (1930).
  125. Hoffman, F. L. (1918). "Mortality from Respiratory Diseases in Dusty Trades" (PDF). Bulletin of the U.S. Bureau of Labor Statistics. 231: 176–180. Mr. Hoffman was a professional statistician, employed by Prudential with an international reputation on public health matters.
  126. Cooke, W. E. (1924). "Fibrosis of the Lungs Due to the Inhalation of Asbestos Dust". British Medical Journal. 2 (3317): 147–140.2. doi:10.1136/bmj.2.3317.147. PMC 2304688Freely accessible. PMID 20771679.
  127. Cooke, W. E. (1927). "Pulmonary Asbestosis". BMJ. 2 (3491): 1024–5. doi:10.1136/bmj.2.3491.1024. PMC 2525313Freely accessible. PMID 20773543.
  128. Merewether, E.R.A. and Price, C. W. (1930) "Report on Effects of Asbestos Dust on the Lung" H.M. Stationery Office
  129. Tweedale, Geoffrey (2001) Magic Mineral to Killer Dust, Turner & Newall and the Asbestos Hazard. Oxford University Press. p. 21. ISBN 0-19-924399-9.
  130. Mills, R. G. (July 1930). "Pulmonary Asbestosis: Report of a Case" (PDF). Minnesota Medicine: 495–499. Archived from the original (PDF) on 20 March 2012.
  131. 1 2 3 4 5 Castleman, p. 195.
  132. 1 2 3 4 Brodeur, Paul (1985). Outrageous Misconduct: The Asbestos Industry on Trial (1st ed.). Pantheon Books. ISBN 0-394-53320-8.
  133. Testimony of Charles H. Roemer, Deposition taken 25 April 1984, Johns-Manville Corp., et al. v. the United States of America, U.S. Claims Court Civ. No. 465-83C, cited in Castleman, p. 581.
  134. Castleman, p. 71.
  135. Castleman, p. 666
  136. Castleman, pp. 669–70.
  137. Asbestos in Public and Commercial Buildings: A Literature Review and Synthesis of Current Knowledge (1991). asbestos-institute.ca
  138. Leer, Ben (17 September 2012) Why Isn't Asbestos Banned in the United States?. asbestos.com
  139. U.S. Federal Bans on Asbestos. EPA.gov
  140. EPA Asbestos Materials Bans: Clarification. epa.gov. 18 May 1999
  141. Washington State Better Brakes Law. ecy.wa.gov
  142. ToxFAQs for Asbestos, Agency for Toxic Substances and Disease Registry.
  143. Canada is on the sidelines when it comes to banning asbestos trade | Toronto Star. Thestar.com (2015-02-27). Retrieved on 2015-10-17.
  144. Asbestos - What is... : OSH Answers. Ccohs.ca (2015-09-09). Retrieved on 2015-10-17.
  145. "Control of Asbetstos Regulations 2012". Health and Safety Executive (HSE). Retrieved 2012. Check date values in: |access-date= (help)
  146. Smartt, Pamela (2004). "Mortality, morbidity, and asbestosis in New Zealand: the hidden legacy of asbestos exposure". The New Zealand Medical Journal. 117 (1205): U1153. PMID 15570336.
  147. "Govt moves on asbestos-containing products". The Beehive. Retrieved 2016-06-16.
  148. "National Library of New Zealand". Grey River Argus, Volume LVII, Issue 9871, 8 January 1898, Page 4.
  149. Blair, AK (1994). The Cobb : the history of the Cobb River hydro-electric power scheme. Christchurch, New Zealand: Cadsonbury Publications, Christchurch, 1998. pp. 67–69, 71–72, 100–101. ISBN 0477016995.
  150. "Mesothelioma in Australia". Asbestos.com. Retrieved 13 December 2012.
  151. "National Health and Medical Research Council". Retrieved 13 December 2012.
  152. "Building unions seek laws to clear asbestos". The Sydney Morning Herald. SydenyMorningHerald.com. Retrieved 2 February 2013.
  153. "Unions warn on meter board asbestos". Australian Associated Press. Retrieved 10 August 2013.
  154. "All buildings should be cleared of asbestos by 2030 to save future generations". ACTU. 16 September 2011. Archived from the original on 13 April 2014.
  155. Debate on Asbestos Safety Reaches Brazil’s Supreme Court. ipsnews.net. September 2012
  156. Exposed: Shocking truth of Brazil’s reliance on asbestos. Aasltd.uk.com. Retrieved on 2015-10-17.
  157. Japanese Asbestos Scandal. Asia Monitor Resource Center. 28 September 2007
  158. Asbestos use banned on all products from this month. Etoday.co.kr. Retrieved on 2015-10-17.
  159. "학원 밀집 건물 석면노출 심각". fnn.co.kr. 6 May 2013
  160. Kim, Hyoung Ryoul (12 June 2009). "Overview of Asbestos Issues in Korea". J Korean Med Sci. 3. 24 (3): 363–367. doi:10.3346/jkms.2009.24.3.363. PMC 2698178Freely accessible. PMID 19543418.
  161. 1970~80년대 석면 다룬 산업 근로자, 폐암 정기검사 필수. health.joseilbo.com. 25 February 2013
  162. Turkey: New Regulation Banning Asbestos Goes Into Effect, Library of Congress, Global Law Monitor. Loc.gov. Retrieved on 2015-10-17.
  163. Household Members of Asbestos-Exposed Workers at Risk of Secondary Exposure. mesothelioma-attorney.com
  164. Bianchi, C; Bianchi, T (2007). "Malignant mesothelioma: global incidence and relationship with asbestos" (PDF). Industrial health. 45 (3): 379–87. doi:10.2486/indhealth.45.379. PMID 17634686.. This article identifies sources for data in 37 countries including the US. Most of these sources are inadequate to directly measure mesothelioma incidence over time, but it is clear that rates vary, and are influenced by the amount of asbestos used, how it was used, and when it was last used.
