Amelogenesis imperfecta
| Amelogenesis imperfecta | |
|---|---|
|
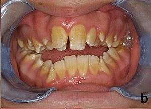
Amelogenesis imperfecta, hypoplastic type. Note the association of pitted enamel and open bite. | |
| Classification and external resources | |
| ICD-10 | K00.5 |
| ICD-9-CM | 520.5 |
| DiseasesDB | 31408 |
| MedlinePlus | 001578 |
Amelogenesis imperfecta (AI) presents with a rare abnormal formation of the enamel[1] or external layer of the crown of teeth. Enamel is composed mostly of mineral, that is formed and regulated by the proteins in it. Amelogenesis imperfecta is due to the malfunction of the proteins in the enamel: ameloblastin, enamelin, tuftelin and amelogenin.
People afflicted with amelogenesis imperfecta have teeth with abnormal color: yellow, brown or grey; this disorder can afflict any number of teeth of both dentitions. The teeth have a higher risk for dental cavities and are hypersensitive to temperature changes as well as rapid attrition, excessive calculus deposition, and gingival hyperplasia.[2]
Genetics
Mutations in the AMELX,[3] ENAM,[4] MMP20,[5] KLK-4,[6] FAM83H,[7] WDR72,[8] C4orf26,[9] SLC24A4 [10][11] LAMB3 [12] and ITGB6 [13] genes have been found to cause amelogenesis imperfecta (non-syndromic form). AMELX and ENAM encode extracellular matrix proteins of the developing tooth enamel and KLK-4 and MMP20 encode proteases that help degrade organic matter from the enamel matrix during the maturation stage of amelogenesis. SLC24A4 encodes a calcium transporter that mediates calcium transport to developing enamel during tooth development. Less is known about the function of other genes implicated in amelogenesis imperfecta.
Researchers expect that mutations in further genes are likely to be identified as causes of amelogenesis imperfecta.Types include:
| Type | OMIM | Gene | Locus |
|---|---|---|---|
| AI1B | 104500 | ENAM | 4q21 |
| AI1C | 204650 | ENAM | 4q21 |
| AI2A1 | 204700 | KLK4 | 19q13.4 |
| AI2A2 | 612529 | MMP20 | 11q22.3-q23 |
| AI2A3 | 613211 | WDR72 | 15q21.3 |
| AI2A4 | 614832 | C4orf26 | 4q21.1 |
| AI2A5 | 609840 | SLC24A4 | 14q32.12 |
| AI3 | 130900 | FAM83H | 8q24.3 |
| AIH1 | 301200 | AMELX | Xp22.3-p22.1 |
| AIGFS | 614253 | FAM20A | 17q24.2 |
Amelogenesis imperfecta can have different inheritance patterns depending on the gene that is altered. Mutations in the ENAM gene are the most frequent known cause and are most commonly inherited in an autosomal dominant pattern. This type of inheritance means one copy of the altered gene in each cell is sufficient to cause the disorder.
Amelogenesis imperfecta is also inherited in an autosomal recessive pattern; this form of the disorder can result from mutations in the ENAM, MMP20, KLK4, FAM20A, C4orf26 or SLC24A4 genes. Autosomal recessive inheritance means two copies of the gene in each cell are altered.
About 5% of amelogenesis imperfecta cases are caused by mutations in the AMELX gene and are inherited in an X-linked pattern. A condition is considered X-linked if the mutated gene that causes the disorder is located on the X chromosome, one of the two sex chromosomes. In most cases, males with an X-linked form of this condition experience more severe dental abnormalities than affected females.Recent genetic studies suggest that the cause of a significant proportion of amelogenesis imperfecta cases remains to be discovered.
Treatment

Preventive and restorative dental care is very important as well as considerations for esthetic issues since the crown are yellow from exposure of dentin due to enamel loss.[2] Full-coverage crowns are sometimes being used to compensate for the abraded enamel. Usually stainless steel crowns are used in children which may be replaced by porcelain once they reach adulthood.[14] In the worst-case scenario, the teeth may have to be extracted and implants or dentures are required. Loss of nerves in the affected teeth may occur.
Epidemiology
The exact incidence of amelogenesis imperfecta is uncertain. Estimates vary widely, from 1 in 700 people in northern Sweden to 1 in 14,000 people in the United States.
References
- ↑ Pieter J. Slootweg (2007). Dental pathology: a practical introduction. Springer Science & Business Media. pp. 19–. ISBN 978-3-540-71690-7. Retrieved 28 December 2010.
- 1 2 American Academy of Pediatric Dentistry, Guideline on Dental Management of Heritable Dental Developmental Anomalies, 2013, http://www.aapd.org/media/Policies_Guidelines/G_OHCHeritable.pdf
- ↑ Lagerström M, Dahl N, Nakahori Y, Nakagome Y, Bäckman B, Landegren U, Pettersson U (1991). "A deletion in the amelogenin gene (AMG) causes X-linked amelogenesis imperfecta (AIH1)". Genomics. 10 (4): 971–975. doi:10.1016/0888-7543(91)90187-j. PMID 1916828.
- ↑ Rajpar MH.; Harley K; Laing C; Davies RM; Dixon MJ (2001). "Mutation of the gene encoding the enamel-specific protein, enamelin, causes autosomal-dominant amelogenesis imperfecta". Hum. Mol. Genet. 10 (16): 1673–1677. doi:10.1093/hmg/10.16.1673. PMID 11487571.