  165. Peto, J; Decarli, A; La Vecchia, C; Levi, F; Negri, E (1999). "The European mesothelioma epidemic". British Journal of Cancer. 79 (3–4): 666–72. doi:10.1038/sj.bjc.6690105. PMC 2362439Freely accessible. PMID 10027347.. This study projects mesothelioma incidence in France, Germany, Britain, Italy, Netherlands, and Switzerland, as modified in Pelucchi, C; Malvezzi, M; La Vecchia, C; Levi, F; Decarli, A; Negri, E (2004). "The Mesothelioma epidemic in Western Europe: an update". British Journal of Cancer. 90 (5): 1022–4. doi:10.1038/sj.bjc.6601638. PMC 2409631Freely accessible. PMID 14997201.
  166. "The war on tort". The Economist. 26 January 2005. Retrieved 12 January 2010.
  167. Asbestos Litigation. Rand.org. 2005. ISBN 0-8330-3078-7. Retrieved 12 January 2010.
  168. "Enpro Public Filings". Phx.corporate-ir.net. Retrieved 12 January 2010.
  169. United States. Cong. Hearing: Asbestos Litigation. 107th Cong., 2nd sess. HRG.107-993. Washington: GPO, 2002.
  170. Carroll, Stephen J., Deborah Hensler, Allan Abrahamse, Jennifer Gross, Michelle White, Scott Ashwood, and Elizabeth Sloss (2002). Asbestos Litigation Costs and Compensation. Santa Monica,CA: RAND.
  171. American Academy of Acturaries' Mass Torts Subcomittee (August 2007) "Overview of Asbestos Claims Issues and Trends". pp. 7–8
  172. 1 2 United States. Cong. Senate. Finding Solutions to the Asbestos Litigation Problem: the Fairness in Asbestos Compensation Act of 1999. 106th Cong., 1st sess. S.758. Washington: GPO, 1999.
  173. Chart of Bankrupt Asbestos manufacturers and distributors. crowell.com
  174. Multinational Monitor article on Corporate junk science. Retrieved 16 December 2006
  175. Lehr, Jay H., editor (1992). Rational Readings on Environmental Concerns. Van Nostrand Reinhold. p. 119. ISBN 0-442-01146-6.
  176. 1 2 "Asbestos and Challenger Disaster". Info-pollution.com. 9 February 1986. Retrieved 12 January 2010.
  177. Oberg, James (25 January 2011) 7 myths about the Challenger shuttle disaster. MSNBC
  178. Milloy, Steven (18 January 2007) The Junkman's Answer to Terrorism: Use More Asbestos. prwatch.org. 2001
  179. Milloy, Steven (18 January 2007) Asbestos Fireproofing Might Have Prevented World Trade Center Collapse. Fox News Channel.
  180. Asbestos and the WTC collapse. info-pollution.com
  181. Wright, R. N. (2003) "Center for Fire Research in the 70s", pp. 9–19 in Building and Fire Research at NBS/NIST, 1975–2000. NIST
  182. Eagar, Thomas W.; Musso, Christopher (2001). "Why Did the World Trade Center Collapse? Science, Engineering, and Speculation". JOM. 53 (12): 8–11. Bibcode:2001JOM....53l...8E. doi:10.1007/s11837-001-0003-1.
  183. "Fiber Glass: A Carcinogen That's Everywhere". Rachel's News. Environmental Research Foundation. 31 May 1995.
  184. Agents Classified by the IARC Monographs, Volumes 1–111. iarc.fr
  185. Marsh, G. M.; Buchanich, J. M.; Youk, A. O. (2011). "Fiber glass exposure and human respiratory system cancer risk: Lack of evidence persists since 2001 IARC re-evaluation". Regulatory Toxicology and Pharmacology. 60 (1): 84–92. doi:10.1016/j.yrtph.2011.02.009. PMID 21345360.
  186. Dixit, B., "Performance of Protective Clothing: Development and Testing of Asbestos Substitutes," Performance of Protective Clothing, ASTM STP 900, R. L. Barker and G. C. Coletta, Eds., American Society for Testing and Materials, Philadelphia, 1986, pp. 446–460 ISBN 0-8031-0461-8.
  187. Gualtieri, A. F.; Tartaglia, A. (2000). "Thermal decomposition of asbestos and recycling in traditional ceramics". Journal of the European Ceramic Society. 20 (9): 1409–1418. doi:10.1016/S0955-2219(99)00290-3.
  188. Leonelli, C.; Veronesi, P.; Boccaccini, D.; Rivasi, M.; Barbieri, L.; Andreola, F.; Lancellotti, I.; Rabitti, D.; Pellacani, G. (2006). "Microwave thermal inertisation of asbestos containing waste and its recycling in traditional ceramics". Journal of Hazardous Materials. 135 (1–3): 149–55. doi:10.1016/j.jhazmat.2005.11.035. PMID 16406335.
  189. Francesco Turci; Maura Tomatis; Stefano Mantegna; Giancarlo Cravotto; Bice Fubini (2007). "The combination of oxalic acid with power ultrasound fully degrades chrysotile asbestos fibres". Journal of Environmental Monitoring (10): 1064–1066.

Bibliography

Further reading

External links

Independent links
Regulatory and government links
Mineral and mining links
Health and the environment
This article is issued from Wikipedia - version of the 12/4/2016. The text is available under the Creative Commons Attribution/Share Alike but additional terms may apply for the media files.