- ↑ Kim JW, Simmer JP, Hart TC, Hart PS, Ramaswami MD, Bartlett JD, Hu JC (2005). "MMP-20 mutation in autosomal recessive pigmented hypomaturation amelogenesis imperfecta". J. Med. Genet. 42: 271–275. doi:10.1136/jmg.2004.024505. PMC 1736010
. PMID 15744043. - ↑ Hart PS, Hart TC, Michalec MD, Ryu OH, Simmons D, Hong S (2004). "Mutation in kallikrein 4 causes autosomal recessive hypomaturation amelogenesis imperfecta". J. Med. Genet. 41 (7): 545–549. doi:10.1136/jmg.2003.017657. PMC 1735847
. PMID 15235027. - ↑ Kim JW, Lee SK, Lee ZH, Park JC, Lee KE, Lee MH, Park JT, Seo BM, Hu JC, Simmer JP (2008). "FAM83H mutations in families with autosomal-dominant hypocalcified amelogenesis imperfecta". Am. J. Hum. Genet. 82: 489–494. doi:10.1016/j.ajhg.2007.09.020. PMC 2427219
. PMID 18252228. - ↑ El-Sayed W, Parry DA, Shore RC, Ahmed M, Jafri H, Rashid Y, Al-Bahlani S, Al Harasi S, Kirkham J, Inglehearn CF, Mighell AJ (2009). "Mutations in the beta propeller WDR72 cause autosomal-recessive hypomaturation amelogenesis imperfecta". Am. J. Hum. Genet. 85: 699–705. doi:10.1016/j.ajhg.2009.09.014. PMC 2775821
. PMID 19853237. - ↑ Parry DA, Brookes SJ, Logan CV, Poulter JA, El-Sayed W, Al-Bahlani S, Al Harasi S, Sayed J, Raïf M, Shore RC (2012). "Mutations in C4orf26, Encoding a Peptide with In Vitro Hydroxyapatite Crystal Nucleation and Growth Activity, Cause Amelogenesis Imperfecta". Am. J. Hum. Genet. 91: 565–571. doi:10.1016/j.ajhg.2012.07.020. PMID 22901946.
- ↑ Parry DA, Poulter JA, Logan CV, Brookes SJ, Jafri H, Ferguson CH, Anwari BM, Rashid Y, Zhao H, Johnson CA, Inglehearn CF, Mighell AJ (2013). "Identification of mutations in SLC24A4, encoding a potassium-dependent sodium/calcium exchanger, as a cause of amelogenesis imperfecta". Am. J. Hum. Genet. 92 (2): 307–312. doi:10.1016/j.ajhg.2013.01.003. PMID 23375655.
- ↑ Herzog, Curtis R.; Reid, Bryan M.; Seymen, Figen; Koruyucu, Mine; Tuna, Elif Bahar; Simmer, James P.; Hu, Jan C.-C. (2015-02-01). "Hypomaturation amelogenesis imperfecta caused by a novel SLC24A4 mutation". Oral Surgery, Oral Medicine, Oral Pathology and Oral Radiology. 119 (2): e77–81. doi:10.1016/j.oooo.2014.09.003. ISSN 2212-4411. PMC 4291293
. PMID 25442250. - ↑ Poulter JA, El-Sayed W, Shore RC, Kirkham J, Inglehearn CF, Mighell AJ (2013). "Whole-exome sequencing, without prior linkage, identifies a mutation in LAMB3 as a cause of dominant hypoplastic amelogenesis imperfecta". Eur. J. Hum. Genet. 22 (1): 132–5. doi:10.1038/ejhg.2013.76. PMID 23632796.
- ↑ Wang SK, Choi M, Richardson AS, Reid BM, Lin BP, Wang SJ, Kim JW, Simmer JP, Hu JC (2014). "ITGB6 loss-of-function mutations cause autosomal recessive amelogenesis imperfecta". Hum. Mol. Genet. 23 (8): 2157–63. doi:10.1093/hmg/ddt611. PMC 3959820
. PMID 24305999. - ↑ Illustrated Dental Embryology, Histology, and Anatomy, Bath-Balogh and Fehrenbach, Elsevier, 2011, page 64
Further reading
- Winter GB, Brook AH (1975). "Enamel hypoplasia and anomalies of the enamel". Dent Clin North Am. 19 (1): 3–24. PMID 162891.
- Simmer JP, Hu JC (2001). "Dental enamel formation and its impact on clinical dentistry". J Dent Educ. 65 (9): 896–905. PMID 11569606.
- Aldred MJ, Savarirayan R, Crawford PJ (2003). "Amelogenesis imperfecta: a classification and catalogue for the 21st century". Oral Dis. 9 (1): 19–23. doi:10.1034/j.1601-0825.2003.00843.x. PMID 12617253.
- Nusier M, Yassin O, Hart TC, Samimi A, Wright JT (2004). "Phenotypic diversity and revision of the nomenclature for autosomal recessive amelogenesis imperfecta". Oral Surg Oral Med Oral Pathol Oral Radiol Endod. 97 (2): 220–30. doi:10.1016/j.tripleo.2003.08.007. PMID 14970781.
- Stephanopoulos G, Garefalaki ME, Lyroudia K (2005). "Genes and related proteins involved in amelogenesis imperfecta". J Dent Res. 84 (12): 1117–26. doi:10.1177/154405910508401206. PMID 16304440.
